missing translation for 'onlineSavingsMsg'
Learn More
Learn More
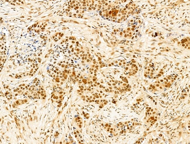
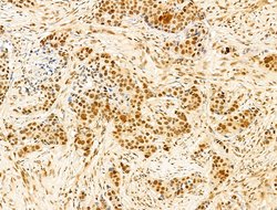
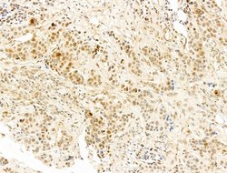
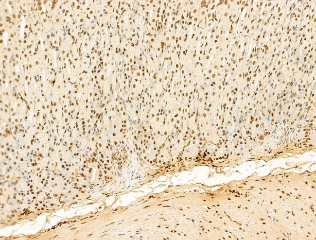
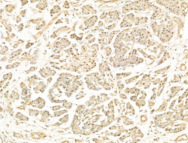
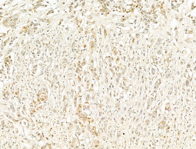
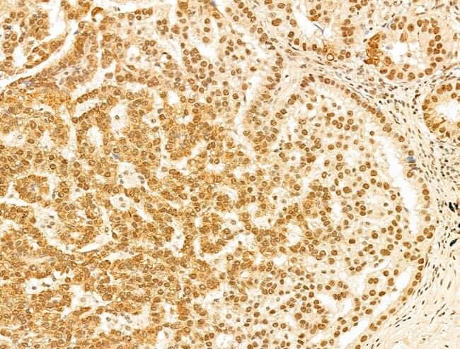
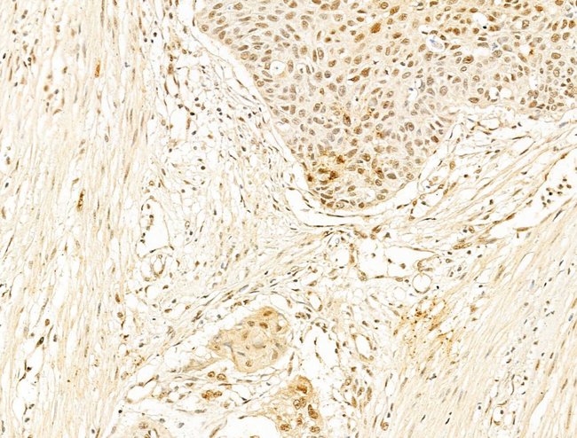
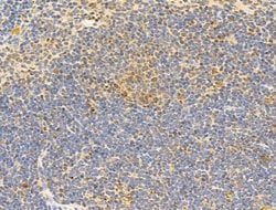
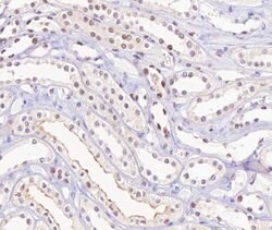
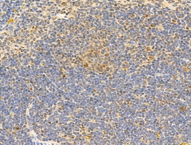
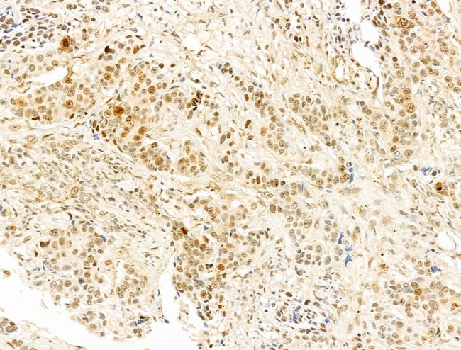
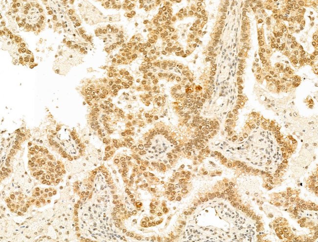
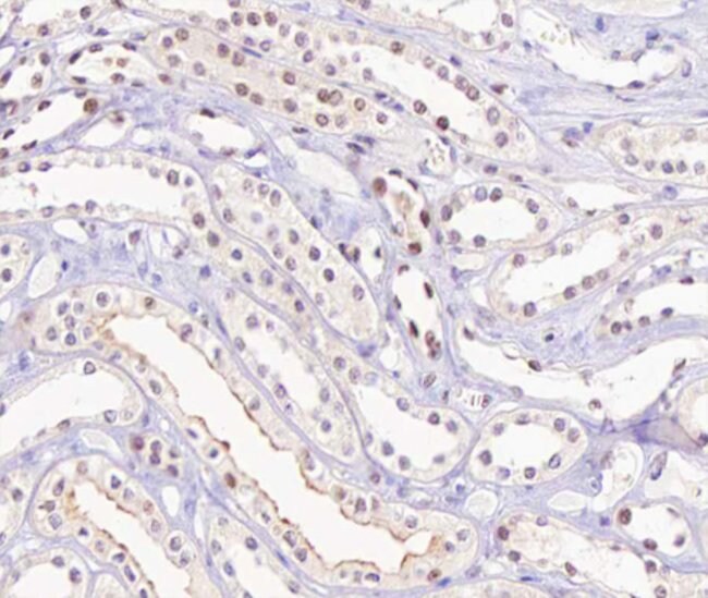
Invitrogen™ Phospho-RB1 (Ser780) Polyclonal Antibody

Rabbit Polyclonal Antibody
Brand: Invitrogen™ PA5114632
This item is not returnable.
