missing translation for 'onlineSavingsMsg'
Learn More
Learn More
Invitrogen™ PHC1 Polyclonal Antibody

Rabbit Polyclonal Antibody
Brand: Invitrogen™ PA552370
This item is not returnable.
View return policy
Description
Immunogen sequence: LNQSQAQMYL RPQLGNLLQV NRTLGRNVPL ASQLILMPNG AVAAVQQEVP SAQSPGVHAD ADQVQNLAVR NQQASAQGPQ MQGS Highest antigen sequence identity to the following orthologs: Mouse - 98%, Rat - 96%.
Polycomb group (PcG) proteins assemble into multimeric protein complexes, which are involved in maintaining the transcriptional repressive state of genes throughout development. PHC1 (polyhomeotic homolog 1), also known as EDR1, HPH1 or RAE28, is a 1,004 amino acid nuclear protein that is a component of the PcG multiprotein PRC1 complex. Specifically, the PcG PRC1 complex modifies histones, remodels chromatin and mediates monoubiquination of Histone H2A. Other constituent proteins involved in the PcG PRC1 complex are Mel-18, Bmi-1, M33, MPc2, MPc3, RING1, Ring1b, as well as several others. Existing as a homodimer, PHC1 contains one FCS-type zinc finger and a SAM (sterile alpha motif) domain. PHC1 is encoded by a gene located on human chromosome 12, which encodes over 1,100 genes and comprises approximately 4.5% of the human genome.
Specifications
| PHC1 | |
| Polyclonal | |
| Unconjugated | |
| PHC1 | |
| AW557034; DKFZp686A1782; early development regulator 1 (homolog of polyhomeotic 1); early development regulator1 (homolog of polyhomeotic 1); early development regulatory protein 1; Edr; Edr1; hPH1; MCPH11; Mph1; PH1; Phc1; polyhomeotic homolog 1; polyhomeotic homolog 1 (Drosophila); polyhomeotic-like 1; polyhomeotic-like 1 (Drosophila); polyhomeotic-like protein 1; RAE28; RAE-28 | |
| Rabbit | |
| Antigen affinity chromatography | |
| RUO | |
| 1911 | |
| Store at 4°C short term. For long term storage, store at -20°C, avoiding freeze/thaw cycles. | |
| Liquid |
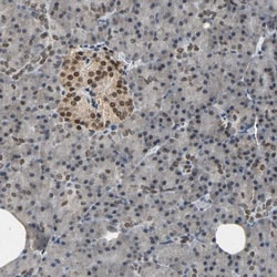
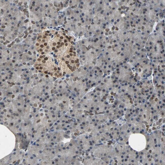
| Immunohistochemistry (Paraffin), Immunocytochemistry | |
| 0.2 mg/mL | |
| PBS with 40% glycerol and 0.02% sodium azide; pH 7.2 | |
| P78364 | |
| PHC1 | |
| Recombinant protein corresponding to Human PHC1. Recombinant protein control fragment (Product #RP-89502). | |
| 100 μL | |
| Primary | |
| Human | |
| Antibody | |
| IgG |
Product Content Correction
Your input is important to us. Please complete this form to provide feedback related to the content on this product.
Product Title
Spot an opportunity for improvement?Share a Content Correction