missing translation for 'onlineSavingsMsg'
Learn More

Peroxiredoxin 4 Antibody, Novus Biologicals™

Rabbit Polyclonal Antibody

Brand:  Novus Biologicals NBP2-99498-50ul

 View more versions of this product

Product Code. 18679845

  • £169.00 / 50µL

Please to purchase this item. Need a web account? Register with us today!

This item is not returnable. View return policy

Description

Description

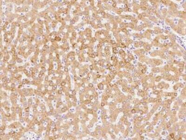
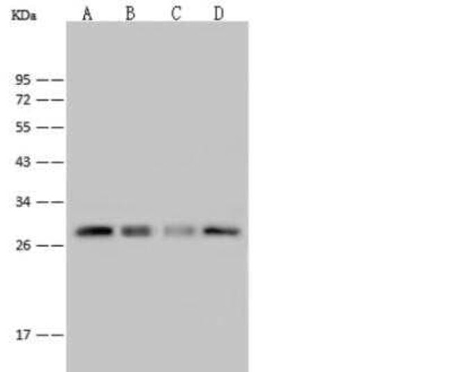
Peroxiredoxin 4 Polyclonal antibody specifically detects Peroxiredoxin 4 in Human samples. It is validated for Western Blot, Immunocytochemistry/ Immunofluorescence, Immunoprecipitation, Immunohistochemistry (Paraffin)
TRUSTED_SUSTAINABILITY
Specifications

Specifications

Peroxiredoxin 4
Polyclonal
Western Blot 1:500-1:2000, Immunocytochemistry/ Immunofluorescence 1:300-1:10000, Immunoprecipitation 1-5uL/mg of lysate, Immunohistochemistry-Paraffin 1:500-1:2000
Antioxidant enzyme AOE372, AOE37-2PRX-4, EC 1.11.1.15, peroxiredoxin 4, Peroxiredoxin IV, peroxiredoxin-4, prx4, prx-4, Prx-IV, thioredoxin peroxidase (antioxidant enzyme), Thioredoxin peroxidase AO372, Thioredoxin-dependent peroxide reductase A0372
Produced in rabbits immunized with a synthetic peptide corresponding to the center region of the Human Peroxiredoxin 4.
50 μg
Signal Transduction
10549
Store at 4°C short term. Aliquot and store at -20°C long term. Avoid freeze-thaw cycles.
IgG
Western Blot, Immunofluorescence, Immunoprecipitation, Immunohistochemistry (Paraffin)
Unconjugated
0.2 um filtered solution in PBS
Rabbit
Antigen and protein A Affinity-purified
RUO
Primary
Human
Purified
Product Suggestions

Product Suggestions

Videos
SDS
Documents

Documents

Certificates
Promotions

Promotions

Product Content Correction

Your input is important to us. Please complete this form to provide feedback related to the content on this product.

Product Title

By clicking Submit, you acknowledge that you may be contacted by Fisher Scientific in regards to the feedback you have provided in this form. We will not share your information for any other purposes. All contact information provided shall also be maintained in accordance with our Privacy Policy.

Thank You! Your feedback has been submitted. Fisher Scientific is always working to improve our content for you. We appreciate your feedback.