missing translation for 'onlineSavingsMsg'
Learn More

Invitrogen™ Phospho-AKT Pan (Tyr315, Tyr316, Tyr312) Polyclonal Antibody

Rabbit Polyclonal Antibody

Brand:  Invitrogen™ PA537814

Product Code. 15554751

  • £436.00 / 100µL

Please to purchase this item. Need a web account? Register with us today!

This item is not returnable. View return policy

Description

Description

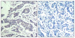
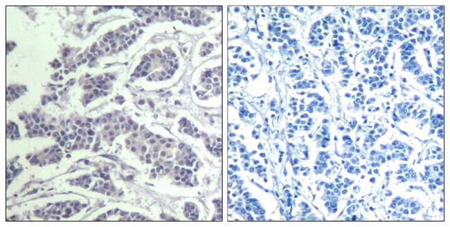
A suggested positive control for Western blot is HepG2 cells; suggested positive control for IHC is human breast carcinoma; suggested positive control for ICC/IF is Hela cells.

AKT also known as protein kinase B (PKB) or RAS-alpha, is an ubiquitous serine/threonine kinase that plays an important role in diverse biological responses such as regulation of metabolism, cell survival and growth by phosphorylating multiple proteins. This protein kinase is activated by insulin, PI3K, IGF1 and various other growth and survival factors. Akt promotes cell survival by inhibiting apoptosis through phosphorylation and inactivation of several targets, including forkhead transcription factors, and caspase-9. The AKT pathway is a major target for cancer drug discovery.
TRUSTED_SUSTAINABILITY
Specifications

Specifications

Phospho-AKT Pan (Tyr315, Tyr316, Tyr312)
Polyclonal
Unconjugated
AKT1
2410016A19Rik; AI851531; akt; Akt kinase; AKT serine/threonine kinase 1; AKT serine/threonine kinase 2; AKT serine/threonine kinase 3; Akt/PKB; Akt1; AKT1 kinase; AKT1m; Akt1m protein; Akt1-PA; Akt1-PB; Akt1-PC; Akt1-PD; Akt1-PE; Akt2; AKT2 kinase; AKT3; AKT3 kinase; akt3a; AW554154; bovine protein kinase B; cb945; CG4006; CG4006-PA; CG4006-PB; CG4006-PC; CG4006-PD; CG4006-PE; CWS6; D930002M15Rik; DAKT; D-Akt; dAkt kinase; dAKT/dPKB; dAkt/PKB; DAKT1; DAKT1/PKB; DKFZp434N0250; Dmel\CG4006; Dmel_CG4006; DPKB; DRAC-PK; DRAC-PK66; DRAC-PK85; HIHGHH; kinase Akt1; l(3)04226; l(3)89Bq; MGC99656; MPPH; MPPH2; murine thymoma viral (v-akt) homolog-2; murine thymoma viral (v-akt) oncogene homolog 1; murine thymoma viral (v-akt) oncogene homolog 2; Nmf350; pAkt; P-AKT; pan akt; PKB; PKB alpha; PKB beta; PKB gamma; PKB/Akt; PKB/dAKT; PKBalpha; PKB-ALPHA; PKBB; PKBbeta; Pkbg; PKBgamma; PKB-GAMMA; PRKBA; PRKBB; PRKBG; Protein kinase Akt-2; protein kinase Akt-3; Protein kinase B; protein kinase B alpha; Protein kinase B beta; protein kinase B gamma; protein kinase B, beta; protein kinase B, gamma; protein kinase B-alpha; protein kinase; AKT1; proto-oncogene c-AKT; putative v-akt murine thymoma viral oncoprotein 2; RAC; rac protein kinase alpha; RAC protein kinase alpha RAC-PK alpha; rac protein kinase beta; RAC protein kinase beta RAC-PK beta; RAC serine/threonine protein kinase; RAC serine/threonine-protein kinase; RAC-ALPHA; RAC-alpha serine/threonine-protein kinase; RAC-BETA; RAC-beta serine/threonine protein kinase; RAC-beta serine/threonine-protein kinase; RAC-gamma; RAC-gamma serine/threonine protein kinase; RAC-gamma serine/threonine-protein kinase; RacPK; RAC-PK-alpha; RAC-PK-beta; RAC-PK-gamma; related to A and C kinases; related to PKA to PKC protein kinases; related to the A and C kinases; SD10374p; serine/threonine protein kinase; serine-threonine protein kinase; si:ch211-221n23.2; STK-2; Thymoma viral proto-oncogene; thymoma viral proto-oncogene 1; thymoma viral proto-oncogene 2; thymoma viral proto-oncogene 3; v-akt murine thymoma viral oncogene 3; v-akt murine thymoma viral oncogene homolog 1; v-akt murine thymoma viral oncogene homolog 2; v-akt murine thymoma viral oncogene homolog 3; v-akt murine thymoma viral oncogene homolog 3 (protein kinase B, gamma); v-akt murine thymoma viral oncogene homolog 3a; v-akt murine thymoma viral oncogene-like 1; v-akt murine thymoma viral oncogene-like 3; v-akt murine thymoma viral oncogene-like protein 1
Rabbit
Antigen affinity chromatography
RUO
10000, 11651, 11652, 207, 208, 23797, 24185, 25233, 29414
Store at 4°C short term. For long term storage, store at -20°C, avoiding freeze/thaw cycles.
Liquid
Immunohistochemistry (Paraffin), Western Blot, Immunocytochemistry
1 mg/mL
PBS with 50% glycerol and 0.02% sodium azide; pH 7.4
P31749, P31750, P31751, P47196, P47197, Q60823, Q63484, Q9WUA6, Q9Y243
AKT1, Akt2, Akt3
Peptide sequence around phosphorylation site of tyrosine 315/316/312 (P-E-Y(p)-L-A) derived from Human AKT1/AKT2/AKT3.
100 μL
Primary
Human, Mouse, Rat
Antibody
IgG
Product Suggestions

Product Suggestions

Videos
SDS
Documents

Documents

Certificates
Promotions

Promotions

Product Content Correction

Your input is important to us. Please complete this form to provide feedback related to the content on this product.

Product Title

By clicking Submit, you acknowledge that you may be contacted by Fisher Scientific in regards to the feedback you have provided in this form. We will not share your information for any other purposes. All contact information provided shall also be maintained in accordance with our Privacy Policy.

Thank You! Your feedback has been submitted. Fisher Scientific is always working to improve our content for you. We appreciate your feedback.