missing translation for 'onlineSavingsMsg'
Learn More
Learn More
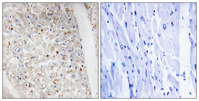
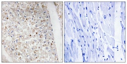
Invitrogen™ Phospho-PKD1/2/3/PKC mu (Ser738, Ser742) Polyclonal Antibody

Rabbit Polyclonal Antibody
Brand: Invitrogen™ PA537822
This item is not returnable.
View return policy
Description
A suggested positive control for Western blot is A549 cells.
Serine/threonine-protein kinase that converts transient diacylglycerol (DAG) signals into prolonged physiological effects downstream of PKC, and is involved in the regulation of MAPK8/JNK1 and Ras signaling, Golgi membrane integrity and trafficking, cell survival through NF-kappa-B activation, cell migration, cell differentiation by mediating HDAC7 nuclear export, cell proliferation via MAPK1/3 (ERK1/2) signaling, and plays a role in cardiac hypertrophy, VEGFA-induced angiogenesis, genotoxic-induced apoptosis and flagellin-stimulated inflammatory response. Phosphorylates the epidermal growth factor receptor (EGFR) on dual threonine residues, which leads to the suppression of epidermal growth factor (EGF)-induced MAPK8/JNK1 activation and subsequent JUN phosphorylation. Phosphorylates RIN1, inducing RIN1 binding to 14-3-3 proteins YWHAB, YWHAE and YWHAZ and increased competition with RAF1 for binding to GTP-bound form of Ras proteins (NRAS, HRAS and KRAS). Acts downstream of the heterotrimeric G-protein beta/gamma-subunit complex to maintain the structural integrity of the Golgi membranes, and is required for protein transport along the secretory pathway. In the trans-Golgi network (TGN), regulates the fission of transport vesicles that are on their way to the plasma membrane.
Specifications
| Phospho-PKD1/2/3/PKC mu (Ser738, Ser742) | |
| Polyclonal | |
| Unconjugated | |
| PRKD1 | |
| 4930557O20Rik; 5730497N19Rik; AI325941; EPK2; HSPC187; nPKC-D1; nPKC-D2; nPKC-mu; nPKC-nu; Pkcm; PKC-MU; Pkcnu; PKC-NU; PKD; PKD1; PKD2; PKD3; Prkcm; Prkcn; Prkd1; PRKD2; Prkd3; Protein kinase C mu type; protein kinase C nu type; protein kinase C, mu; protein kinase C, nu; protein kinase D; protein kinase D1; protein kinase D2; protein kinase D3; protein kinase EPK2; RGD1308054; Serine/threonine-protein kinase D1; serine/threonine-protein kinase D2; Serine/threonine-protein kinase D3 | |
| Rabbit | |
| Antigen affinity chromatography | |
| RUO | |
| 101540, 18760, 23683, 25865, 292658, 313834, 5587, 75292, 85421 | |
| -20°C | |
| Liquid |
| Immunohistochemistry (Paraffin), Western Blot | |
| 1 mg/mL | |
| PBS with 50% glycerol and 0.02% sodium azide; pH 7.4 | |
| O94806, Q15139, Q5XIS9, Q62101, Q8BZ03, Q8K1Y2, Q9BZL6, Q9WTQ1 | |
| PRKD1, PRKD2, PRKD3 | |
| Peptide sequence around phosphorylation site of Serine738/Serine 742 (E-K-S(p)-F-R-R-S(p)-V-V) derived from Human PKD1/2/3/PKC mu. | |
| 100 μL | |
| Primary | |
| Human, Mouse, Rat | |
| Antibody | |
| IgG |
Product Content Correction
Your input is important to us. Please complete this form to provide feedback related to the content on this product.
Product Title
Spot an opportunity for improvement?Share a Content Correction