missing translation for 'onlineSavingsMsg'
Learn More

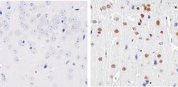
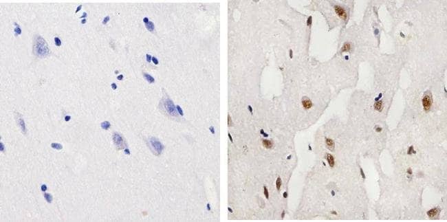
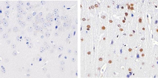
Phospho-CREB (Ser133) Polyclonal Antibody, Invitrogen™

Rabbit Polyclonal Antibody

Brand:  Invitrogen 44298G

Product Code. 10504614

This item is currently unavailable or has been discontinued.
View the product page for possible alternatives.
View alternative products »

This item is not returnable. View return policy

Description

Description

CREB (Cyclic AMP response element binding protein) is a 43 kDa basic/leucine zipper transcription factor that binds the cyclic AMP response element (CRE) and activates transcription in response to a variety of extracellular signals including neurotransmitters, hormones, membrane depolarization, and growth and neurotrophic factors. Activation of CREB is dependent upon the phosphorylation of serine 133. Phosphorylation of CREB occurs via p44/42 MAP kinase and p90RSK, and via p38 MAP kinase and MSK1. Although CREB will bind DNA independent of its phosphorylation state, only the phosphorylated form is competent as a transcription factor. CREB binding protein (CBP), a transcriptional coactivator that directly interacts with CREB, binds to CREB in the region of serine 133. CREB is involved in different cellular processes including the synchronization of circadian rhythmicity, differentiation of adipose cells, and learning and memory. In humans, the gene is located on the q arm of chromosome 2. Diseases associated with CREB dysfunction include Alzheimer’s Disease, histiocytoma and soft tissue melanoma.
TRUSTED_SUSTAINABILITY
Specifications

Specifications

Phospho-CREB (Ser133)
Polyclonal
Dulbecco's PBS with 1mg/mL BSA and 0.05% sodium azide; pH 7.3
P16220, Q01147
CREB1
The antiserum was produced against a chemically synthesized phosphopeptide derived from a region of human CREB that contains serine 133.
100 μL
Primary
Human, Mouse
Antibody
IgG
ChIP Assay, Immunocytochemistry, Immunohistochemistry (Paraffin), Western Blot
Unconjugated
CREB1
2310001E10Rik; 3526402H21Rik; active transcription factor CREB; AV083133; cAMP response element binding protein 1; cAMP responsive element binding protein 1; cAMP-response element-binding protein-1; cAMP-responsive element-binding protein 1; CREB; CREB1; Creb-1; cyclic adenosine 3',5'-monophosphate response element-binding protein CREB; cyclic AMP-responsive element-binding protein 1; htCREB; MGC9284; OTTHUMP00000206661; OTTHUMP00000206662; OTTHUMP00000206667; transactivator protein; Y protein
Rabbit
Antigen affinity chromatography
RUO
12912, 1385
-20°C
Liquid
Product Suggestions

Product Suggestions

Videos
SDS
Documents

Documents

Certificates
Promotions

Promotions

Product Content Correction

Your input is important to us. Please complete this form to provide feedback related to the content on this product.

Product Title

By clicking Submit, you acknowledge that you may be contacted by Fisher Scientific in regards to the feedback you have provided in this form. We will not share your information for any other purposes. All contact information provided shall also be maintained in accordance with our Privacy Policy.

Thank You! Your feedback has been submitted. Fisher Scientific is always working to improve our content for you. We appreciate your feedback.