missing translation for 'onlineSavingsMsg'
Learn More
Learn More
Invitrogen™ Phospho-MOB4A (Tyr26) Polyclonal Antibody

Rabbit Polyclonal Antibody
Brand: Invitrogen™ PA5105671
This item is not returnable.
View return policy
Description
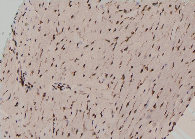
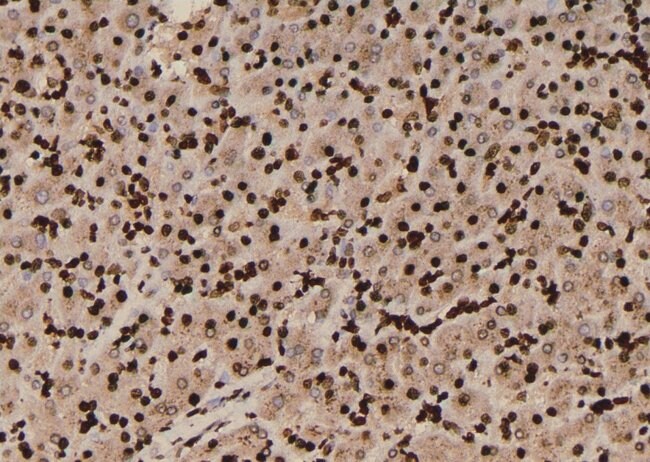
Antibody detects endogenous levels of MOB1A only when phosphorylated at Tyr26.
MOB4A is similar to the yeast Mob1 protein. Yeast Mob1 binds Mps1p, a protein kinase essential for spindle pole body duplication and mitotic checkpoint regulation. Mob4A regulates NDR1 and NDR2 kinase activity, widely expressed nuclear serine-threonine kinases that have been implicated in cell proliferation and/or tumor progression.
Specifications
| Phospho-MOB4A (Tyr26) | |
| Polyclonal | |
| Unconjugated | |
| MOB1B | |
| 1110003E08Rik; AU015450; B230364F10; MATS2; MGC33910; MOB kinase activator 1B; mob1 homolog 1A; MOB1 Mps One Binder homolog B; MOB1, Mps One Binder kinase activator-like 1A; mob1A; MOB1B; MOB4A; Mobkl1a; mps one binder kinase activator-like 1A | |
| Rabbit | |
| sequential chromatography | |
| RUO | |
| 360920, 68473, 92597 | |
| -20°C | |
| Liquid |
| Immunohistochemistry (Paraffin), Western Blot, Immunocytochemistry | |
| 1 mg/mL | |
| PBS with 50% glycerol and 0.02% sodium azide; pH 7.4 | |
| Q7L9L4, Q8BPB0 | |
| MOB1B | |
| A synthesized peptide derived from human MOB1B(Accession Q7L9L4), corresponding to amino acid residues around phosphorylated Tyr26. | |
| 100 μL | |
| Primary | |
| Human, Mouse, Rat | |
| Antibody | |
| IgG |
Product Content Correction
Your input is important to us. Please complete this form to provide feedback related to the content on this product.
Product Title
Spot an opportunity for improvement?Share a Content Correction