missing translation for 'onlineSavingsMsg'
Learn More

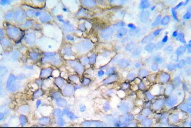
Invitrogen™ Phospho-HSP27 (Ser78, Ser82) Polyclonal Antibody

Rabbit Polyclonal Antibody

Brand:  Invitrogen™ PA536912

Product Code. 15534151

  • £441.00 / 100µL

Please to purchase this item. Need a web account? Register with us today!

This item is not returnable. View return policy

Description

Description

This antibody detects endogenous protein at a molecular weight of 27 kDa. Purity is >95% by SDS-PAGE.

In response to adverse changes in their environment, cells from many organisms increase the expression of a class of proteins referred to as heat shock or stress proteins. HSPB1 (heat shock protein beta-1 or HSP27) is a small heat shock protein which functions as a molecular chaperone that maintains denatured proteins in a folding-competent state. It plays a role in stress resistance and actin organization. Through its molecular chaperone activity, HSP27 regulates numerous biological processes including the phosphorylation and the axonal transport of neurofilament proteins. Mutations in the gene can result in Charcot-Marie-Tooth disease 2F and Neuronopathy distal hereditary motor 2B.
TRUSTED_SUSTAINABILITY
Specifications

Specifications

Phospho-HSP27 (Ser78, Ser82)
Polyclonal
Unconjugated
HSPB1
27kDa; 28 kDa heat shock protein; CMT2F; DKFZp586P1322; epididymis secretory protein Li 102; estrogen-regulated 24 kDa protein; Growth-related 25 kDa protein; heat shock 25 kDa protein; Heat shock 27 kDa protein; heat shock 27kD protein 1; heat shock 27kDa protein 1; Heat shock protein; heat shock protein 1; heat shock protein 27 kDa beta-1; heat shock protein B1; heat shock protein beta-1; heat shock protein family B (small) member 1; heat shock protein, 25 kDa; heat-shock protein; HEL-S-102; HMN2B; HS; HS.76067; HSP; HSP 25; HSP 27; Hsp25; HSP27; HSP28; HSPB1; p25; Phospho-HSP 27; SRP27; Stress-responsive protein 27; truncated hsp25
Rabbit
Antigen affinity chromatography
RUO
15507, 24471, 3315
Store at 4°C short term. For long term storage, store at -20°C, avoiding freeze/thaw cycles.
Liquid
Immunohistochemistry (Paraffin)
1 mg/mL
PBS with 0.05% sodium azide; pH 7.2
P04792, P14602, P42930
HSPB1
Synthetic phosphopeptide derived from human HSP27 around the phosphorylation site of Serine 78/82.
100 μL
Primary
Human, Mouse, Rat
Antibody
IgG
Product Suggestions

Product Suggestions

Videos
SDS
Documents

Documents

Certificates
Promotions

Promotions

Product Content Correction

Your input is important to us. Please complete this form to provide feedback related to the content on this product.

Product Title

By clicking Submit, you acknowledge that you may be contacted by Fisher Scientific in regards to the feedback you have provided in this form. We will not share your information for any other purposes. All contact information provided shall also be maintained in accordance with our Privacy Policy.

Thank You! Your feedback has been submitted. Fisher Scientific is always working to improve our content for you. We appreciate your feedback.