missing translation for 'onlineSavingsMsg'
Learn More
Learn More
Invitrogen™ Phospho-hnRNP D (Ser83) Polyclonal Antibody

Rabbit Polyclonal Antibody
Brand: Invitrogen™ PA537596
This item is not returnable.
View return policy
Description
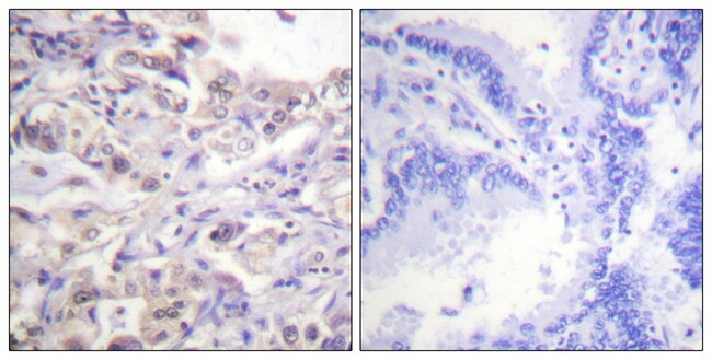
A suggested positive control for Western blot is JK cells; suggested positive control for IHC is human lung carcinoma; suggested positive control for ICC/IF is Hela cells.
This gene belongs to the subfamily of ubiquitously expressed heterogeneous nuclear ribonucleoproteins (hnRNPs). The hnRNPs are nucleic acid binding proteins and they complex with heterogeneous nuclear RNA (hnRNA). These proteins are associated with pre-mRNAs in the nucleus and appear to influence pre-mRNA processing and other aspects of mRNA metabolism and transport. While all of the hnRNPs are present in the nucleus, some seem to shuttle between the nucleus and the cytoplasm. The hnRNP proteins have distinct nucleic acid binding properties. The protein encoded by this gene has two repeats of quasi-RRM domains that bind to RNAs. It localizes to both the nucleus and the cytoplasm. This protein is implicated in the regulation of mRNA stability. Alternative splicing of this gene results in four transcript variants.
Specifications
| Phospho-hnRNP D (Ser83) | |
| Polyclonal | |
| Unconjugated | |
| HNRNPD | |
| ARE-binding protein AUFI, type A; Auf1; AUF1A; AU-rich element RNA binding protein 1, 37kDa; AU-rich element RNA-binding factor 1; AU-rich element RNA-binding protein 1; heterogeneous nuclear ribonucleoprotein D; heterogeneous nuclear ribonucleoprotein D (AU-rich element RNA binding protein 1, 37kDa); heterogeneous nuclear ribonucleoprotein D0; hnRNP D0; HNRNPD; hnRNPD0; Hnrpd; P37; RNA binding protein p45AUF1 | |
| Rabbit | |
| Antigen affinity chromatography | |
| RUO | |
| 11991, 3184 | |
| -20°C | |
| Liquid |
| Immunohistochemistry (Paraffin), Western Blot, Immunocytochemistry | |
| 1 mg/mL | |
| PBS with 50% glycerol and 0.02% sodium azide; pH 7.4 | |
| Q14103, Q60668 | |
| HNRNPD | |
| Peptide sequence around phosphorylation site of Serine 83(N-S-S(p)-P-R) derived from Human hnRPD. | |
| 100 μL | |
| Primary | |
| Human, Mouse | |
| Antibody | |
| IgG |
Product Content Correction
Your input is important to us. Please complete this form to provide feedback related to the content on this product.
Product Title
Spot an opportunity for improvement?Share a Content Correction