missing translation for 'onlineSavingsMsg'
Learn More
Learn More
Invitrogen™ Phospho-FOXO1 (Ser256) Recombinant Rabbit Monoclonal Antibody (HL2887)

Rabbit Recombinant Monoclonal Antibody
Brand: Invitrogen™ MA556715
This item is not returnable.
View return policy
Description
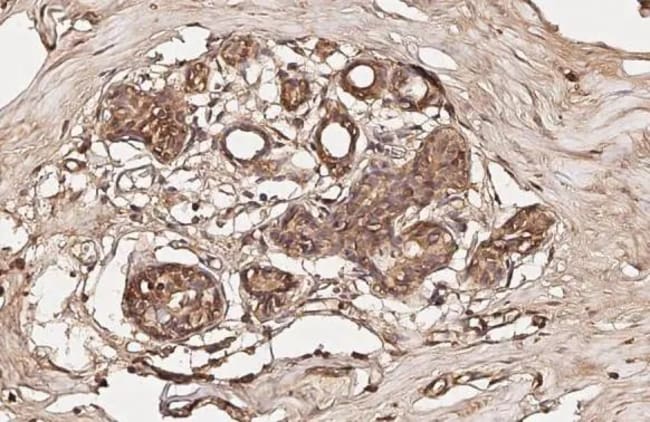
Phospho-FOXO1 (Ser256) Recombinant Monoclonal Antibody for IHC (P)
FOXO1 (FKHR, ForKHead Box 01) is a member in a subfamily of the forkhead homeotic gene family of transcription factors. Recent experiments have shown that FOXO1 can act as either a coactivator or a corepressor of nuclear receptor activity that is mediated through the LXXLL motif found in the carboxyl terminal region of the FKHR protein. Association of FOXO1 with PAX3 has been implicated in alveolar rhabdomyosarcoma. Recent studies link the anti-tumor activity of FOXO1, the process of autophagy and myogenic growth and differentiation. FOXO1 is the main target of insulin signaling that regulated the metabolic homeostasis in response to oxidative stress. FOXO1 binds to the insulin response element (IRE) with consensus sequence 5'-TT[G/A]TTTTG-3' and the related Daf-16 family binding element (DBE) with consensus sequence 5'- TT[G/A]TTTAC-3'. FOXO1 is a regulator of redox balance, osteoblast numbers and controls bone mass. Further, FOXO1 orchestrates the endocrine function of the skeleton in regulating glucose metabolism, and suppresses the transcriptional activity of RUNX2, an upstream activator of osteocalcin/BGLAP. In hepatocytes, FOXO1 promotes gluconeogenesis by acting together with PPARGC1A to activate the expression of genes such as IGFBP1, G6PC and PPCK1. FOXO1 is an important regulator of cell death acting downstream of CDK1, PKB/AKT1 and SKT4/MST1.
Specifications
| Phospho-FOXO1 (Ser256) | |
| Recombinant Monoclonal | |
| 1 mg/mL | |
| PBS with no preservative | |
| Q12778 | |
| FOXO1 | |
| Carrier-protein conjugated synthetic peptide surrounding phospho Ser256 of human FOXO1. The exact sequence is proprietary. | |
| 100 μL | |
| Primary | |
| Human | |
| Antibody | |
| IgG |
| Immunohistochemistry (Paraffin) | |
| HL2887 | |
| Unconjugated | |
| FOXO1 | |
| Afxh; AI876417; FKH1; FKHR; Fkhr1; forkhead box O1; forkhead box O1 a; forkhead box O1a; forkhead box O1A (rhabdomyosarcoma); forkhead box protein O1; forkhead box protein O1; LOW QUALITY PROTEIN: forkhead box protein O1; forkhead box protein O1A; Forkhead box protein O1-A; Forkhead in rhabdomyosarcoma; forkhead protein 1; forkhead protein FKHR; forkhead, Drosophila, homolog of, in rhabdomyosarcoma; fox family transcription factor FoxO1a.1; FOX01A; foxhead box protein O1-A; foxo1; FOXO1A; FoxO1a.1; member of FKHR-subclass forkhead/winged helix family; zgc:153388 | |
| Rabbit | |
| Protein A | |
| RUO | |
| 2308 | |
| -20°C, Avoid Freeze/Thaw Cycles | |
| Liquid |
Product Content Correction
Your input is important to us. Please complete this form to provide feedback related to the content on this product.
Product Title
Spot an opportunity for improvement?Share a Content Correction