missing translation for 'onlineSavingsMsg'
Learn More

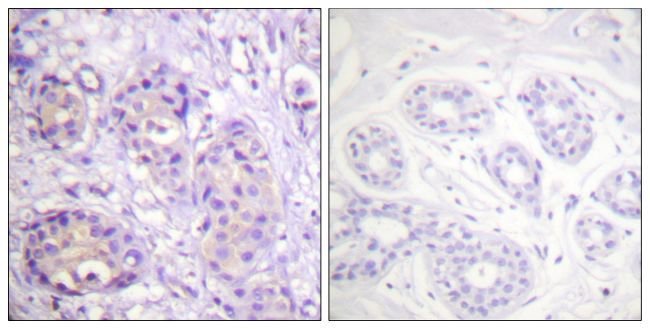
Phospho-IKK beta (Tyr199) Polyclonal Antibody, Invitrogen™

Rabbit Polyclonal Antibody

Brand:  Invitrogen PA538280

Product Code. 15585201

This item is currently unavailable or has been discontinued.
View the product page for possible alternatives.
View alternative products »

This item is not returnable. View return policy

Description

Description

Inhibitor of nuclear factor kappa-B kinase subunit beta (IKK beta) is a serine kinase that plays an essential role in the NF-kaapa-B signaling pathway which is activated by mulitple stimuli such as inflammatory cytokines, bacterial, or viral products, DNA damages, or other cellular stresses. IKK beta acts as part of the canonical IKK complex in the conventional pathway of NF-kappa-B activation and phosphorylates inhibitors of NF-kappa-B on 2 critical serine residues. These modifications allow polyubiquitination of the inhibitors and subsequent degradation by the proteasome. In turn, free NF-kappa-B is translocated into the nucleus and activates the transcription of hundreds of genes involved in immune response, growth control, or protection against apoptosis. Mutations affecting the IKK beta gene can result in Immunodeficiency 15 (IMD15).
TRUSTED_SUSTAINABILITY
Specifications

Specifications

Phospho-IKK beta (Tyr199)
Polyclonal
Unconjugated
IKBKB
Inhibitor of nuclear factor kappa B kinase beta subunit, I-kappa-B-kinase beta, IkBKB, IKKB, I-kappa-B kinase 2, IKK2, Nuclear factor NF-kappa-B inhibitor kinase beta, NFKBIKB
Rabbit
Antigen affinity chromatography
RUO
16150, 3551, 84351
-20°C
Liquid
Immunohistochemistry (Paraffin), Western Blot
1 mg/mL
Dulbecco′s PBS with 150mM NaCl, 50% glycerol and 0.02% sodium azide; pH 7.4
O14920, O88351, Q9QY78
IKBKB
A synthetic phosphopeptide derived from human IKK-beta around the phosphorylation site of Tyr199 (Q-K-YP-T-V)
100 μg
Primary
Human, Mouse, Rat
Antibody
IgG
Product Suggestions

Product Suggestions

Videos
SDS
Documents

Documents

Certificates
Promotions

Promotions

Product Content Correction

Your input is important to us. Please complete this form to provide feedback related to the content on this product.

Product Title

By clicking Submit, you acknowledge that you may be contacted by Fisher Scientific in regards to the feedback you have provided in this form. We will not share your information for any other purposes. All contact information provided shall also be maintained in accordance with our Privacy Policy.

Thank You! Your feedback has been submitted. Fisher Scientific is always working to improve our content for you. We appreciate your feedback.