missing translation for 'onlineSavingsMsg'
Learn More
Learn More
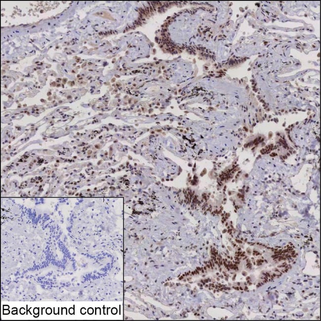
Invitrogen™ PHF12 Recombinant Mouse Monoclonal Antibody (K8U017_20C4)

Description
Immunogen sequence: RSASKTELKA IAHARILERR ASRPGTPTSS ASTETPTSEQ NDVDEDIIDV DEEPVAAEPD YVQPQLRRPF ELLIAAAMER NPTQFQLPNE LTCTTALPGS SKRRRKEETT GKNVKKTQHE LDHNGLVPLP Highest antigen sequence identity to the following orthologs: Mouse - 97%, Pig - 99%, Cynomolgus monkey - 99%.
Acts as a transcriptional repressor. Involved in recruitment of functional SIN3A complexes to DNA. Represses transcription at least in part through the activity of an associated histone deacetylase (HDAC). May also repress transcription in a SIN3A-independent manner through recruitment of functional TLE5 complexes to DNA. [UniProt].
Specifications
Specifications
| Antigen | PHF12 |
| Applications | Immunohistochemistry (Paraffin) |
| Classification | Recombinant Monoclonal |
| Clone | K8U017_20C4 |
| Concentration | 1 mg/mL |
| Conjugate | Unconjugated |
| Formulation | PBS with 50% glycerol, 0.5% BSA and 0.09% sodium azide |
| Gene | PHF12 |
| Gene Accession No. | Q96QT6 |
| Gene Alias | 2410142K10Rik; F630045O13; KIAA1523; mKIAA1523; Pf1; PHD factor 1; PHD finger protein 12; PHD zinc finger transcription factor; phf12; PHF12 (HGNC:20816) |
| Show More |
Product Title
By clicking Submit, you acknowledge that you may be contacted by Fisher Scientific in regards to the feedback you have provided in this form. We will not share your information for any other purposes. All contact information provided shall also be maintained in accordance with our Privacy Policy.
Spot an opportunity for improvement?