missing translation for 'onlineSavingsMsg'
Learn More
Learn More
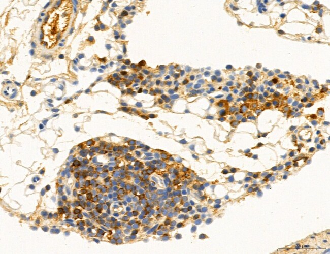
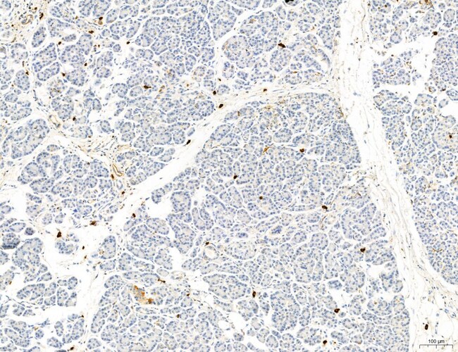
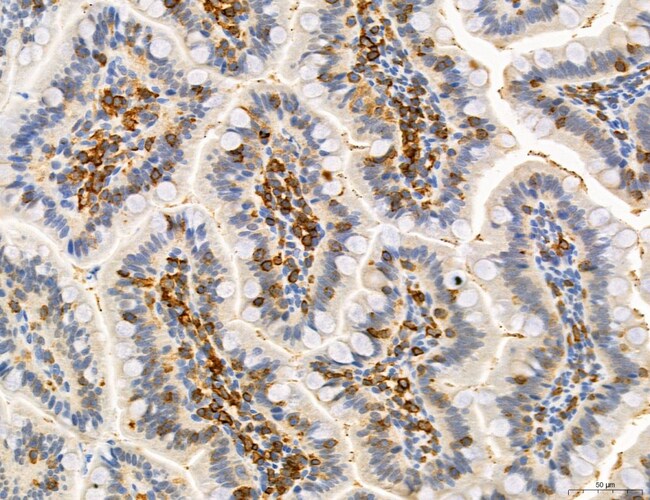
Invitrogen™ Phospho-PKM2 (Ser37) Polyclonal Antibody

Rabbit Polyclonal Antibody
Brand: Invitrogen™ PA5102911
This item is not returnable.
View return policy
Description
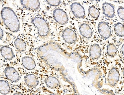
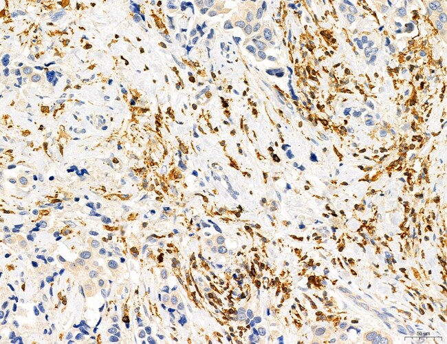
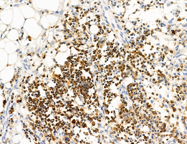
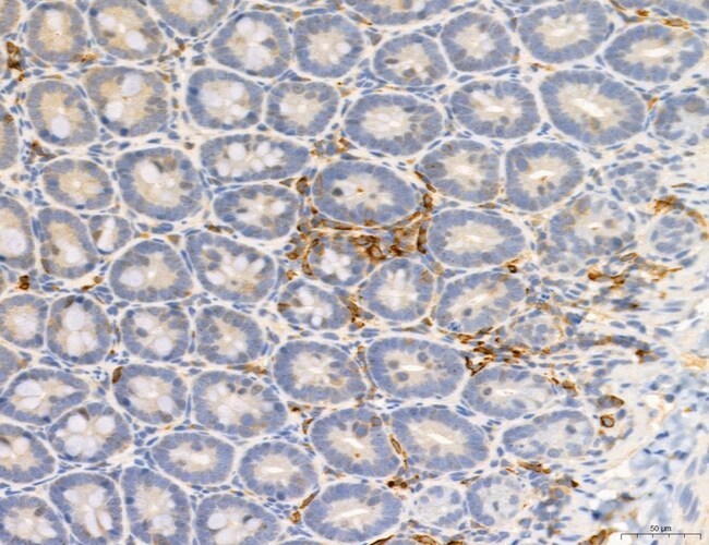
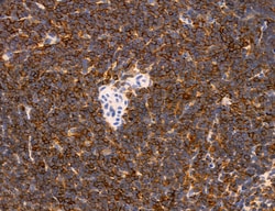
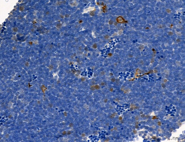
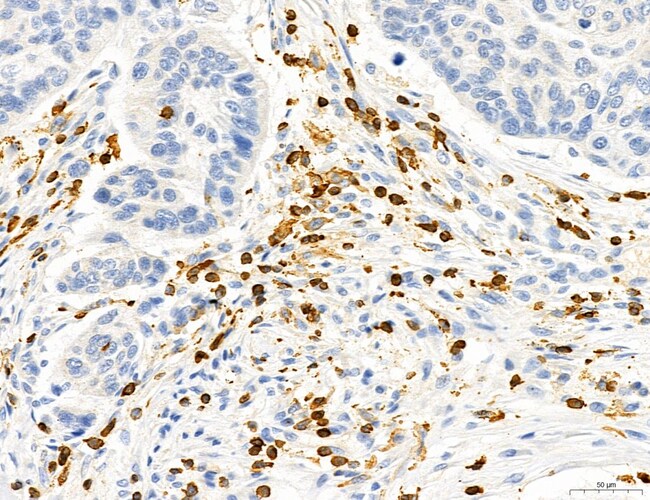
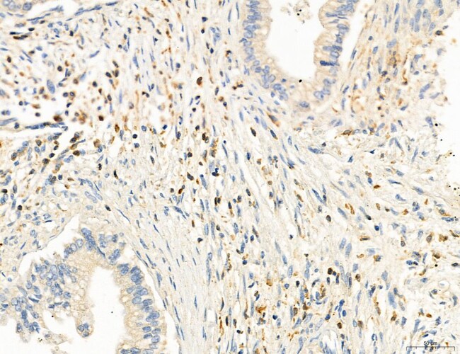
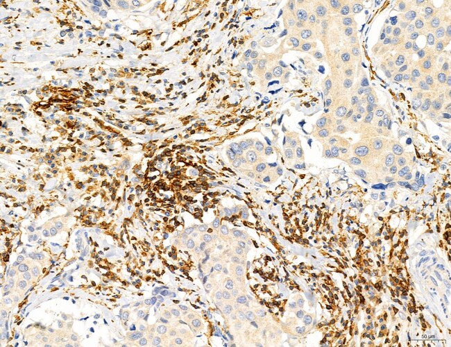
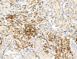
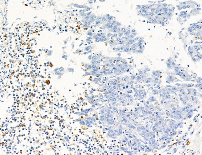
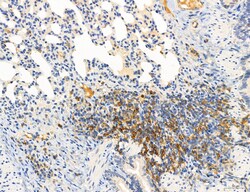
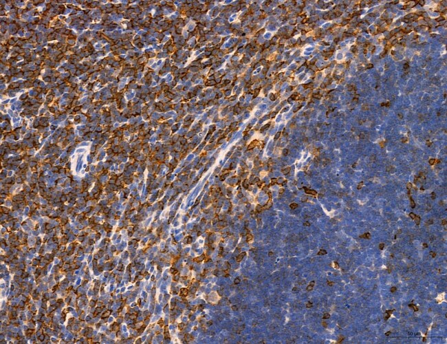
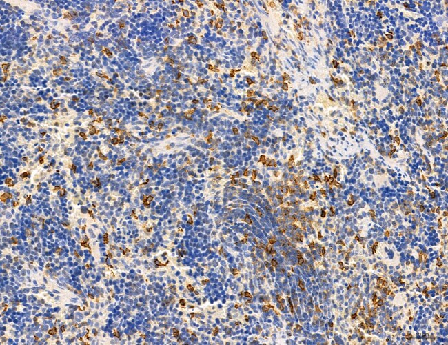
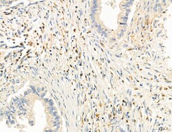
