missing translation for 'onlineSavingsMsg'
Learn More
Learn More
Invitrogen™ Phospho-FOXO3A (Ser425) Polyclonal Antibody

Rabbit Polyclonal Antibody
Brand: Invitrogen™ PA5117272
This item is not returnable.
View return policy
Description
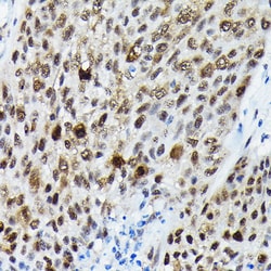
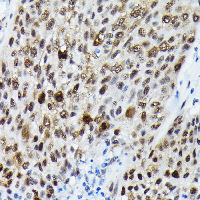
Positive Samples: K-562 Immunogen sequence: LGSPT.
USP48 is a protein containing domains that associate it with the peptidase family C19, also known as family 2 of ubiquitin carboxyl-terminal hydrolases. Family members function as deubiquitinating enzymes, recognizing and hydrolyzing the peptide bond at the C-terminal glycine of ubiquitin. Enzymes in peptidase family C19 are involved in the processing of poly-ubiquitin precursors as well as that of ubiquitinated proteins.
Specifications
| Phospho-FOXO3A (Ser425) | |
| Polyclonal | |
| Unconjugated | |
| FOXO3 | |
| 1110048B16Rik; 2010203A17Rik; AF6q21; AF6q21 protein; C76856; Fkhr2; FKHRL1; FKHRL1P2; forkhead box O3; forkhead box O3a; forkhead box O3A transcription factor; forkhead box protein O3; forkhead homolog (rhabdomyosarcoma) like 1; forkhead in rhabdomyosarcoma-like 1; forkhead protein FKHR2; forkhead, Drosophila, homolog of, in rhabdomyosarcoma-like 1; FOXO2; FOXO3; FOXO-3; FOXO3A | |
| Rabbit | |
| Affinity chromatography | |
| RUO | |
| 2309, 294515, 56484 | |
| -20°C, Avoid Freeze/Thaw Cycles | |
| Liquid |
| ELISA, Immunohistochemistry (Paraffin), Western Blot | |
| 0.485 mg/mL | |
| PBS with 50% glycerol and 0.01% thimerosal; pH 7.3 | |
| O43524, Q9WVH4 | |
| FOXO3 | |
| A synthetic phosphorylated peptide around S425 of human FOXO3A (NP_0014461). | |
| 100 μL | |
| Primary | |
| Human, Mouse, Rat | |
| Antibody | |
| IgG |
Product Content Correction
Your input is important to us. Please complete this form to provide feedback related to the content on this product.
Product Title
Spot an opportunity for improvement?Share a Content Correction