missing translation for 'onlineSavingsMsg'
Learn More

Invitrogen™ Phospho-Androgen Receptor (Ser650) Polyclonal Antibody

Rabbit Polyclonal Antibody

Brand:  Invitrogen™ PA537479

Product Code. 15554421

  • £440.00 / 100µL

Please to purchase this item. Need a web account? Register with us today!

This item is not returnable. View return policy

Description

Description

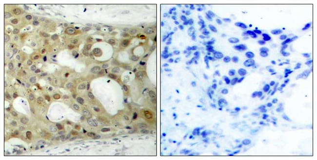
A suggested positive control for Western blot is 293 cells; suggested positive control for IHC is human breast carcinoma.

The androgen receptor (AR) is a member of the steroid-hormone receptor superfamily of nuclear receptors. The receptor is more than 90 kDa and has three major functional domains: the N-terminal domain, DNA-binding domain, and the androgen-binding domain. The androgen receptor is a ligand-activated transcription factor that binds active testosterone (T) and dihydrotestosterone (DHT). Upon binding the hormone ligand, the receptor dissociates from accessory proteins, translocates into the nucleus, dimerizes, and then stimulates transcription of androgen responsive genes. The AR signaling pathway plays a key role in development and function of male reproductive organs, including the prostate and epididymis.AR also plays a role in nonreproductive organs, such as muscle, hair follicles, and brain.Androgen Receptor is a phosphoprotein, and also regulates mitogen-activated protein kinase (MAP kinase). The inhibition of the MEK1/2 pathway correlates directly with a change in phosphorylation state of the androgen receptor. Abnormalities in the AR signaling pathway have been linked to a number of diseases, including prostate cancer, Kennedy's disease, and male infertility. Mutations in this gene are associated with complete androgen insensitivity (CAIS).
TRUSTED_SUSTAINABILITY
Specifications

Specifications

Phospho-Androgen Receptor (Ser650)
Polyclonal
Unconjugated
AR
AIS; Andr; androgen nuclear receptor variant 2; androgen receptor; androgen receptor (Testicular feminization), same as Tfm; androgen receptor splice variant 4b; Ar; AR8; AR-A; AW320017; DHTR; dihydrotestosterone receptor; HUMARA; HYSP1; KD; NR3C4; Nuclear receptor subfamily 3 group C member 4; RP11-383C12.1; SBMA; SMAX1; TFM; Variant AR45
Rabbit
Antigen affinity chromatography
RUO
367
Store at 4°C short term. For long term storage, store at -20°C, avoiding freeze/thaw cycles.
Liquid
Immunohistochemistry (Paraffin)
1 mg/mL
PBS with 50% glycerol and 0.02% sodium azide; pH 7.4
P10275
AR
Peptide sequence around phosphorylation site of serine 650 (T-T-S(p)-P-T) derived from Human Androgen Receptor.
100 μL
Primary
Human
Antibody
IgG
Product Suggestions

Product Suggestions

Videos
SDS
Documents

Documents

Certificates
Promotions

Promotions

Product Content Correction

Your input is important to us. Please complete this form to provide feedback related to the content on this product.

Product Title

By clicking Submit, you acknowledge that you may be contacted by Fisher Scientific in regards to the feedback you have provided in this form. We will not share your information for any other purposes. All contact information provided shall also be maintained in accordance with our Privacy Policy.

Thank You! Your feedback has been submitted. Fisher Scientific is always working to improve our content for you. We appreciate your feedback.