missing translation for 'onlineSavingsMsg'
Learn More
Learn More
Phospho-SRF (Ser103) Polyclonal Antibody

Phospho-SRF (Ser103) Polyclonal Antibody
Brand: Invitrogen PA536686
This item is not returnable.
View return policy
Description
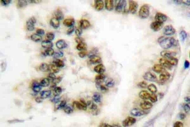
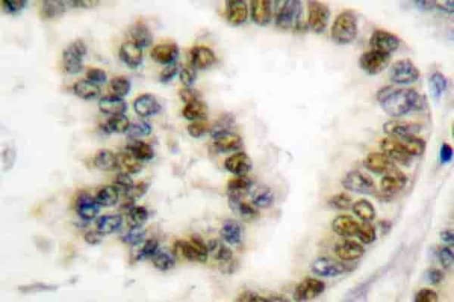
Phospho-SRF (Ser103) Polyclonal Antibody for Western Blot, IHC (P)
Specifications
| Phospho-SRF (Ser103) | |
| Polyclonal | |
| Unconjugated | |
| SRF | |
| AW049942; AW240594; c-fos serum response element-binding transcription factor; MCM1; minichromosome maintenance 1 homolog; OTTHUMP00000039820; RGD1559787; Serum response factor; serum response factor (c-fos serum response element-binding transcription factor); Srf | |
| Rabbit | |
| Antigen Affinity Chromatography | |
| RUO | |
| 6722 | |
| Store at 4°C short term. For long term storage, store at -20°C, avoiding freeze/thaw cycles. | |
| Liquid |
| Immunohistochemistry (Paraffin), Western Blot | |
| 1 mg/mL | |
| PBS with 50% glycerol and 0.02% sodium azide; pH 7.2 | |
| P11831 | |
| SRF | |
| Synthetic phosphopeptide derived from human SRF around the phosphorylation site of Serine 103. | |
| 100 μL | |
| Primary | |
| Human | |
| Antibody | |
| IgG |
Product Content Correction
Your input is important to us. Please complete this form to provide feedback related to the content on this product.
Product Title
Spot an opportunity for improvement?Share a Content Correction