missing translation for 'onlineSavingsMsg'
Learn More

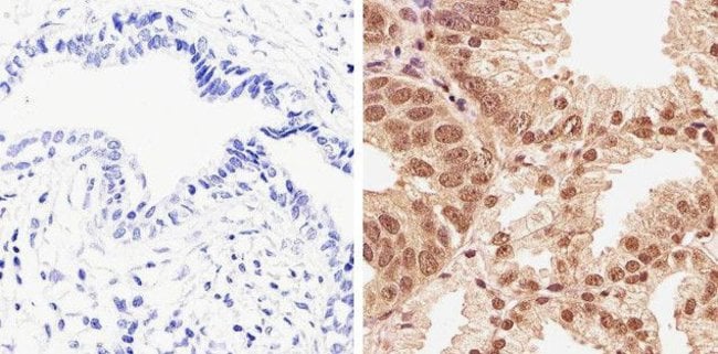
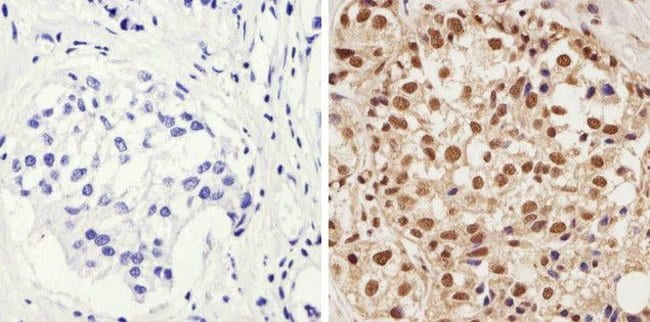
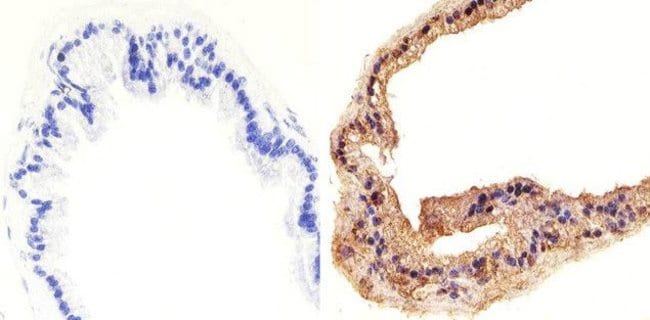
Invitrogen™ Phospho-AKT1 (Thr308) Polyclonal Antibody

Rabbit Polyclonal Antibody

Brand:  Invitrogen™ 44602G

Product Code. 10756463

  • £438.00 / 100µL

Please to purchase this item. Need a web account? Register with us today!


For Research Use Only. All usage must comply with product instructions.
 
This item is not returnable. View return policy

Description

Description

Phospho-AKT1 (Thr308) Polyclonal Antibody for Flow, IHC (P), Western Blot

AKT1 (PKB alpha) is a serine/threonine kinase that regulates cell survival. The activated enzyme inhibits apoptosis and stimulates cell cycle progression by phosphorylating numerous targets in various cell types, including cancer cells. This protein kinase is activated by insulin, PI3K, IGF1 and various other growth and survival factors. Akt promotes cell survival by inhibiting apoptosis through phosphorylation and inactivation of several targets, including forkhead transcription factors, and caspase-9. The AKT pathway is a major target for cancer drug discovery.
TRUSTED_SUSTAINABILITY
Specifications

Specifications

Phospho-AKT1 (Thr308)
Polyclonal
Dulbecco's PBS with 1mg/mL BSA and 0.05% sodium azide; pH 7.3
P31749, P31750
AKT1
The antiserum was produced against a chemically synthesized phosphopeptide derived from the region of human Akt1 that contains threonine 308. The sequence is conserved among multiple species including mouse and rat Akt1 and Akt2.
100 μL
Primary
Human, Mouse
Antibody
IgG
Flow Cytometry, Immunohistochemistry (Paraffin), Western Blot
Unconjugated
AKT1
Akt; Akt kinase; AKT serine/threonine kinase 1; Akt/PKB; akt1; AKT1 kinase; AKT1m; Akt1m protein; Akt1-PA; Akt1-PB; Akt1-PC; Akt1-PD; Akt1-PE; CAKT; C-AKT; CG4006; CG4006-PA; CG4006-PB; CG4006-PC; CG4006-PD; CG4006-PE; CWS6; dAkt; D-Akt; dAkt kinase; dAKT/dPKB; dAkt/PKB; DAKT1; DAKT1/PKB; Dmel\CG4006; Dmel_CG4006; dPKB; DRAC-PK; DRAC-PK66; DRAC-PK85; l(3)04226; l(3)89Bq; murine thymoma viral (v-akt) oncogene homolog 1; pAkt; P-AKT; PKB; PKB alpha; PKB beta; PKB gamma; PKB/AKT; PKB/dAKT; PKBalpha; PKB-ALPHA; PKBG; PRKBA; protein kinase B; Protein kinase B alpha; protein kinase B-alpha; proto-oncogene c-Akt; RAC; rac protein kinase alpha; RAC protein kinase alpha RAC-PK alpha; RAC serine/threonine protein kinase; RAC serine/threonine-protein kinase; RAC-ALPHA; RAC-alpha serine/threonine-protein kinase; RacPK; RAC-PK-alpha; RAC-PK-beta; RAC-PK-gamma; related to A and C kinases; related to PKA to PKC protein kinases; related to the A and C kinases; SD10374p; serine/threonine protein kinase; serine-threonine protein kinase; Thymoma viral proto-oncogene; thymoma viral proto-oncogene 1; v-akt murine thymoma viral oncogene homolog 1; v-akt murine thymoma viral oncogene-like protein 1
Rabbit
Antigen affinity chromatography
RUO
11651, 207
-20°C
Liquid
Product Suggestions

Product Suggestions

Videos
SDS
Documents

Documents

Certificates
Promotions

Promotions

Product Content Correction

Your input is important to us. Please complete this form to provide feedback related to the content on this product.

Product Title

By clicking Submit, you acknowledge that you may be contacted by Fisher Scientific in regards to the feedback you have provided in this form. We will not share your information for any other purposes. All contact information provided shall also be maintained in accordance with our Privacy Policy.

Thank You! Your feedback has been submitted. Fisher Scientific is always working to improve our content for you. We appreciate your feedback.