missing translation for 'onlineSavingsMsg'
Learn More
Learn More
Invitrogen™ Phospho-INCENP (Thr59) Polyclonal Antibody

Rabbit Polyclonal Antibody
Brand: Invitrogen™ PA5106183
This item is not returnable.
View return policy
Description
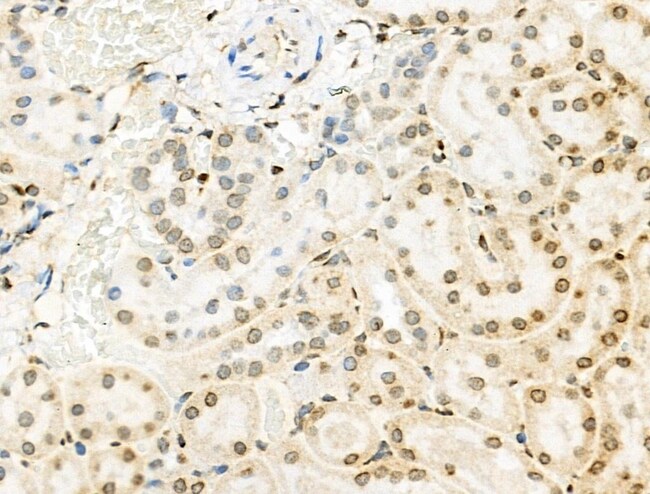
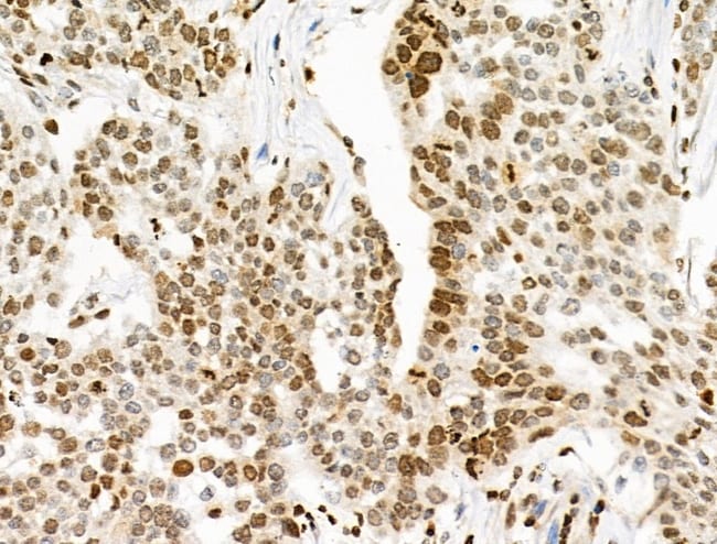
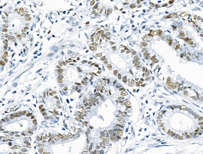
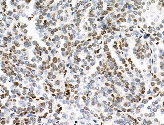
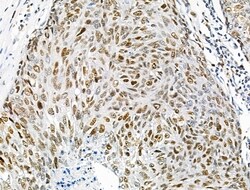
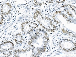
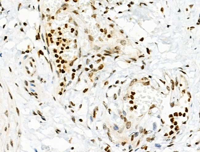
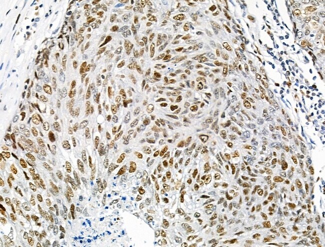
Antibody detects endogenous levels of INCENP only when phosphorylated at Thr59.
Chromosomal passenger proteins are members of a group of proteins that move from centromeres to the spindle midzone during mitosis. INCENP (Inner Centromere Protein) is a chromosomal passenger protein with an essential role in mitosis and meiosis. It is a complex highly basic multidomain protein that is dynamically translocated from metaphase chromosomes to the spindle midzone during or just prior to anaphase. Some INCENP transfers to the equatorial cortex before formation of the cleavage furrow. Ultimately, it is discarded in the midbody at the completion of cytokinesis.
Specifications
| Phospho-INCENP (Thr59) | |
| Polyclonal | |
| Unconjugated | |
| Incenp | |
| 2700067E22Rik; AU019509; binds and activates aurora-B and -C in vivo and in vitro; C130081E20; C77457; chromosomal passenger protein; Incenp; Inner centromere protein; inner centromere protein antigens 135/155kDa; inner centromere protein INCENP | |
| Rabbit | |
| Sequential chromatography | |
| RUO | |
| 16319, 293733, 3619 | |
| -20°C | |
| Liquid |
| Immunohistochemistry (Paraffin), Western Blot, Immunocytochemistry | |
| 1 mg/mL | |
| PBS with 50% glycerol and 0.02% sodium azide; pH 7.4 | |
| Q9NQS7, Q9WU62 | |
| Incenp | |
| A synthesized peptide derived from human INCENP(Accession Q9NQS7), corresponding to amino acid residues around phosphorylated Thr59. | |
| 100 μL | |
| Primary | |
| Human, Mouse, Rat | |
| Antibody | |
| IgG |
Product Content Correction
Your input is important to us. Please complete this form to provide feedback related to the content on this product.
Product Title
Spot an opportunity for improvement?Share a Content Correction