missing translation for 'onlineSavingsMsg'
Learn More
Learn More
Invitrogen™ Phospho-ERF (Thr526) Polyclonal Antibody

Rabbit Polyclonal Antibody
Brand: Invitrogen™ PA536750
This item is not returnable.
View return policy
Description
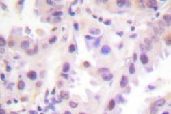
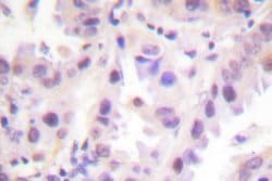
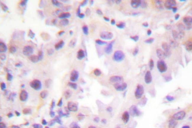
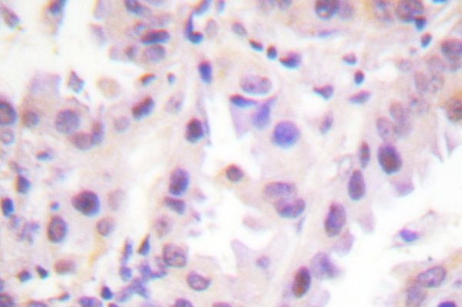
This antibody detects endogenous protein at a molecular weight of 59 kDa. Purity is >95% by SDS-PAGE.
Members of the ETS family of transcription factors, such as ERF, regulate cell proliferation and differentiation. They share a highly conserved DNA-binding domain, the ETS domain, that recognizes the sequence GGAA/T (de Castro et al., 1997 [PubMed 9192842]). For further information on ETS transcription factors, see ETS1 (MIM 164720).
Specifications
| Phospho-ERF (Thr526) | |
| Polyclonal | |
| Unconjugated | |
| ERF | |
| CRS4; ERF; Est2 repressor factor; ETS domain-containing transcription factor ERF; ETS domain-containing transcription factor ERF; ets2 repressor factor; Ets2 repressor factor; fc22h01; LOW QUALITY PROTEIN: ETS domain-containing transcription factor ERF; PE 2; PE2; PE-2; wu:fc22h01 | |
| Rabbit | |
| Antigen affinity chromatography | |
| RUO | |
| 13875, 2077, 292721 | |
| Store at 4°C short term. For long term storage, store at -20°C, avoiding freeze/thaw cycles. | |
| Liquid |
| Immunohistochemistry (Paraffin), Immunocytochemistry | |
| 1 mg/mL | |
| PBS with 50% glycerol and 0.02% sodium azide; pH 7.2 | |
| P50548, P70459 | |
| ERF | |
| Synthetic phosphopeptide derived from human ERF around the phosphorylation site of Threonine 526. | |
| 100 μL | |
| Primary | |
| Human, Mouse, Rat | |
| Antibody | |
| IgG |
Product Content Correction
Your input is important to us. Please complete this form to provide feedback related to the content on this product.
Product Title
Spot an opportunity for improvement?Share a Content Correction