missing translation for 'onlineSavingsMsg'
Learn More

Invitrogen™ Phospho-AKT1/AKT2/AKT3 (Ser473) Recombinant Rabbit Monoclonal Antibody (PSH04-44)

Product Code. 30276557
Change view
Click to view available options
Quantity:
100 μL
Unit Size:
100µL
1 product options available for selection
Product selection table with 1 available options. Use arrow keys to navigate and Enter or Space to select.
Product Code. Quantity unitSize
30276557 100 μL 100µL
Use arrow keys to navigate between rows. Press Enter or Space to select a product option. 1 options available.
1 options
This item is not returnable. View return policy
Product Code. 30276557 Supplier Invitrogen™ Supplier No. MA556569

Please to purchase this item. Need a web account? Register with us today!

This item is not returnable. View return policy

Rabbit Recombinant Monoclonal Antibody

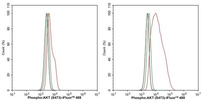
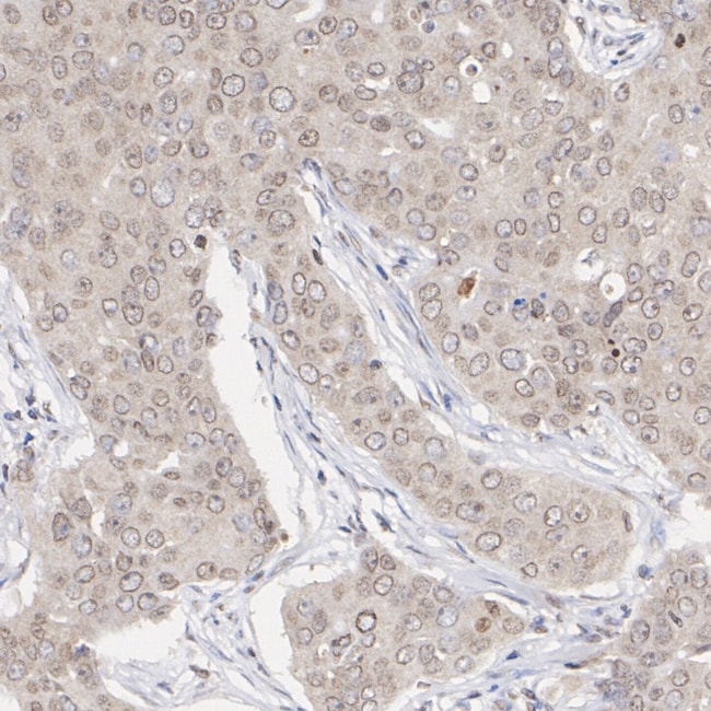
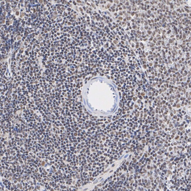
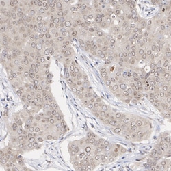
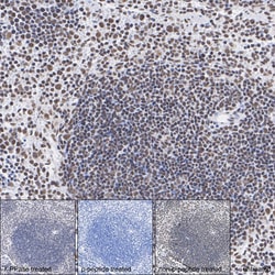
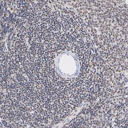
Phospho-AKT1/AKT2/AKT3 (Ser473) Recombinant Monoclonal Antibody for Western Blot, IHC (P), Flow

AKT also known as protein kinase B (PKB) or RAS-alpha, is an ubiquitous serine/threonine kinase that plays an important role in diverse biological responses such as regulation of metabolism, cell survival and growth by phosphorylating multiple proteins. This protein kinase is activated by insulin, PI3K, IGF1 and various other growth and survival factors. Akt promotes cell survival by inhibiting apoptosis through phosphorylation and inactivation of several targets, including forkhead transcription factors, and caspase-9. The AKT pathway is a major target for cancer drug discovery.
TRUSTED_SUSTAINABILITY

