missing translation for 'onlineSavingsMsg'
Learn More

Phospho-Aurora A (Ser342) Polyclonal Antibody, Invitrogen™

Product Code. 15585641
Change view
Click to view available options
Quantity:
100 μg
Unit Size:
100µg
1 product options available for selection
Product selection table with 1 available options. Use arrow keys to navigate and Enter or Space to select.
Product Code. Quantity unitSize
15585641 100 μg 100µg
Use arrow keys to navigate between rows. Press Enter or Space to select a product option. 1 options available.
1 options
This item is not returnable. View return policy
Product Code. 15585641 Supplier Invitrogen Supplier No. PA538730

Please to purchase this item. Need a web account? Register with us today!

This item is not returnable. View return policy

Rabbit Polyclonal Antibody

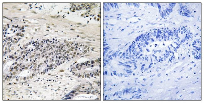
Aurora A is a 46 kDa protein that plays a role in cell cycle regulation during anaphase and/or telophase, in relation to the function of the centrosome/spindle pole region during chromosome segregation. Aurora A plays a key role during tumor development and progression and is overexpressed in many human cancers including breast, ovarian and colorectal. Aurora A is viewed as a potential target for anticancer drug treatment. Tissue specificity: Highly expressed in testis and weakly in skeletal muscle, thymus and spleen. Also highly expressed in colon, ovarian, prostate, neuroblastoma, breast and cervical cancer cell lines. Multiple transcript variants encoding the same protein have been found for this gene. Aurora A plays a key role during tumor development and progression and is overexpressed in many human cancers including breast, ovarian and colorectal.
TRUSTED_SUSTAINABILITY

Specifications

Antigen Phospho-Aurora A (Ser342)
Applications Peptide ELISA
Classification Polyclonal
Concentration 1 mg/mL
Conjugate Unconjugated
Formulation Dulbecco′s PBS with 150mM NaCl, 50% glycerol and 0.02% sodium azide; pH 7.4
Gene AURKA
Gene Accession No. O14965, P97477, P59241
Gene Alias AIK, ARK1, AYK1, Aurora-A, Aurora-family kinase 1, Aurora-related kinase 1, Aurora/IPL1-related kinase 1, BTAK, Breast-tumor-amplified kinase, EC 2.7.11.1, IAK1, Ipl1- and aurora-related kinase 1, STK15, STK6, Serine/threonine kinase 15, Serine/threonine
Gene Symbols AURKA
Host Species Rabbit
Immunogen A synthetic phosphopeptide derived from human AurA around the phosphorylation site of Ser342 (R-I-SP-R-V)
Purification Method Antigen affinity chromatography
Quantity 100 μg
Regulatory Status RUO
Primary or Secondary Primary
Gene ID (Entrez) 20878, 261730, 6790
Target Species Human, Mouse, Rat
Content And Storage -20°C
Product Type Antibody
Form Liquid
Isotype IgG
Show More Show Less
Product Title
Select an issue

By clicking Submit, you acknowledge that you may be contacted by Fisher Scientific in regards to the feedback you have provided in this form. We will not share your information for any other purposes. All contact information provided shall also be maintained in accordance with our Privacy Policy.