missing translation for 'onlineSavingsMsg'
Learn More

Invitrogen™ Phospho-Histone H3 (Ser10, Thr11) Recombinant Rabbit Monoclonal Antibody (K01_2Q41)

Product Code. 30828899
Change view
Click to view available options
Quantity:
50 μL
100 μL
2 product options available for selection
Product selection table with 2 available options. Use arrow keys to navigate and Enter or Space to select.
Product Code. Quantity
30828899 50 μL
30824744 100 μL
Use arrow keys to navigate between rows. Press Enter or Space to select a product option. 2 options available.
2 options
This item is not returnable. View return policy
Product Code. 30828899 Supplier Invitrogen™ Supplier No. MA565725

Please to purchase this item. Need a web account? Register with us today!

This item is not returnable. View return policy

Rabbit Recombinant Monoclonal Antibody

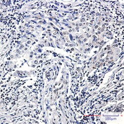
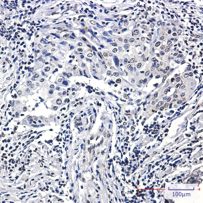
Phospho-Histone H3 (Ser10, Thr11) Recombinant Monoclonal Antibody for ICC/IF, IHC (P), Western Blot

Histone H3 is one of the DNA-binding proteins found in the chromatin of all eukaryotic cells. H3 along with four core histone proteins binds to DNA forming the structure of the nucleosome. Histones play a central role in transcription regulation, DNA repair, DNA replication and chromosomal stability. Post translationally, histones are modified in a variety of ways to either directly change the chromatin structure or allow for the binding of specific transcription factors. The N-terminal tail of histone H3 protrudes from the globular nucleosome core and can undergo several different types of post-translational modification that influence cellular processes. These modifications include the covalent attachment of methyl or acetyl groups to lysine and arginine amino acids and the phosphorylation of serine or threonine.
TRUSTED_SUSTAINABILITY