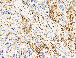
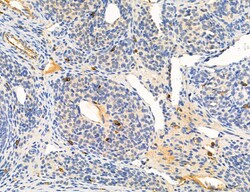
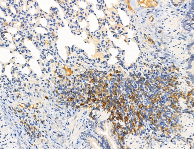
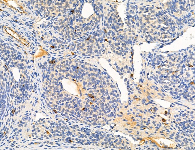
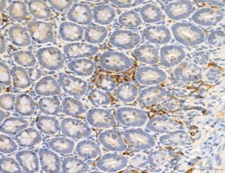
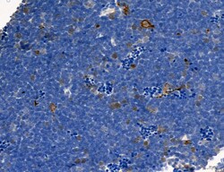
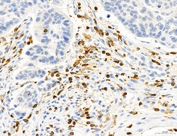
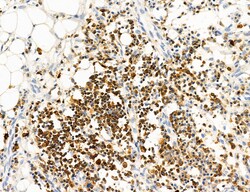
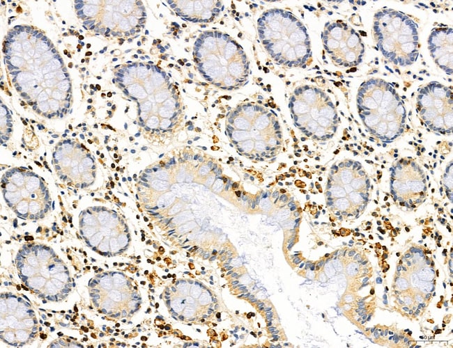
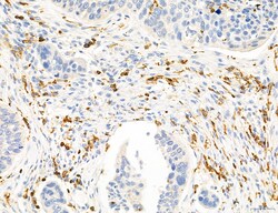
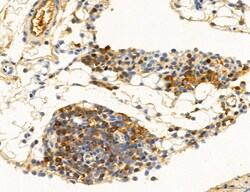
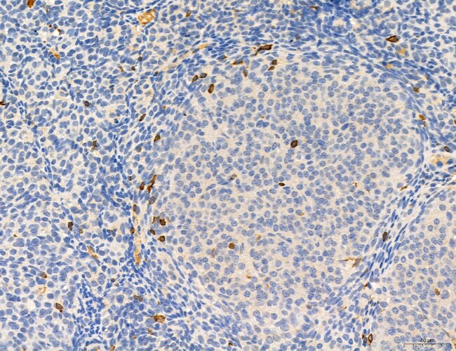
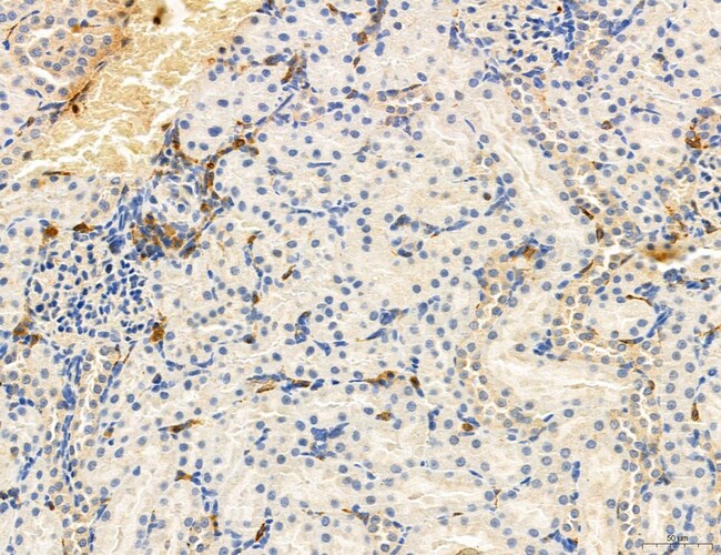
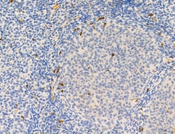
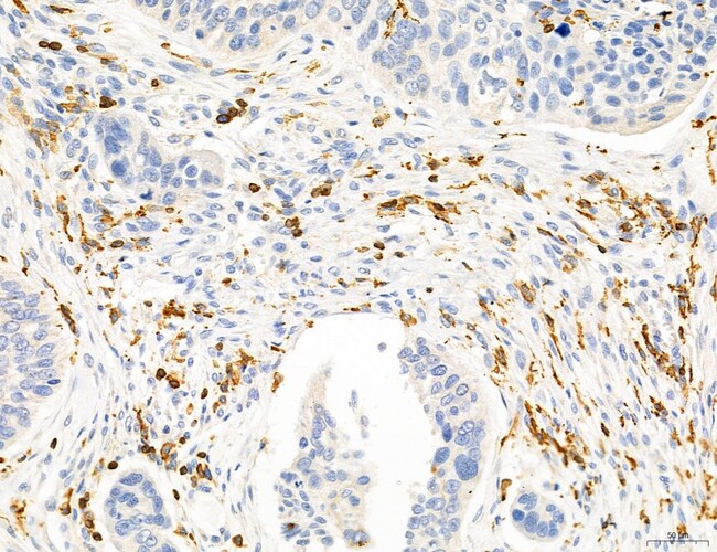
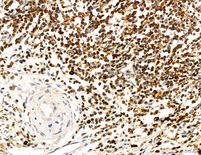
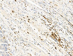
Antibody detects endogenous levels of PKM2 only when phosphorylated at Ser37.
PKM2 is a pyruvate kinase that catalyzes the production of phosphoenolpyruvate from pyruvate and ATP. PKM2 has been shown to interact with thyroid hormone, and thus may mediate