View return policy
Description
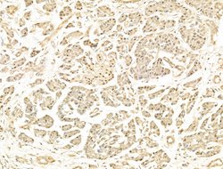
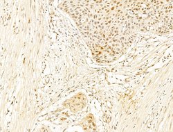
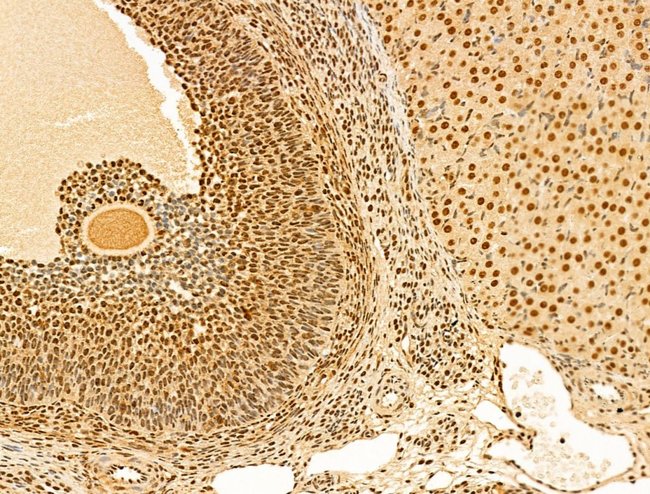
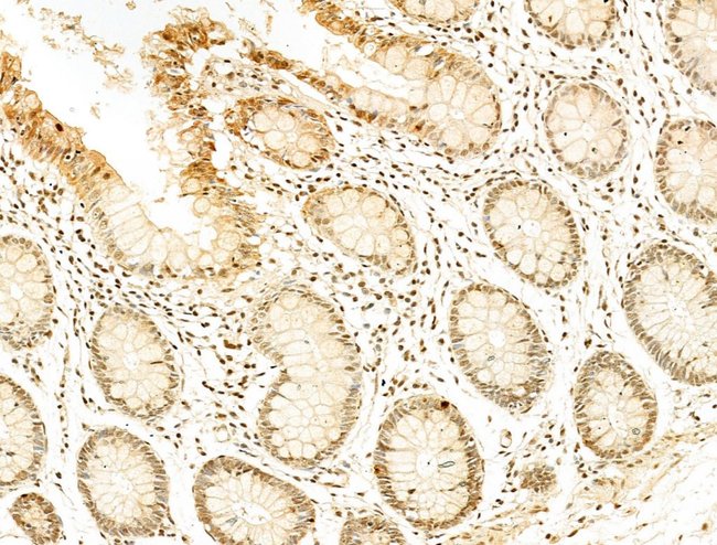
Antibody detects endogenous levels of Retinoblastoma only when phosphorylated at Serine 780.
Rb is a tumor suppressor nuclear phosphoprotein capable of binding to DNA. It is phosphorylated on serine and threonine, but not on tyrosine residues. It forms a complex with SV40 large T antigen, adenovirus E1A, and human papilloma virus-16 E. Rb protein may act by regulating transcription and loss of its function leads to uncontrolled cell growth. Aberrations in the RB gene have been implicated in cancers of breast, colon, prostate, kidney, nasopharynx, and leukemia.
Specifications
| Phospho-RB1 (Ser780) | |
| Polyclonal | |
| Unconjugated | |
| RB1 | |
| Cleaved Rb; delta RB-p70; DRb-p70; exon 17 tumor GOS561 substitution mutation causes premature stop; GOS563 exon 17 substitution mutation causes premature stop; OSRC; p104; p104 chicken Rb; P105RB; p105-Rb; Phospho-Retinoblastoma; pp105; pp110; PPP1R130; pRb; prepro-retinoblastoma-associated protein; protein phosphatase 1, regulatory subunit 130; rb; RB transcriptional corepressor 1; RB1; Rb-1; Rb-p70; Retin; Retinoblastoma; retinoblastoma 1; retinoblastoma 1 (including osteosarcoma); retinoblastoma 1 protein; retinoblastoma gene; retinoblastoma isoform A; retinoblastoma protein; retinoblastoma suspectibility protein; retinoblastoma tumor suppressor; retinoblastoma-associated protein | |
| Rabbit | |
| Sequential chromatography | |
| RUO | |
| 19645, 24708, 5925 | |
| -20°C | |
| Liquid |
| Immunohistochemistry (Paraffin), Western Blot, Immunocytochemistry | |
| 1 mg/mL | |
| PBS with 50% glycerol and 0.02% sodium azide | |
| P06400, P13405, P33568 | |
| RB1 | |
| A synthesized peptide derived from human RB1(Accession P06400), corresponding to amino acid residues around phosphorylated Ser780. | |
| 100 μL | |
| Primary | |
| Human, Mouse, Rat | |
| Antibody | |
| IgG |
Product Content Correction
Your input is important to us. Please complete this form to provide feedback related to the content on this product.
Product Title
Spot an opportunity for improvement?Share a Content Correction