missing translation for 'onlineSavingsMsg'
Learn More

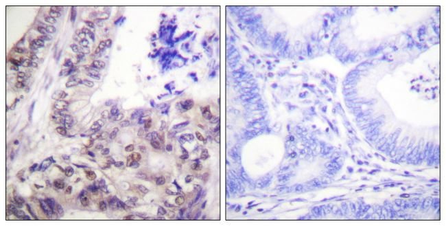
Phospho-Caspase 9 (Ser144) Polyclonal Antibody, Invitrogen™

Rabbit Polyclonal Antibody

Brand:  Invitrogen PA538437

Product Code. 15545361

  • £415.09 / 100µg

Please to purchase this item. Need a web account? Register with us today!

This item is not returnable. View return policy

Description

Description

Caspase 9 (ICE-like apoptotic protease 6, ICE LAP6, apoptotic protease Mch6, apoptotic protease activating factor 3, Apaf3) is a member of the peptidase family C14 that contains a CARD domain. Caspases are cysteine proteases, expressed as inactive precursors, that mediate apoptosis by proteolysis of specific substrates. Caspase 9 is active as a heterotetramer, is present in the cytosol and, upon activation, translocates to the mitochondria. Caspase 9 is involved in the caspase activation cascade responsible for apoptosis execution and cleaves/activates Caspase 3 and Caspase 6. Further, Caspase 9 is involved in the activation cascade of caspases responsible for apoptosis execution. Binding of caspase-9 to Apaf- 1 leads to activation of the protease which then cleaves and activates caspase-3. Caspase 9 promotes DNA damage-induced apoptosis in a ABL1/c-Abl-dependent manner, and proteolytically cleaves poly(ADP- ribose) polymerase (PARP). Caspase 9 is expressed in variety of human tissues. An isoform of rat Caspase-9 has been identified in which the C terminus of full-length Caspase-9 is replaced with an alternative peptide sequence. Mutations in Caspase 9 affect brain development. In mice, insufficient Caspase 9 have resulted in abnormal cerebrum development and neuron development. In humans, dysfunctional Caspase 9 expression vary from tissue to tissue. Low levels of Caspase 9 may play a role in cancer development and neurodegenerative diseases such as Alzheimer’s Disease (AD).
TRUSTED_SUSTAINABILITY
Specifications

Specifications

Phospho-Caspase 9 (Ser144)
Polyclonal
Unconjugated
CASP9
CASP 9, Caspase9, Caspase-9, CASP-9, Apoptotic protease Mch-6, Apoptotic protease-activating factor 3, APAF-3, ICE-like apoptotic protease 6, ICE-LAP6, Caspase-9 subunit p35, Caspase-9 subunit p10, CASP9, MCH6, cas9
Rabbit
Antigen affinity chromatography
RUO
842
-20°C
Liquid
Immunohistochemistry (Paraffin), Western Blot
1 mg/mL
Dulbecco′s PBS with 150mM NaCl, 50% glycerol and 0.02% sodium azide; pH 7.4
P55211
CASP9
A synthetic phosphopeptide derived from human Caspase 9 around the phosphorylation site of Ser144 (L-E-SP-L-R)
100 μg
Primary
Human
Antibody
IgG
Product Suggestions

Product Suggestions

Videos
SDS
Documents

Documents

Certificates
Promotions

Promotions

Product Content Correction

Your input is important to us. Please complete this form to provide feedback related to the content on this product.

Product Title

By clicking Submit, you acknowledge that you may be contacted by Fisher Scientific in regards to the feedback you have provided in this form. We will not share your information for any other purposes. All contact information provided shall also be maintained in accordance with our Privacy Policy.

Thank You! Your feedback has been submitted. Fisher Scientific is always working to improve our content for you. We appreciate your feedback.