missing translation for 'onlineSavingsMsg'
Learn More
Learn More
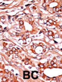
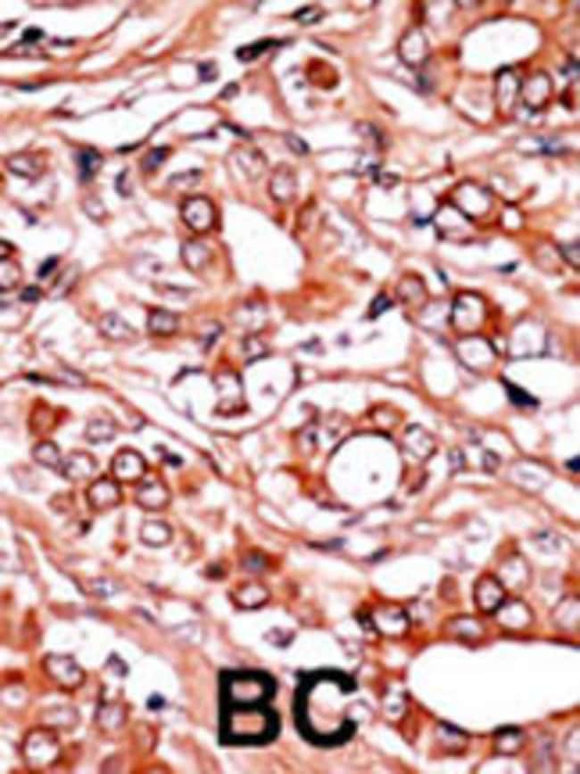
Invitrogen™ Phospho-c-Abl (Tyr134) Polyclonal Antibody

Rabbit Polyclonal Antibody
Brand: Invitrogen™ PA512531
This item is not returnable.
View return policy
Description
This antibody is predicted to react with mouse based on sequence homology.
The ABL1 proto-oncogene encodes a cytoplasmic and nuclear protein tyrosine kinase that has been implicated in processes of cell differentiation, cell division, cell adhesion, and stress response. Activity of c-Abl protein is negatively regulated by its SH3 domain, and deletion of the SH3 domain turns c-Abl into an oncogene. The DNA-binding activity of the ubiquitously expressed ABL1 tyrosine kinase is regulated by CDC2-mediated phosphorylation, suggesting a cell cycle function for c-Abl. In chronic myelogenous leukemia and a subset of acute lymphoblastic leukemias, the c-Abl proto oncogene undergoes a (9;22) chromosomal translocation producing a novel rearranged chromosome (the Philadelphia chromosome). As the result of the fusion of c-Abl sequences from chromosome 9 to the Bcr gene on chromosome 22. The c-Abl oncogene was initially identified as the viral transforming gene of Abelson murine leukemia virus (A-MuLV). c-ABL potentially regulates DNA repair by activating the proapoptotic pathway when the DNA damage is too severe to be repaired.
Specifications
| Phospho-c-Abl (Tyr134) | |
| Polyclonal | |
| PBS with 0.09% sodium azide; pH 7.4 | |
| P00519 | |
| ABL1 | |
| KLH conjugated synthetic phosphopeptide corresponding to amino acid residues surrounding Y134 of human ABL1. | |
| 400 μL | |
| Primary | |
| Human | |
| Antibody | |
| IgG |
| Dot Blot, Immunohistochemistry (Paraffin) | |
| Unconjugated | |
| ABL1 | |
| Abelson murine leukemia oncogene; Abelson murine leukemia viral (v-abl) oncogene homolog 1; abelson murine leukemia viral oncogene homolog 1; Abelson tyrosine-protein kinase 1; Abl; Abl 1 antib; ABL proto-oncogene 1, non-receptor tyrosine kinase; Abl1; ABL2; ABLL; AI325092; ARG; B30; bcr/abl; bcr/c-abl oncogene protein; c-ABL; c-abl oncogene 1, non-receptor tyrosine kinase; c-abl oncogene 1, receptor tyrosine kinase; c-ABL1; E430008G22Rik; JTK7; p150; Proto-oncogene c-Abl; proto-oncogene tyrosine-protein kinase ABL1; RP11-83J21.1; Tyrosine kinase ARG; tyrosine-protein kinase ABL1; v-abl; v-abl Abelson murine leukemia oncogene 1; v-abl Abelson murine leukemia viral oncogene 1; v-abl Abelson murine leukemia viral oncogene homolog 1 | |
| Rabbit | |
| Antigen affinity chromatography, Protein A | |
| RUO | |
| 25 | |
| Store at 4°C short term. For long term storage, store at -20°C, avoiding freeze/thaw cycles. | |
| Liquid |
Product Content Correction
Your input is important to us. Please complete this form to provide feedback related to the content on this product.
Product Title
Spot an opportunity for improvement?Share a Content Correction