missing translation for 'onlineSavingsMsg'
Learn More

Invitrogen™ Phospho-DOK2 (Tyr345) Polyclonal Antibody
GREENER_CHOICE

Rabbit Polyclonal Antibody

Brand:  Invitrogen™ PA5118727

Product Code. 17730144

  • £432.00 / 100µL

Please to purchase this item. Need a web account? Register with us today!

This item is not returnable. View return policy

Description

Description

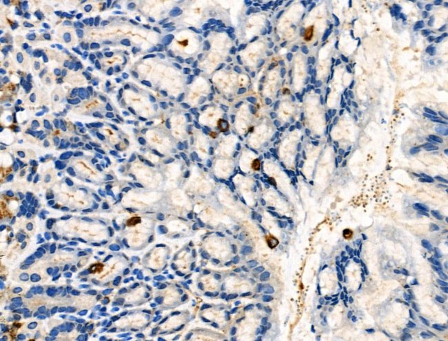
Antibody detects endogenous levels of DOK2 only when phosphorylated at Tyr345.

The protein encoded by this gene is constitutively tyrosine phosphorylated in hematopoietic progenitors isolated from chronic myelogenous leukemia patients in the chronic phase. It may be a critical substrate for p210(bcr/abl), a chimeric protein whose presence is associated with CML. This encoded protein binds p120 from CML cells.
TRUSTED_SUSTAINABILITY
Specifications

Specifications

Phospho-DOK2 (Tyr345)
Polyclonal
Unconjugated
DOK2
docking protein 2; docking protein 2, 56kD; docking protein 2, 56kDa; Dok2; Dok-2; DokR; Dok-R; dok-related protein; Downstream of tyrosine kinase 2; Frip; IL-Four Receptor Interacting Protein; IL-four receptor-interacting protein; LOW QUALITY PROTEIN: docking protein 2; docking protein 2; p56 dok-2; p56(dok-2); p56DOK; p56dok-2
Rabbit
Sequential Chromatography
RUO
13449, 9046
-20°C
Liquid
Immunohistochemistry (Paraffin), Western Blot
1 mg/mL
PBS with 50% glycerol and 0.02% sodium azide; pH 7.4
O60496, O70469
DOK2
A synthesized peptide derived from human DOK2(Accession O60496), corresponding to amino acid residues around phosphorylated Tyr345.
100 μL
Primary
Human, Mouse
Antibody
IgG
Product Suggestions

Product Suggestions

Videos
SDS
Documents

Documents

Certificates
Promotions

Promotions

Product Content Correction

Your input is important to us. Please complete this form to provide feedback related to the content on this product.

Product Title

By clicking Submit, you acknowledge that you may be contacted by Fisher Scientific in regards to the feedback you have provided in this form. We will not share your information for any other purposes. All contact information provided shall also be maintained in accordance with our Privacy Policy.

Thank You! Your feedback has been submitted. Fisher Scientific is always working to improve our content for you. We appreciate your feedback.