missing translation for 'onlineSavingsMsg'
Learn More
Learn More
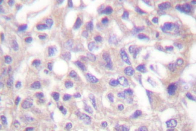
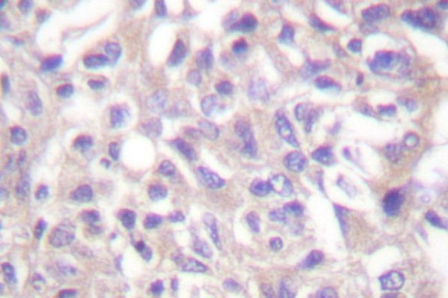
Invitrogen™ Phospho-alpha Adducin (Thr445) Polyclonal Antibody

Description
This antibody detects endogenous protein at a molecular weight of 81 kDa. Purity is >95% by SDS-PAGE.
Adducins are a family of cytoskeleton proteins encoded by three genes (alpha, beta, gamma). Adducin is a heterodimeric protein that consists of related subunits, which are produced from distinct genes but share a similar structure. Alpha- and beta-adducin include a protease-resistant N-terminal region and a protease-sensitive, hydrophilic C-terminal region. Alpha- and gamma-adducins are ubiquitously expressed. In contrast, beta-adducin is expressed at high levels in brain and hematopoietic tissues. Adducin binds with high affinity to Ca(2+)/calmodulin and is a substrate for protein kinases A and C. Alternative splicing results in multiple variants encoding distinct isoforms; however, not all variants have been fully described.
Specifications
Specifications
| Antigen | Phospho-alpha Adducin (Thr445) |
| Applications | Immunohistochemistry (Paraffin), Western Blot |
| Classification | Polyclonal |
| Concentration | 1 mg/mL |
| Conjugate | Unconjugated |
| Formulation | PBS with 50% glycerol and 0.02% sodium azide; pH 7.2 |
| Gene | ADD1 |
| Gene Accession No. | P35611, Q63028, Q9QYC0 |
| Gene Alias | Add1; ADD2; ADDA; ADDB; adducin 1; adducin 1 (alpha); Adducin beta; Adducin1; Adducin-1; Adducin-alpha; Adducin-beta; AI256389; Alpha adducin; alpha-ADD; alpha-adducin; beta Adducin; Beta-adducin; erythrocyte adducin alpha subunit; erythrocyte adducin subunit alpha |
| Gene Symbols | ADD1 |
| Show More |
Product Title
By clicking Submit, you acknowledge that you may be contacted by Fisher Scientific in regards to the feedback you have provided in this form. We will not share your information for any other purposes. All contact information provided shall also be maintained in accordance with our Privacy Policy.
Spot an opportunity for improvement?