missing translation for 'onlineSavingsMsg'
Learn More
Learn More
Invitrogen™ Phospho-Smad3 (Ser425) Polyclonal Antibody

Rabbit Polyclonal Antibody
Brand: Invitrogen™ PA5104939
This item is not returnable.
View return policy
Description
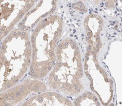
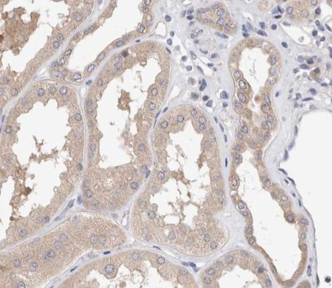
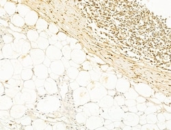
Antibody detects endogenous levels of Smad3 only when phosphorylated at Serine 425.
SMAD3 belongs to the SMAD family of proteins. They are similar to the gene products of the Drosophila gene 'mothers against decapentaplegic' (Mad) and the C. elegans gene Sma. SMAD proteins are signal transducers and transcriptional modulators that mediate multiple signaling pathways. This protein functions as a transcriptional modulator activated by transforming growth factor-beta and is thought to play a role in the regulation of carcinogenesis.
Specifications
| Phospho-Smad3 (Ser425) | |
| Polyclonal | |
| Unconjugated | |
| Smad3 | |
| AU022421; DKFZp586N0721; DKFZp686J10186; hMAD-3; hSMAD3; HSPC193; HsT17436; JV15-2; LDS1C; LDS3; MAD (mothers against decapentaplegic, Drosophila) homolog 3; MAD homolog 3; MAD homolog 3a; mad homolog JV15-2; mad protein homolog; MAD, mothers against decapentaplegic homolog 3; mad3; MAD-3; madh3; madh3a; madh3-A; MGC60396; mMad3; mothers against decapentaplegic homolog 3; mothers against decapentaplegic homolog 3a; mothers against DPP homolog 3; SMA- and MAD-related protein 3; SMAD; Smad 3; SMAD family member 3; SMAD family member 3 L homeolog; SMAD family member 3a; SMAD, mothers against DPP homolog 3; Smad3; smad3.L; smad3a; TGF beta response effector Smad3; TGF-beta response effector Smad3; transcription factor; transcription factor Smad3; wu:fa99e03; XELAEV_18018454mg; XenMLP; Xmad3; XSmad3 | |
| Rabbit | |
| Sequential Chromatography | |
| RUO | |
| 17127, 25631, 4088 | |
| -20°C | |
| Liquid |
| Immunohistochemistry (Paraffin), Western Blot, Immunocytochemistry | |
| 1 mg/mL | |
| PBS with 50% glycerol and 0.02% sodium azide; pH 7.4 | |
| P84022, P84025, Q8BUN5 | |
| Smad3 | |
| A synthesized peptide derived from human SMAD3(Accession P84022), corresponding to amino acid residues around phosphorylated Ser425. | |
| 100 μL | |
| Primary | |
| Human, Mouse, Rat | |
| Antibody | |
| IgG |
Product Content Correction
Your input is important to us. Please complete this form to provide feedback related to the content on this product.
Product Title
Spot an opportunity for improvement?Share a Content Correction