missing translation for 'onlineSavingsMsg'
Learn More

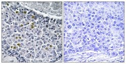
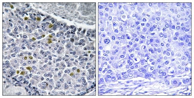
Phospho-MAD1 (Ser428) Polyclonal Antibody, Invitrogen™

Rabbit Polyclonal Antibody

Brand:  Invitrogen PA538669

Product Code. 15595581

  • £416.00 / 100µg

Please to purchase this item. Need a web account? Register with us today!

This item is not returnable. View return policy

Description

Description

MAD1L1 is a component of the mitotic spindle-assembly checkpoint that prevents the onset of anaphase until all chromosome are properly aligned at the metaphase plate. MAD1L1 functions as a homodimer and interacts with MAD2L1. MAD1L1 may play a role in cell cycle control and tumor suppression. Three transcript variants encoding the same protein have been found for this gene.
TRUSTED_SUSTAINABILITY
Specifications

Specifications

Phospho-MAD1 (Ser428)
Polyclonal
Unconjugated
MAD1L1
MAD1, PIG9, TP53I9, TXBP181, MAD1-like protein 1, mitotic arrest deficient 1-like protein 1, mitotic checkpoint MAD1 protein homolog, mitotic spindle assembly checkpoint protein MAD1, mitotic-arrest deficient 1, yeast, homolog-like 1, tax-binding protein 181, tumor protein p53 inducible pr
Rabbit
Antigen affinity chromatography
RUO
8379
-20°C
Liquid
Peptide ELISA
1 mg/mL
Dulbecco′s PBS with 150mM NaCl, 50% glycerol and 0.02% sodium azide; pH 7.4
Q9Y6D9
MAD1L1
A synthetic phosphopeptide derived from human MAD1 around the phosphorylation site of Ser428 (E-Y-SP-P-Q)
100 μg
Primary
Human
Antibody
IgG
Product Suggestions

Product Suggestions

Videos
SDS
Documents

Documents

Certificates
Promotions

Promotions

Product Content Correction

Your input is important to us. Please complete this form to provide feedback related to the content on this product.

Product Title

By clicking Submit, you acknowledge that you may be contacted by Fisher Scientific in regards to the feedback you have provided in this form. We will not share your information for any other purposes. All contact information provided shall also be maintained in accordance with our Privacy Policy.

Thank You! Your feedback has been submitted. Fisher Scientific is always working to improve our content for you. We appreciate your feedback.