Specifications

Antigen Phospho-AKT1/AKT2/AKT3 (Ser473)
Applications Flow Cytometry, Immunohistochemistry (Paraffin), Western Blot
Classification Recombinant Monoclonal
Clone PSH04-44
Concentration 1 mg/mL
Conjugate Unconjugated
Formulation PBS with 0.1% BSA, 40% glycerol and 0.05% sodium azide; pH 7.4
Gene AKT1
Gene Accession No. P31749, P31750, P31751, P47196, P47197, Q60823, Q63484, Q9WUA6, Q9Y243
Gene Alias 2410016A19Rik; AI851531; akt; Akt kinase; AKT serine/threonine kinase 1; AKT serine/threonine kinase 2; AKT serine/threonine kinase 3; Akt/PKB; Akt1; AKT1 kinase; AKT1m; Akt1m protein; Akt1-PA; Akt1-PB; Akt1-PC; Akt1-PD; Akt1-PE; Akt2; AKT2 kinase; AKT3; AKT3 kinase; akt3a; AW554154; bovine protein kinase B; cb945; CG4006; CG4006-PA; CG4006-PB; CG4006-PC; CG4006-PD; CG4006-PE; CWS6; D930002M15Rik; DAKT; D-Akt; dAkt kinase; dAKT/dPKB; dAkt/PKB; DAKT1; DAKT1/PKB; DKFZp434N0250; Dmel\CG4006; Dmel_CG4006; DPKB; DRAC-PK; DRAC-PK66; DRAC-PK85; HIHGHH; kinase Akt1; l(3)04226; l(3)89Bq; MGC99656; MPPH; MPPH2; murine thymoma viral (v-akt) homolog-2; murine thymoma viral (v-akt) oncogene homolog 1; murine thymoma viral (v-akt) oncogene homolog 2; Nmf350; pAkt; P-AKT; pan akt; PKB; PKB alpha; PKB beta; PKB gamma; PKB/Akt; PKB/dAKT; PKBalpha; PKB-ALPHA; PKBB; PKBbeta; Pkbg; PKBgamma; PKB-GAMMA; PRKBA; PRKBB; PRKBG; Protein kinase Akt-2; protein kinase Akt-3; Protein kinase B; protein kinase B alpha; Protein kinase B beta; protein kinase B gamma; protein kinase B, beta; protein kinase B, gamma; protein kinase B-alpha; protein kinase; AKT1; proto-oncogene c-AKT; putative v-akt murine thymoma viral oncoprotein 2; RAC; rac protein kinase alpha; RAC protein kinase alpha RAC-PK alpha; rac protein kinase beta; RAC protein kinase beta RAC-PK beta; RAC serine/threonine protein kinase; RAC serine/threonine-protein kinase; RAC-ALPHA; RAC-alpha serine/threonine-protein kinase; RAC-BETA; RAC-beta serine/threonine protein kinase; RAC-beta serine/threonine-protein kinase; RAC-gamma; RAC-gamma serine/threonine protein kinase; RAC-gamma serine/threonine-protein kinase; RacPK; RAC-PK-alpha; RAC-PK-beta; RAC-PK-gamma; related to A and C kinases; related to PKA to PKC protein kinases; related to the A and C kinases; SD10374p; serine/threonine protein kinase; serine-threonine protein kinase; si:ch211-221n23.2; STK-2; Thymoma viral proto-oncogene; thymoma viral proto-oncogene 1; thymoma viral proto-oncogene 2; thymoma viral proto-oncogene 3; v-akt murine thymoma viral oncogene 3; v-akt murine thymoma viral oncogene homolog 1; v-akt murine thymoma viral oncogene homolog 2; v-akt murine thymoma viral oncogene homolog 3; v-akt murine thymoma viral oncogene homolog 3 (protein kinase B, gamma); v-akt murine thymoma viral oncogene homolog 3a; v-akt murine thymoma viral oncogene-like 1; v-akt murine thymoma viral oncogene-like 3; v-akt murine thymoma viral oncogene-like protein 1
Gene Symbols AKT1, Akt2, Akt3
Host Species Rabbit
Immunogen Synthetic phosphopeptide corresponding to residues surrounding Ser473 of human Akt1.
Purification Method Protein A
Quantity 100 μL
Regulatory Status RUO
Primary or Secondary Primary
Gene ID (Entrez) 10000, 11651, 11652, 207, 208, 23797, 24185, 25233, 29414
Target Species Human, Mouse, Rat
Content And Storage Store at 4°C short term. For long term storage, store at -20°C, avoiding freeze/thaw cycles.
Product Type Antibody
Form Liquid
Isotype IgG
Show More Show Less
Product Title
Select an issue

By clicking Submit, you acknowledge that you may be contacted by Fisher Scientific in regards to the feedback you have provided in this form. We will not share your information for any other purposes. All contact information provided shall also be maintained in accordance with our Privacy Policy.