Learn More
Invitrogen™ PI3K p85 alpha Monoclonal Antibody (SP62)

Rabbit Monoclonal Antibody
Brand: Invitrogen™ MA516391
Description
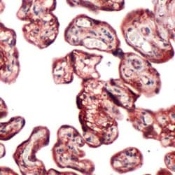
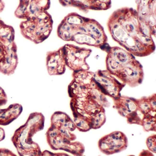
Heat-mediated antigen retrieval is recommended prior to staining, using a 10mM citrate buffer, pH 6.0, for 10 minutes followed by cooling at room temperature for 20 min. Following antigen retrieval, incubate samples with primary antibody for 30 min at room temperature. A suggested positive control is placenta tissue.
Phosphatidylinositol 3-kinase (PIK3) is a signaling protein that phosphorylates the inositol ring of phosphatidylinositol at the 3-prime position. Signaling is initiated when upstream tyrosine kinase receptors or G protein coupled receptors are bound by their ligands. It binds to activated (phosphorylated) protein-Tyr kinases, through its SH2 domain, and acts as an adapter, mediating the association of the p110 catalytic unit to the plasma membrane. Phosphatidylinositol 3-kinase plays an important role in the metabolic actions of insulin, and a mutation in this gene has been associated with insulin resistance. During insulin stimulation, it also binds to IRS-1. Mutations in the gene can result in Agammaglobulinemia 7, SHORT syndrome, or Immunodeficiency 36.
Specifications
| PI3K p85 alpha | |
| Monoclonal | |
| Unconjugated | |
| PIK3R1 | |
| AGM7; GRB1; IMD36; p50alpha; p55alpha; p55-GAMMA; p55PIK; p85; p85alpha; p85-ALPHA; phosphatidylinositol 3-kinase; phosphatidylinositol 3-kinase 55 kDa regulatory subunit gamma; phosphatidylinositol 3-kinase 85 kDa regulatory subunit alpha; Phosphatidylinositol 3-kinase regulatory subunit alpha; phosphatidylinositol 3-kinase regulatory subunit gamma; phosphatidylinositol 3-kinase, regulatory subunit, polypeptide 1 (p85 alpha); phosphatidylinositol 3-kinase-associated p-85 alpha; Phosphoinositide 3-kinase p85 (other splicing variants: p55 and p50); Phosphoinositide 3-kinase, regulatory subunit, polypeptide 1 (p85 alpha); phosphoinositide-3-kinase regulatory subunit; phosphoinositide-3-kinase regulatory subunit 1; phosphoinositide-3-kinase regulatory subunit alpha; phosphoinositide-3-kinase, regulatory subunit 1 (alpha); phosphoinositide-3-kinase, regulatory subunit 1 (p85 alpha); phosphoinositide-3-kinase, regulatory subunit, polypeptide 1 (p85 alpha); PI3K; PI3K regulatory subunit alpha; PI3K regulatory subunit gamma; PI3KA; PI3-kinase p85 subunit alpha; PI3-kinase p85-subunit alpha; PI3-kinase regulatory subunit alpha; PI3-kinase regulatory subunit gamma; PI3-kinase subunit p55-gamma; PI3-kinase subunit p85-alpha; Pik3r1; polypeptide 1 p85 alpha; ptdIns-3-kinase p85-alpha; ptdIns-3-kinase regulatory subunit alpha; PtdIns-3-kinase regulatory subunit p85-al; ptdIns-3-kinase regulatory subunit p85-alpha; RP4-533D7.2 | |
| Rabbit | |
| Protein A/G | |
| RUO | |
| 18708, 25513, 5295 | |
| Store at 4°C short term. For long term storage, store at -20°C, avoiding freeze/thaw cycles. | |
| Liquid |
| Flow Cytometry, Immunohistochemistry (Paraffin), Immunocytochemistry | |
| SP62 | |
| PBS with 1% BSA and <0.1% sodium azide; pH 7.6 | |
| P26450, P27986, Q63787 | |
| PIK3R1 | |
| Synthetic peptide from the N-terminus of human PI3K p85. | |
| 500 μL | |
| Primary | |
| Human, Mouse, Rat | |
| Antibody | |
| IgG |
Your input is important to us. Please complete this form to provide feedback related to the content on this product.