missing translation for 'onlineSavingsMsg'
Learn More

Phospho-IP3 Receptor 1 (Ser1764) Polyclonal Antibody, Invitrogen™

Rabbit Polyclonal Antibody

Brand:  Invitrogen PA539790

Product Code. 15526661

This item is currently unavailable or has been discontinued.
View the product page for possible alternatives.
View alternative products »

This item is not returnable. View return policy

Description

Description

Intracellular channel that mediates calcium release from the endoplasmic reticulum following stimulation by inositol 1,4,5-trisphosphate. Involved in the regulation of epithelial secretion of electrolytes and fluid through the interaction with AHCYL1 (By similarity). Plays a role in ER stress-induced apoptosis. Cytoplasmic calcium released from the ER triggers apoptosis by the activation of CaM kinase II, eventually leading to the activation of downstream apoptosis pathways.
TRUSTED_SUSTAINABILITY
Specifications

Specifications

Phospho-IP3 Receptor 1 (Ser1764)
Polyclonal
Unconjugated
ITPR1
Inositol 1,4,5,-Triphosphate Receptor Type I, IP3R, IP3R1
Rabbit
Antigen affinity chromatography
RUO
16438, 25262, 3708
-20°C
Liquid
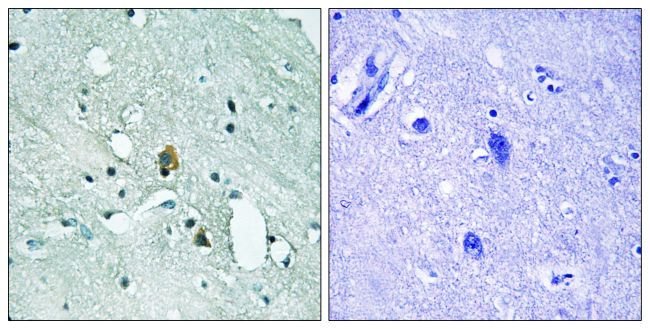
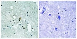
Immunohistochemistry (Paraffin)
1 mg/mL
Dulbecco′s PBS with 150mM NaCl, 50% glycerol and 0.02% sodium azide; pH 7.4
Q14643, P11881, P29994
ITPR1
A synthetic phosphopeptide derived from human IP3R1 around the phosphorylation site of Ser1764 (R-E-SP-L-T)
100 μg
Primary
Human, Mouse, Rat
Antibody
IgG
Product Suggestions

Product Suggestions

Videos
SDS
Documents

Documents

Certificates
Promotions

Promotions

Product Content Correction

Your input is important to us. Please complete this form to provide feedback related to the content on this product.

Product Title

By clicking Submit, you acknowledge that you may be contacted by Fisher Scientific in regards to the feedback you have provided in this form. We will not share your information for any other purposes. All contact information provided shall also be maintained in accordance with our Privacy Policy.

Thank You! Your feedback has been submitted. Fisher Scientific is always working to improve our content for you. We appreciate your feedback.