cellular metabolic effects induced by thyroid hormones. PKM2 has been found to bind Opa protein, a bacterial outer membrane protein involved in gonococcal adherence to and invasion of human cells, suggesting a role of this protein in bacterial pathogenesis. Three alternatively spliced transcript variants encoding two distinct isoforms of PKM2 have been reported.
Specifications
| Phospho-PKM2 (Ser37) | |
| Polyclonal | |
| Unconjugated | |
| PKM | |
| AA414905; AL024370; AL024424; ATP:pyruvate 2-o-phosphotransferase; CTHBP; Cytosolic thyroid hormone-binding protein; epididymis secretory protein Li 30; HEL-S-30; isozymes M1/M2; m2pk; muscle pyruvate kinase; OIP3; OIP-3; OPA-interacting protein 3; p58; PK, muscle type; PK2; Pk-2; Pk3; Pk-3; PKLR; PKM; pkm.L; PKM12; PKM2; Pykm; pyruvate kinase; pyruvate kinase 2/3; pyruvate kinase 3; pyruvate kinase isozymes M1/M2; pyruvate kinase M1/2; pyruvate kinase M1/2 L homeolog; pyruvate kinase M1/2 L homeolog; pyruvate kinase, muscle; pyruvate kinase muscle isozyme; Pyruvate kinase PKM; pyruvate kinase, liver and RBC; pyruvate kinase, muscle; TCB; THBP1; thyroid hormone-binding protein 1; thyroid hormone-binding protein, cytosolic; tu; tumor M2-PK; XELAEV_18018020mg | |
| Rabbit | |
| Sequential Chromatography | |
| RUO | |
| 18746, 25630, 5315 | |
| -20°C | |
| Liquid |
| Immunohistochemistry (Paraffin), Western Blot | |
| 1 mg/mL | |
| PBS with 50% glycerol and 0.02% sodium azide; pH 7.4 | |
| P11980, P14618, P52480 | |
| PKM | |
| A synthesized peptide derived from human PKM(Accession P14618), corresponding to amino acid residues around phosphorylated Ser37. | |
| 100 μL | |
| Primary | |
| Human, Mouse, Rat | |
| Antibody | |
| IgG |
Product Content Correction
Your input is important to us. Please complete this form to provide feedback related to the content on this product.
Product Title
Spot an opportunity for improvement?Share a Content Correction