missing translation for 'onlineSavingsMsg'
Learn More
Learn More
Invitrogen™ Phospho-RSK1/RSK2 (Ser221, Ser227) Polyclonal Antibody

Rabbit Polyclonal Antibody
Brand: Invitrogen™ PA5149486
This item is not returnable.
View return policy
Description
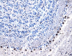
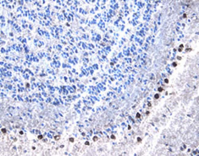
Phospho-RSK1/RSK2 (Ser221, Ser227) Polyclonal Antibody for Western Blot, IHC (F)
RSK1 (Ribosomal S6 Kinase 1) and RSK2 (Ribosomal S6 Kinase 2) are genes that encode members of the RSK family of serine/threonine kinases, which are downstream effectors of the extracellular signal-regulated kinase (ERK) signaling pathway. These kinases play critical roles in regulating various cellular processes, including growth, proliferation, survival, and differentiation. RSK1 and RSK2 are activated by phosphorylation in response to extracellular signals such as growth factors, hormones, and mitogens. Once activated, they phosphorylate a range of substrates, including transcription factors, ribosomal proteins, and other kinases, thereby influencing gene expression and protein synthesis. Dysregulation of RSK1 and RSK2 activity has been implicated in several pathological conditions, including cancer, where they can promote tumor growth and survival, and neurodevelopmental disorders, such as Coffin-Lowry syndrome, which is associated with mutations in the RSK2 gene. Understanding the function and regulation of RSK1 and RSK2 is essential for developing targeted therapies aimed at modulating their activity in disease contexts. Research into these kinases provides valuable insights into the broader mechanisms of ERK signaling and its impact on cellular physiology and disease progression.
Specifications
| Phospho-RSK1/RSK2 (Ser221, Ser227) | |
| Polyclonal | |
| Unconjugated | |
| Rabbit | |
| Antigen affinity chromatography | |
| RUO | |
| Human, Mouse, Rat | |
| Antibody | |
| IgG |
| Immunohistochemistry (Frozen), Western Blot | |
| 0.5 mg/mL | |
| PBS with 0.02% sodium azide | |
| Phosphopeptide containing human RSK1 S221 site. | |
| 100 μg | |
| Primary | |
| Store at 4°C short term. For long term storage, store at -20°C, avoiding freeze/thaw cycles. | |
| Lyophilized |
Product Content Correction
Your input is important to us. Please complete this form to provide feedback related to the content on this product.
Product Title
Spot an opportunity for improvement?Share a Content Correction