missing translation for 'onlineSavingsMsg'
Learn More
Learn More
Invitrogen™ Phospho-p47phox (Ser345) Polyclonal Antibody

Rabbit Polyclonal Antibody
Brand: Invitrogen™ PA537806
This item is not returnable.
View return policy
Description
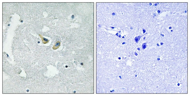
A suggested positive control for Western blot is HepG2 cells; suggested positive control for IHC is human brain tissue.
p47phox (NCF1) is required, along with NCF2 and membrane bound cytochrome b558, for activation of the latent NADPH oxidase. This oxidase is a multicomponent enzyme that is activated to produce superoxide anion. Mutations in the gene can result in granulomatous disease.
Specifications
| Phospho-p47phox (Ser345) | |
| Polyclonal | |
| Unconjugated | |
| Ncf1 | |
| 47 kDa autosomal chronic granulomatous disease protein; 47 kDa neutrophil oxidase factor; NADPH oxidase organizer 2; NADPH oxidase subunit (47 kD); NADPH oxidase subunit (47kDa); Ncf1; NCF-1; NCF1A; NCF-47K; neutrop; neutrophil cytosol factor 1; neutrophil cytosolic factor 1; neutrophil cytosolic factor 1, (chronic granulomatous disease, autosomal 1); neutrophil NADPH oxidase factor 1; Nox organizer 2; NOXO2; nox-organizing protein 2; P47 phox; p47>phox>; p47phox; p47-phox; phagocyte oxidase 47 kDa; SH3 and PX domain-containing protein 1A; SH3PXD1A | |
| Rabbit | |
| Antigen affinity chromatography | |
| RUO | |
| 653361 | |
| -20°C | |
| Liquid |
| Immunohistochemistry (Paraffin), Western Blot | |
| 1 mg/mL | |
| PBS with 50% glycerol and 0.02% sodium azide; pH 7.4 | |
| P14598 | |
| Ncf1 | |
| Peptide sequence around phosphorylation site of Serine 345(P-Q-S(p)-P-G) derived from Human Nuclear p47 phox. | |
| 100 μL | |
| Primary | |
| Human | |
| Antibody | |
| IgG |
Product Content Correction
Your input is important to us. Please complete this form to provide feedback related to the content on this product.
Product Title
Spot an opportunity for improvement?Share a Content Correction