missing translation for 'onlineSavingsMsg'
Learn More
Learn More
Invitrogen™ PFKM Polyclonal Antibody

Rabbit Polyclonal Antibody
Brand: Invitrogen™ PA598050
This item is not returnable.
View return policy
Description
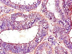
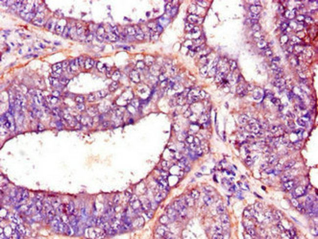
PFKM Polyclonal Antibody for Western Blot, ICC/IF, IHC (P), ELISA
Tight junctions represent one mode of cell-to-cell adhesion in epithelial or endothelial cell sheets, forming continuous seals around cells and serving as a physical barrier to prevent solutes and water from passing freely through the paracellular space. The protein encoded by this immunoglobulin superfamily gene member is localized in the tight junctions between high endothelial cells. Unlike other proteins in this family, the this protein is unable to adhere to leukocyte cell lines and only forms weak homotypic interactions. The encoded protein is a member of the junctional adhesion molecule protein family and acts as a receptor for another member of this family.
Specifications
| PFKM | |
| Polyclonal | |
| Unconjugated | |
| PFKM | |
| 6-phosphofructo-1-kinase; 6-phosphofructokinase type A; 6-phosphofructokinase, muscle type; AI131669; ATP-dependent 6-phosphofructokinase, muscle type; ATP-dependent 6-phosphofructokinase, muscle type {ECO:0000255; ATP-PFK; ATP-PFK {ECO:0000255; GSD7; HAMAP-Rule:MF_03184}; PFK; PFK1; PFK-1; Pfk4; Pfk-4; Pfka; PFK-A; PFKM; Pfk-m; PFKX; Phosphofructo-1-kinase isozyme A; phosphofructokinase 1; phosphofructokinase 4; phosphofructokinase M variant 3/4; phosphofructokinase muscle; phosphofructokinase, muscle; phosphofructokinase, polypeptide X; phosphofructokinase-1 A isozyme; phosphofructokinase-A; phosphofructokinase-M; phosphofructokinase-M (connecting peptide); phosphohexokinase; phosphohexokinase {ECO:0000255; PPP1R122; protein phosphatase 1, regulatory subunit 122 | |
| Rabbit | |
| Protein G | |
| RUO | |
| 18642, 5213 | |
| -20°C or -80°C if preferred | |
| Liquid |
| ELISA, Immunohistochemistry (Paraffin), Western Blot, Immunocytochemistry | |
| 5 mg/mL | |
| PBS with 50% glycerol and 0.03% ProClin 300; pH 7.4 | |
| P08237, P47857 | |
| PFKM | |
| Recombinant Human ATP-dependent 6-phosphofructokinase, muscle type protein (166-334AA). | |
| 100 μg | |
| Primary | |
| Human, Mouse | |
| Antibody | |
| IgG |
Product Content Correction
Your input is important to us. Please complete this form to provide feedback related to the content on this product.
Product Title
Spot an opportunity for improvement?Share a Content Correction