missing translation for 'onlineSavingsMsg'
Learn More
Learn More
Invitrogen™ PEDF Monoclonal Antibody (C3)

Mouse Monoclonal Antibody
Brand: Invitrogen™ MA541660
This item is not returnable.
View return policy
Description
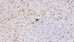
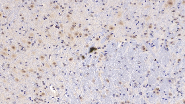
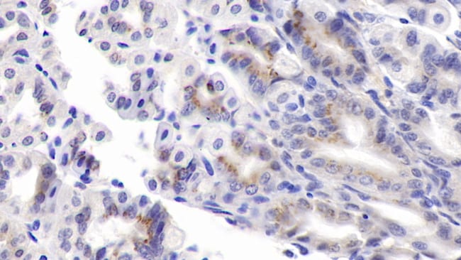
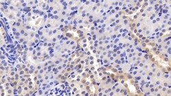
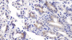
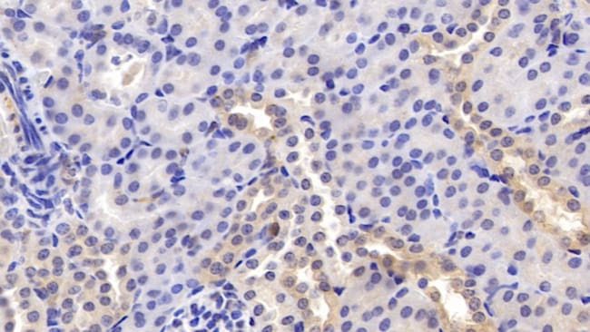
PEDF Monoclonal Antibody for Western Blot, IHC (P)
PEDF is a noninhibitory serpin with neurotrophic, anti-angiogenic, and anti-tumorigenic properties. It is a 50 kDa glycoprotein produced and secreted in many tissues throughout the body. A major component of the anti-angiogenic action of PEDF is the induction of apoptosis in proliferating endothelial cells. In addition, PEDF is able to inhibit the activity of angiogenic factors, such as VEGF and FGF-2. The neuroprotective effects of PEDF are achieved through suppression of neuronal apoptosis induced by peroxide, glutamate, or other neurotoxins. The recent identification of a lipase-linked cell membrane receptor for PEDF (PEDF-R) that binds to PEDF with high affinity (1) should facilitate further elucidation of the underlying mechanisms of this pluripotent serpin. To date, PEDF-R is the only signaling receptor known to be used by a serpin family member. The unique range of PEDF activities implicate it as a potential therapeutic agent for the treatment of vasculature-related neurodegenerative diseases, such as age-related macular degeneration (AMD) and proliferative diabetic retinopathy (PDR). PEDF also has the potential to be useful in the treatment of various angiogenesis-related diseases including a number of cancers.
Specifications
| PEDF | |
| Monoclonal | |
| 1 mg/mL | |
| PBS with 50% glycerol and 0.05% ProClin 300; pH 7.4 | |
| P36955, P97298 | |
| SERPINF1 | |
| Recombinant protein Pigment Epithelium Derived Factor. The antigen corresponds to amino acid range 19-417 of the target protein. | |
| 200 μL | |
| Primary | |
| Human, Mouse, Rat | |
| Antibody | |
| IgG2b κ |
| Immunohistochemistry (Paraffin), Western Blot, Western Blot | |
| C3 | |
| Unconjugated | |
| SERPINF1 | |
| AI195227; alpha-2 antiplasmin; caspin; Cell proliferation-inducing gene 35 protein; Dmrs91; EPC 1; EPC1; EPC-1; OI12; OI6; PEDF; Pedfl; PIG 35; PIG35; pigment epithelium derived factor; pigment epithelium-derived factor; Sdf3; SDF-3; serine (or cysteine) peptidase inhibitor, clade F, member 1; serine (or cysteine) proteinase inhibitor, clade F (alpha-2 antiplasmin, pigment epithelium derived factor), member 1; serine (or cysteine) proteinase inhibitor, clade F), member 1; serine (or cysteine) proteinase inhibitor, clade F, member 1; serpin F1; serpin family F member 1; serpin peptidase inhibitor, clade F (alpha-2 antiplasmin, pigment epithelium derived factor), member 1; serpin peptidase inhibitor, clade F, member 1; SERPINF 1; Serpinf1; serpin-F1; sserpin family F member 1; stromal cell derived factor 3; stromal cell-derived factor 3; testis tissue sperm-binding protein Li 70n | |
| Mouse | |
| Protein A/G | |
| RUO | |
| 20317, 287526, 5176 | |
| Store at 4°C short term. For long term storage, store at -20°C, avoiding freeze/thaw cycles. | |
| Liquid |
Product Content Correction
Your input is important to us. Please complete this form to provide feedback related to the content on this product.
Product Title
Spot an opportunity for improvement?Share a Content Correction