missing translation for 'onlineSavingsMsg'
Learn More
Learn More
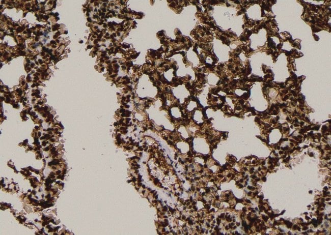
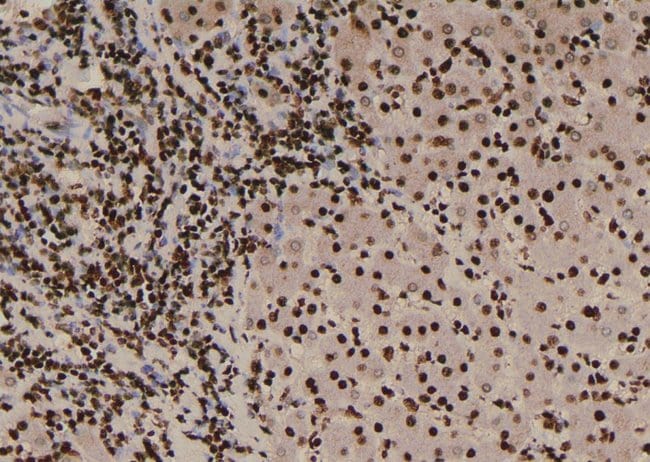
Invitrogen™ Phospho-NCF4 (Tyr243) Polyclonal Antibody

Rabbit Polyclonal Antibody
Brand: Invitrogen™ PA5105653
This item is not returnable.
View return policy
Description
Antibody detects endogenous levels of p40 phox only when phosphorylated at Tyr243.
The protein encoded by this gene is a cytosolic regulatory component of the superoxide-producing phagocyte NADPH-oxidase, a multicomponent enzyme system important for host defense. This protein is preferentially expressed in cells of myeloid lineage. It interacts primarily with neutrophil cytosolic factor 2 (NCF2/p67-phox) to form a complex with neutrophil cytosolic factor 1 (NCF1/p47-phox), which further interacts with the small G protein RAC1 and translocates to the membrane upon cell stimulation. This complex then activates flavocytochrome b, the membrane-integrated catalytic core of the enzyme system. The PX domain of this protein can bind phospholipid products of the PI(3) kinase, which suggests its role in PI(3) kinase-mediated signaling events. The phosphorylation of this protein was found to negatively regulate the enzyme activity. Alternatively spliced transcript variants encoding distinct isoforms have been observed.
Specifications
| Phospho-NCF4 (Tyr243) | |
| Polyclonal | |
| Unconjugated | |
| Ncf4 | |
| AI451400; CGD3; CTA-833B7.1; MGC3810; NCF; Ncf4; NCF-4; Neutrophil cytosol factor 4; neutrophil cytosolic factor 4; neutrophil cytosolic factor 4, 40kDa; neutrophil NADPH oxidase factor 4; OTTHUMP00000028736; OTTHUMP00000043756; P40PHOX; p40-phox; SH3 and PX domain-containing protein 4; SH3PXD4 | |
| Rabbit | |
| Sequential Chromatography | |
| RUO | |
| 17972, 4689 | |
| -20°C | |
| Liquid |
| Immunohistochemistry (Paraffin), Western Blot | |
| 1 mg/mL | |
| PBS with 50% glycerol and 0.02% sodium azide; pH 7.4 | |
| P97369, Q15080 | |
| Ncf4 | |
| A synthesized peptide derived from human NCF4(Accession Q15080), corresponding to amino acid residues around phosphorylated Tyr243. | |
| 100 μL | |
| Primary | |
| Human, Mouse | |
| Antibody | |
| IgG |
Product Content Correction
Your input is important to us. Please complete this form to provide feedback related to the content on this product.
Product Title
Spot an opportunity for improvement?Share a Content Correction