missing translation for 'onlineSavingsMsg'
Learn More

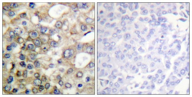
Phospho-MUC1 (Tyr1229) Polyclonal Antibody, Invitrogen™

Rabbit Polyclonal Antibody

Brand:  Invitrogen PA538833

Product Code. 15595741

  • £413.03 / 100µg

Please to purchase this item. Need a web account? Register with us today!

This item is not returnable. View return policy

Description

Description

MUC1 (Mucin 1, Episialin, MAM-6, CA 15-3, PEM and EMA) is a large cell surface mucin glycoprotein expressed by most glandular and ductal epithelial cells and some hematopoietic cell lineages. MUC1 is a transmembrane glycoprotein with a large mucin-like extracellular domain that matures through several intermediate forms generated by proteolysis, and sequential addition and processing of numerous O-linked glycans that are heavily sialylated. MUC1 is highly polymorphic and each allele encodes a product that contains a different number of repeats (between 30 and 90) leading to large differences in molecular weight of the protein. MUC1 is expressed on most secretory epithelium, including mammary gland and some hematopoietic cells, and is expressed abundantly in >90% breast carcinomas and metastases. Transgenic MUC1 has been shown to associate with all four cebB receptors and localize with erbB1 (EGFR) in lactating glands. The MUC1 gene contains seven exons and produces several different alternatively spliced variants. Overexpression, aberrant intracellular localization, and changes in glycosylation of the MUC1 protein have been associated with carcinomas. Multiple alternatively spliced transcript variants that encode different isoforms of the MUC1 gene have been reported, but the full-length nature of only some has been determined. Transgenic MUC-1 has been shown to associate with all four cebB receptors and localize with erbB1 (EGFR) in lactating glands.
TRUSTED_SUSTAINABILITY
Specifications

Specifications

Phospho-MUC1 (Tyr1229)
Polyclonal
Unconjugated
MUC1
Mucin-1, MUC-1, Breast carcinoma-associated antigen DF3, Cancer antigen 15-3, CA 15-3, Carcinoma-associated mucin, Episialin, H23AG, Krebs von den Lungen-6, KL-6, PEMT, Peanut-reactive urinary mucin, PUM, Polymorphic epithelial mucin, PEM, Tumor-associated epithelial membrane antigen, EMA, Tumor-associated mucin, CD227, Mucin-1 subunit alpha, MUC1-NT, MUC1-alpha, Mucin-1 subunit beta, MUC1-beta, MUC1-CT, MUC1, PUM
Rabbit
Antigen affinity chromatography
RUO
4582
-20°C
Liquid
Immunocytochemistry, Immunofluorescence, Immunohistochemistry (Paraffin), Western Blot
1 mg/mL
Dulbecco′s PBS with 150mM NaCl, 50% glycerol and 0.02% sodium azide; pH 7.4
P15941
MUC1
A synthetic phosphopeptide derived from human CD227/MUC1 around the phosphorylation site of tyrosine1229 (S-P-YP-E-K)
100 μg
Primary
Human
Antibody
IgG
Product Suggestions

Product Suggestions

Videos
SDS
Documents

Documents

Certificates
Promotions

Promotions

Product Content Correction

Your input is important to us. Please complete this form to provide feedback related to the content on this product.

Product Title

By clicking Submit, you acknowledge that you may be contacted by Fisher Scientific in regards to the feedback you have provided in this form. We will not share your information for any other purposes. All contact information provided shall also be maintained in accordance with our Privacy Policy.

Thank You! Your feedback has been submitted. Fisher Scientific is always working to improve our content for you. We appreciate your feedback.