missing translation for 'onlineSavingsMsg'
Learn More
Learn More
Invitrogen™ Phospho-MEK7 (Ser271) Polyclonal Antibody

Rabbit Polyclonal Antibody
Brand: Invitrogen™ PA537703
This item is not returnable.
View return policy
Description
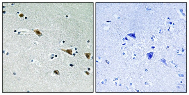
A suggested positive control for Western blot is NIH-3T3 cells; suggested positive control for IHC is human brain tissue. Predicted Species: Mouse and Rat. Their homology is 100%.
The protein encoded by this gene is a dual specificity protein kinase that belongs to the MAP kinase family. This kinase specifically activates MAPK8/JNK1 and MAPK9/JNK2, and this kinase itself is phosphorylated and activated by MAP kinase kinases including MAP3K1/MEKK1, MAP3K2/MEKK2, MAP3K3/MEKK5, and MAP4K2/GCK. This kinase is involved in the signal transduction mediating the cell responses to proinflammatory cytokines, and environmental stresses. Multiple alternatively spliced transcript variants encoding distinct isoforms have been found, but only one transcript variant has been supported and defined.
Specifications
| Phospho-MEK7 (Ser271) | |
| Polyclonal | |
| Unconjugated | |
| MAP2K7 | |
| 2; 5930412N11Rik; c-Jun N-terminal kinase kinase 2; Dual specificity mitogen-activated protein kinase kinase 7; EMBL:AAX61178.1}; JN; JNK kinase 2; JNK-activating kinase 2; JNKK; JNKK 2; Jnkk2; MAP kinase kinase 7; MAP2K4; map2k7; map2k7 {ECO:0000312; MAPK/ERK kinase 4; MAPK/ERK kinase 7; MAPKK 4; MAPKK 7; MAPKK7; MEK; MEK 4; MEK 7; Mek7; mitogen activated protein kinase kinase 7; mitogen-activated protein kinase kinase 7; Mkk7; PRKMK7; protein kinase, mitogen activated, kinase 7; SAPK kinase 1; SAPK kinase 4; SAPK/ERK kinase 1; SAPKK1; SAPKK-1; SAPKK4; SAPKK-4; SEK1; sek2; SKK4; Stress-activated protein kinase kinase 4 | |
| Rabbit | |
| Antigen affinity chromatography | |
| RUO | |
| 5609 | |
| -20°C | |
| Liquid |
| Immunohistochemistry (Paraffin), Western Blot | |
| 1 mg/mL | |
| PBS with 50% glycerol and 0.02% sodium azide; pH 7.4 | |
| O14733 | |
| MAP2K7 | |
| Peptide sequence around phosphorylation site of Serine271(V-D-S(p)-K-A) derived from Human MAP2K7. | |
| 100 μL | |
| Primary | |
| Human | |
| Antibody | |
| IgG |
Product Content Correction
Your input is important to us. Please complete this form to provide feedback related to the content on this product.
Product Title
Spot an opportunity for improvement?Share a Content Correction