missing translation for 'onlineSavingsMsg'
Learn More

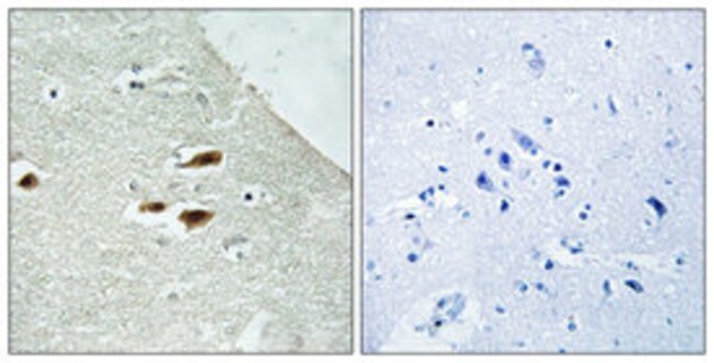
PER2 (phospho S662) Rabbit anti-Human, Mouse, Polyclonal , Abnova™

Rabbit polyclonal antibody raised against synthetic phosphopeptide of human PER2.

Brand:  Abnova PAB29636.100uL

Product Code. 16254350

  • £349.00 / 100µL

Please to purchase this item. Need a web account? Register with us today!

This item is not returnable. View return policy

Description

Description

This gene is a member of the Period family of genes and is expressed in a circadian pattern in the suprachiasmatic nucleus, the primary circadian pacemaker in the mammalian brain. Genes in this family encode components of the circadian rhythms of locomotor activity, metabolism, and behavior. Circadian expression in the suprachiasmatic nucleus continues in constant darkness, and a shift in the light/dark cycle evokes a proportional shift of gene expression in the suprachiasmatic nucleus. The specific function of this gene is not yet known. [provided by RefSeq]

Specifications

Specifications

PER2 (phospho S662)
Polyclonal
Rabbit polyclonal antibody raised against synthetic phosphopeptide of human PER2.
In PBS (without Mg2+ and Ca2+), 150 mM NaCl, pH 7.4 (50% glycerol, 0.02% sodium azide)
PER2
Synthetic phosphopeptide (conjugated with KLH) corresponding to residues surrounding S662 of human PER2.
100 μL
Primary
PER2 (phospho S662) polyclonal antibody detects endogenous levels of human PER2 only when phosphorylated at serine 662.
Store at -20°C.
Aliquot to avoid repeated freezing and thawing.
Immunohistochemistry (PFA fixed), Western Blot
Unconjugated
Immunohistochemistry (1:50-1:100) Western Blot (1:500-1:3000) The optimal working dilution should be determined by the end user.
FASPS/KIAA0347
Rabbit
Affinity chromatography
RUO
8864
Human, Mouse
Liquid
Product Suggestions

Product Suggestions

Videos
SDS
Documents

Documents

Certificates
Promotions

Promotions

Product Content Correction

Your input is important to us. Please complete this form to provide feedback related to the content on this product.

Product Title

By clicking Submit, you acknowledge that you may be contacted by Fisher Scientific in regards to the feedback you have provided in this form. We will not share your information for any other purposes. All contact information provided shall also be maintained in accordance with our Privacy Policy.

Thank You! Your feedback has been submitted. Fisher Scientific is always working to improve our content for you. We appreciate your feedback.