missing translation for 'onlineSavingsMsg'
Learn More
Learn More
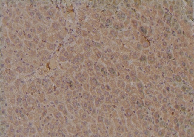
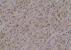
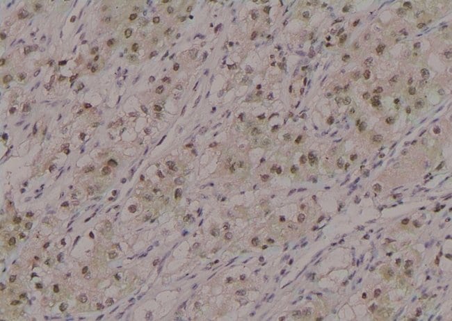
Invitrogen™ Phospho-MPZL1 (Tyr260) Polyclonal Antibody

Rabbit Polyclonal Antibody
Brand: Invitrogen™ PA5105440
This item is not returnable.
View return policy
Description
Antibody detects endogenous levels of PZR only when phosphorylated at Ser260.
Cell surface receptor, which is involved in signal transduction processes. Recruits PTPN11/SHP-2 to the cell membrane and is a putative substrate of PTPN11/SHP-2. Is a major receptor for concanavalin-A (ConA) and is involved in cellular signaling induced by ConA, which probably includes Src family tyrosine-protein kinases. Isoform 3 seems to have a dominant negative role; it blocks tyrosine phosphorylation of MPZL1 induced by ConA. Isoform 1, but not isoform 2 and isoform 3, may be involved in regulation of integrin-mediated cell motility.
Specifications
| Phospho-MPZL1 (Tyr260) | |
| Polyclonal | |
| Unconjugated | |
| Mpzl1 | |
| 1110007A10Rik; FLJ21047; immunoglobulin family transmembrane protein; Mpzl1; MPZL1b; myelin protein zero like 1; myelin protein zero-like 1; myelin protein zero-like protein 1; protein zero related; protein zero-related; Pzr; PZR1b; PZRa; PZRb; UNQ849/PRO1787 | |
| Rabbit | |
| Sequential chromatography | |
| RUO | |
| 68481, 9019 | |
| -20°C | |
| Liquid |
| Immunohistochemistry (Paraffin), Western Blot | |
| 1 mg/mL | |
| PBS with 50% glycerol and 0.02% sodium azide; pH 7.4 | |
| O95297, Q3TEW6 | |
| Mpzl1 | |
| A synthesized peptide derived from human MPZL1(Accession O95297), corresponding to amino acid residues around phosphorylated Ser260. | |
| 100 μL | |
| Primary | |
| Human, Mouse | |
| Antibody | |
| IgG |
Product Content Correction
Your input is important to us. Please complete this form to provide feedback related to the content on this product.
Product Title
Spot an opportunity for improvement?Share a Content Correction