missing translation for 'onlineSavingsMsg'
Learn More
Learn More
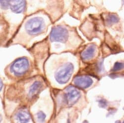
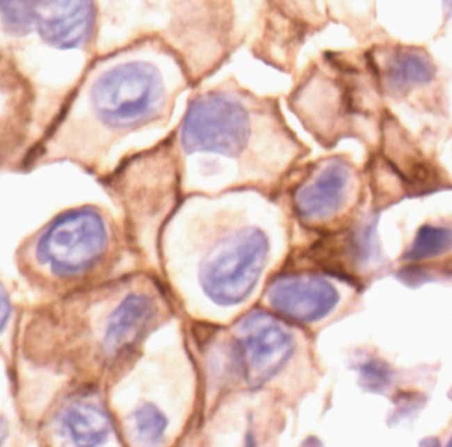
Invitrogen™ Phospho-SRC (Tyr530) Polyclonal Antibody

Rabbit Polyclonal Antibody
Brand: Invitrogen™ PA517781
This item is not returnable.
View return policy
Description
It is not recommended to aliquot this antibody.
SRC is a cytoplasmic tyrosine kinase and proto-oncogene involved in the regulation of embryonic development and cell growth. SRC is involved in the regulation of growth and differentiation of eukaryotic cells. SRC associates with the cytoplasmic region of various cell surface receptors to facilitate signal transduction, and is also involved in cytoskeletal organization, cell cycle regulation, and apoptosis. In humans, the gene encoding SRC is present on chromosome 20. Activity of SRC is regulated by two tyrosine residues (Tyr 416 and Tyr527), and phosphorylation of these two sites have opposing effects. Phosphorylation of Tyr416 in the activation loop of the kinase domain upregulates enzyme activity while the phosphorylation of Tyr527 decreases enzyme activity. Mutations in the SRC gene could be involved in the malignant progression of colon cancer. Two transcript variants encoding the same SRC protein have been found thus far.
Specifications
| Phospho-SRC (Tyr530) | |
| Polyclonal | |
| Unconjugated | |
| SRC | |
| ASV; AW259666; csrc; c-SRC; c-src protein, C terminus; EC 2.7.10.2; fc54g04; Neuronal proto-oncogene tyrosine-protein kinase Src; non-tyrosine protein kinase; ORF; OTTHUMP00000174476; OTTHUMP00000174477; OTTHUMP00000174478; p60-Src; p60-Src-1; PP60C-SCR; pp60c-src; pp60src; pp60v-src; protein-tyrosine kinase; proto-oncogene c-Src; protooncogene SRC, Rous sarcoma; Proto-oncogene tyrosine-protein kinase Src; Rous sarcoma oncogene; RP5-823N20.1; sb:cb864; SDR; src; src downstream region; src oncogene; SRC proto-oncogene, non-receptor tyrosine kinase; SRC proto-oncogene, non-receptor tyrosine kinase L homeolog; SRC proto-oncogene, non-receptor tyrosine kinase S homeolog; src.L; src.S; SRC1; src-1; src1-A; src-a; src-b; THC6; transforming protein; tyrosine kinase pp60c-src; tyrosine protein kinase c-src; tyrosine protein kinase pp60-c-src; tyrosine-protein kinase SRC-1; Unknown; v-src avian sarcoma (Schmidt-Ruppin A-2) viral oncogene homolog; v-src sarcoma (Schmidt-Ruppin A-2) viral oncogene homolog; v-src sarcoma viral oncogene; wu:fc54g04; XELAEV_18046582mg; xsrc | |
| Rabbit | |
| Antigen affinity chromatography | |
| RUO | |
| 20779, 6714, 83805 | |
| -20°C | |
| Liquid |
| Immunohistochemistry (Paraffin), Western Blot | |
| 20 μg/mL | |
| 0.01M HEPES with 100μg/mL BSA, 50% glycerol, 0.15M NaCl and no preservative; pH 7.5 | |
| P05480, P12931, Q9WUD9 | |
| SRC | |
| Synthetic phosphopeptide corresponding to residues surrounding pTyr530 of human Src. | |
| 100 μL | |
| Primary | |
| Human, Mouse, Rat | |
| Antibody | |
| IgG |
Product Content Correction
Your input is important to us. Please complete this form to provide feedback related to the content on this product.
Product Title
Spot an opportunity for improvement?Share a Content Correction