missing translation for 'onlineSavingsMsg'
Learn More
Learn More
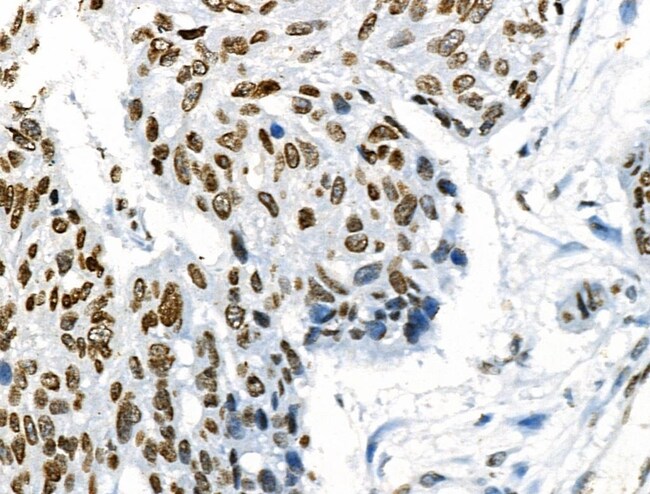
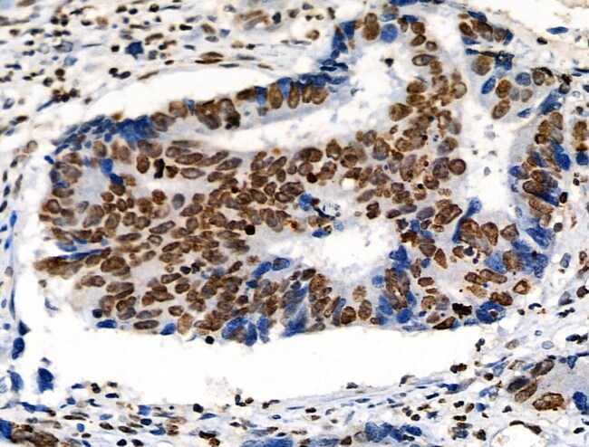
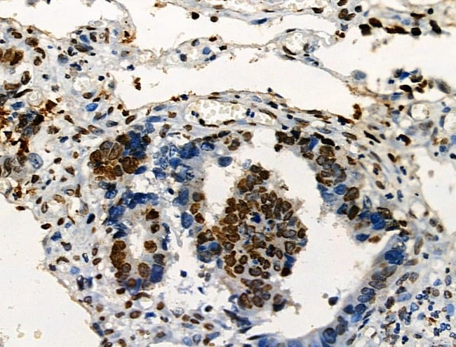
Invitrogen™ Phospho-ABI1 (Tyr213) Polyclonal Antibody

Rabbit Polyclonal Antibody
Brand: Invitrogen™ PA5106073
This item is not returnable.
View return policy
Description
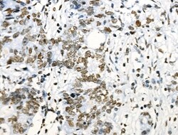
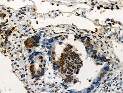
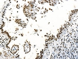
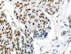
Antibody detects endogenous levels of Abi 1 only when phosphorylated at Tyr213.
This gene encodes a member of the DEAD box protein family. DEAD box proteins, characterized by the conserved motif Asp-Glu-Ala-Asp (DEAD), are putative RNA helicases. They are implicated in a number of cellular processes involving alteration of RNA secondary structure such as translation initiation, nuclear and mitochondrial splicing, and ribosome and spliceosome assembly. Based on their distribution patterns, some members of this family are believed to be involved in embryogenesis, spermatogenesis, and cellular growth and division. The nucleolar protein encoded by this gene interacts in a hormone-dependent manner with nuclear receptors, and represses their transcriptional activity. Alternative splice variants that encode different isoforms have been found for this gene.
Specifications
| Phospho-ABI1 (Tyr213) | |
| Polyclonal | |
| Unconjugated | |
| ABI1 | |
| abelson interactor 1; Abi1; Abi-1; Abl interactor 1; abl-binding protein 4; AblBP4; abl-interactor 1; Abl-interactor protein 1 long; Ablphilin-1; E3b1; EL2; eps8 binding protein; eps8 binding protein (e3B1), alternatively spliced; eps8 SH3 domain-binding protein; Eps8-binding protein; HPP; HS3; interactor protein AblBP4; LOW QUALITY PROTEIN: abl interactor 1; NAP1; nap1 binding protein; Nap1-binding protein; Nap1BP; spectrin SH3 domain binding protein 1; spectrin SH3 domain-binding protein 1; SPH3; SPTA; SSH3BP; Ssh3bp1 | |
| Rabbit | |
| Sequential Chromatography | |
| RUO | |
| 10006, 11308, 79249 | |
| -20°C | |
| Liquid |
| Immunohistochemistry (Paraffin), Western Blot | |
| 1 mg/mL | |
| PBS with 50% glycerol and 0.02% sodium azide; pH 7.4 | |
| Q8CBW3, Q8IZP0, Q9QZM5 | |
| ABI1 | |
| A synthesized peptide derived from human ABI1(Accession Q8IZP0), corresponding to amino acid residues around phosphorylated Tyr213. | |
| 100 μL | |
| Primary | |
| Human, Mouse, Rat | |
| Antibody | |
| IgG |
Product Content Correction
Your input is important to us. Please complete this form to provide feedback related to the content on this product.
Product Title
Spot an opportunity for improvement?Share a Content Correction