Specifications

Antigen Phospho-Histone H3 (Ser10, Thr11)
Applications Immunohistochemistry (Paraffin), Western Blot, Immunocytochemistry
Classification Recombinant Monoclonal
Clone K01_2Q41
Concentration 1 mg/mL
Conjugate Unconjugated
Formulation 50mM tris glycine with 0.05% BSA, 40% glycerol, 150mM NaCl and 0.01% sodium azide; pH 7.4
Gene H3C1
Gene Accession No. P68431, P68433, P84228, Q71DI3
Gene Alias BUR5; CG31613; CG31613-PA; CG33803; CG33806; CG33809; CG33812; CG33815; CG33818; CG33821; CG33824; CG33827; CG33830; CG33833; CG33836; CG33839; CG33842; CG33845; CG33848; CG33851; CG33854; CG33857; CG33860; CG33863; CG33866; CG5825; CG5825-PA; CG5825-PC; CG5825-PD; CG8989; dH3.3A; Dmel\CG31613; Dmel\CG5825; Dmel_CG31613; Dmel_CG5825; fb58e10; h3; H3 histone; H3 histone family, member A; H3 histone family, member I; H3 histone family, member K; H3 histone family, member L; H3 histone family, member M; H3 histone, family 2; H3 histone, family 3A; H3 histone, family 3B; H3 histone, family 3B (H3.3B); H3 histone, family 3B.1; H3 histone, family 3C; H3.1-221; H3.1-291; H3.1-I; H3.2; H3.2-221; H3.2-614; H3.2-615; H3.2-616; h3.2a; H3.3; H3.3 histone A; H3.3 histone B; H3.3a; H3.3B; H3.5; H3.5 histone; H3.A; H3.B; H3/A; H3/b; H3/d; H3/f; H3/i; H3/j; H3/k; H3/l; H3/M; H3/n; H3/o; H3-143; H3-291; H3-3A; H3-3B; H3-5; H3-53; H3-614; H3a; H3b; H3-B; H3C1; H3c10; H3c11; H3C12; H3C2; H3C3; H3C4; H3C6; H3C7; H3C8; H3f; H3-F; H3F1K; H3F2; H3F3; h3f3a; H3F3A protein; H3f3b; h3f3b.1; H3F3C; h3f3d; H3FA; H3FB; H3FC HIST1H3C; H3FD; H3FF; H3FH; H3FI; H3FJ; H3FK; H3FL; H3FM; H3FN; H3g; H3h; H3i; H3L-like histone; h3r; H3S10ph; H4 clustered histone 16; H4 clustered histone 19; H4C16; H4C19; HHT1; HHT2; His3; His3.3; His3.3A; His-3.3A; His3.3A-PA; His3.3A-PC; His3.3A-PD; His3.3B; His3:CG31613; His3:CG31613-PA; His3:CG33803; His3:CG33806; His3:CG33809; His3:CG33812; His3:CG33815; His3:CG33818; His3:CG33821; His3:CG33824; His3:CG33827; His3:CG33830; His3:CG33833; His3:CG33836; His3:CG33839; His3:CG33842; His3:CG33845; His3:CG33848; His3:CG33851; His3:CG33854; His3:CG33857; His3:CG33860; His3:CG33863; His3:CG33866; Hist1; Hist1h2ai; Hist1h2ail; Hist1h2ail1; HIST1H3A; HIST1H3B; Hist1h3c; HIST1H3D; Hist1h3e; Hist1h3f; Hist1h3g; hist1h3g.L; HIST1H3H; HIST1H3I; HIST1H3J; hist2h3; HIST2H3A; Hist2h3b; HIST2H3C; Hist2h3c1; Hist2h3c2; Hist2h3c2-ps; Hist2h3ca1; Hist2h3ca2; HIST2H3D; histone; histone 1, H2ai; histone 1, H3a; histone 1, H3b; histone 1, H3f; histone 1, H3h; histone 2, H3a; histone 2, H3c; histone 2, H3c2; histone 2, H3ca2; Histone 3; histone cluster 1 H3 family member a; histone cluster 1, H2ai; histone cluster 1, H2ai-like; histone cluster 1, H2ai-like1; histone cluster 1, H3a; histone cluster 1, H3b; histone cluster 1, H3f; histone cluster 1, H3g protein L homeolog; histone cluster 1, H3h; Histone Cluster 2 H3a; histone cluster 2, H3a; histone cluster 2, H3c; histone cluster 2, H3c2; histone cluster 2, H3c2, pseudogene; histone cluster 3, H3; histone gene complex 1; histone H3; Histone H3 containing protein; histone H3.1; Histone H3.2; histone H3.2-like; histone H3.3; Histone H3.3A; Histone H3.3B; Histone H3.3C; histone H3.3C-like; histone H3.3-like protein; Histone H3.5; histone H3/a; Histone H3/b; Histone H3/c; Histone H3/d; Histone H3/f; Histone H3/h; Histone H3/i; Histone H3/j; Histone H3/k; histone H3/l; Histone H3/m; histone H3/o; histone H3-like; histone H4; histone variant H3.5; hypothetical protein LOC406269; hypothetical protein LOC550262; I79_014844; lamprey; lpy; M32461; N2749; PH3; PP781; similar to H3 histone, family 3A; SIN2; Unknown (protein for MGC:128166); wu:fa25h06; wu:fa96g06; wu:fb07a08; wu:fb36f01; wu:fb58e10; XELAEV_18028537mg; YBR010W; YBR0201; YNL031C; zgc:110292; zgc:174300; zgc:56193; zgc:56418; zgc:64222; zgc:86731
Gene Symbols H3C1, H3C10, H3C12, H3C14, H3C15, H3C2, H3C7, HIST1H3A
Host Species Rabbit
Immunogen A synthetic phosphopeptide corresponding to residues surrounding Ser10/Thr11 of human Histone H3.
Purification Method Protein A/G
Quantity 50 μL
Regulatory Status RUO
Primary or Secondary Primary
Gene ID (Entrez) 0, 126961, 260423, 291159, 310678, 319150, 319152, 333932, 360198, 679994, 8350, 8356, 8357, 8358, 8968, 97114
Target Species Human, Mouse, Rat
Content And Storage Maintain refrigerated at 2-8°C for up to 1 month. For long term storage store at -20°C
Product Type Antibody
Form Liquid
Isotype IgG
Show More Show Less
Product Title
Select an issue

By clicking Submit, you acknowledge that you may be contacted by Fisher Scientific in regards to the feedback you have provided in this form. We will not share your information for any other purposes. All contact information provided shall also be maintained in accordance with our Privacy Policy.