missing translation for 'onlineSavingsMsg'
Learn More
Learn More
Invitrogen™ Phospho-RelB (Ser573) Polyclonal Antibody

Rabbit Polyclonal Antibody
Brand: Invitrogen™ PA537726
This item is not returnable.
View return policy
Description
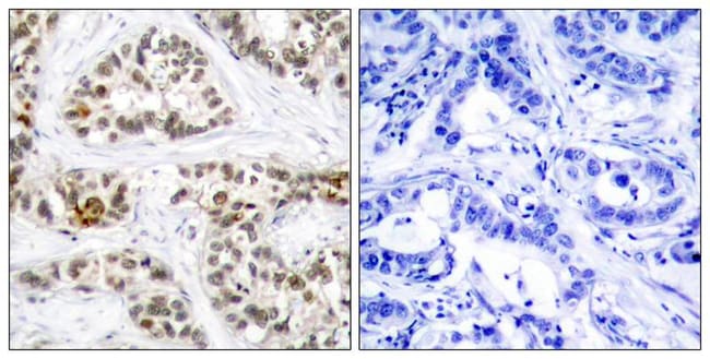
A suggested positive control for Western blot is HUVEC cells; suggested positive control for IHC is human breast carcinoma.
The NFkB transcription factor was originally identified as a protein complex consisting of a DNA-binding subunit and an associated protein. The DNAbinding subunit is functionally related to c-Rel p75 and Rel B p68. The p50 subunit was initially believed to be a functionally unique protein derived from the amino-terminus of a precursor designated p105. A second protein designated p52 (previously referred to as p49) has been identified that can act as an alternative NFkB subunit. Rel B does not bind with high affinity to NFkB sites, but heterodimers between Rel B and p50 bind with an affinity comparable to that of p50 NFkB homodimers. However, Rel B/p50 heterodimers, in contrast to NFkB heterodimers, transactivates transcription of promotors containing kB binding sites.
Specifications
| Phospho-RelB (Ser573) | |
| Polyclonal | |
| Unconjugated | |
| RELB | |
| avian reticuloendotheliosis viral (v-rel) oncogene related B; IREL; I-REL; OTTHUMP00000221313; rel b; RELB; REL-B; RELB proto-oncogene, NF-kB subunit; shep; transcription factor RelB; v-rel avian reticuloendotheliosis viral oncogene homolog B; v-rel avian reticuloendotheliosis viral oncogene homolog B (nuclear factor of kappa light polypeptide gene enhancer in B-cells 3); v-rel reticuloen; v-rel reticuloendotheliosis viral oncogene homolog B; v-rel reticuloendotheliosis viral oncogene homolog B, nuclear factor of kappa light polypeptide gene enhancer in B-cells 3 | |
| Rabbit | |
| Antigen affinity chromatography | |
| RUO | |
| 100360982, 19698, 5971 | |
| Store at 4°C short term. For long term storage, store at -20°C, avoiding freeze/thaw cycles. | |
| Liquid |
| Immunohistochemistry (Paraffin), Western Blot | |
| 1 mg/mL | |
| PBS with 50% glycerol and 0.02% sodium azide; pH 7.4 | |
| Q01201, Q04863 | |
| RELB | |
| Peptide sequence around phosphorylation site of serine 573 (L-L-S(p)-P-G) derived from Human RelB. | |
| 100 μL | |
| Primary | |
| Human, Mouse, Rat | |
| Antibody | |
| IgG |
Korrektion af produktindhold
Dit input er vigtigt for os. Udfyld denne formular for at give feedback relateret til indholdet på dette produkt.
Produkttitel
Ser du en mulighed for forbedring?Del en indholdskorrektion