missing translation for 'onlineSavingsMsg'
Learn More

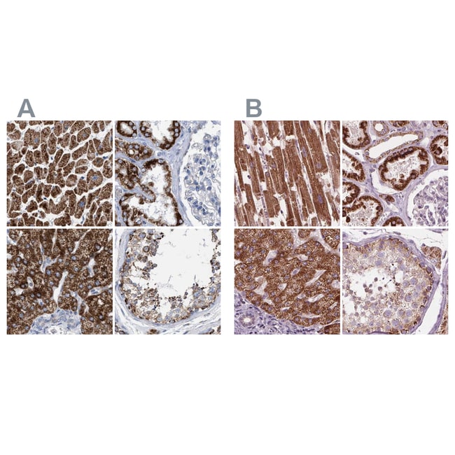
Invitrogen™ PECI Polyclonal Antibody

Rabbit Polyclonal Antibody

Brand:  Invitrogen™ PA582790

Product Code. 16399744

  • £443.00 / 100µL

Please to purchase this item. Need a web account? Register with us today!

This item is not returnable. View return policy

Description

Description

Immunogen sequence: SLPKEAARQN YVDLVSSLSP SLESSSQVEP GTDRKSTGFE TLVVTSEDGI TKIMFNRPKK KNAINTEMYH EIMRALKAAS KDDSIITVLT GNGDYYSSGN DLTNFTDIP Highest antigen sequence indentity to the following orthologs: Mouse - 64%, Rat - 67%.

PECI is an auxiliary enzyme that catalyzes an isomerization step required for the beta-oxidation of unsaturated fatty acids.
TRUSTED_SUSTAINABILITY
Specifications

Specifications

PECI
Polyclonal
Unconjugated
ECI2
ACBD2; acyl-Coenzyme A binding domain containing 2; D3,D2-enoyl-CoA isomerase; DBI-related protein 1; delta(3),delta(2)-enoyl-CoA isomerase; Diazepam-binding inhibitor-related protein 1; dJ1013A10.3; Dodecenoyl-CoA isomerase; Drs1; DRS-1; Eci2; enoyl-CoA delta isomerase 2; enoyl-CoA delta isomerase 2, mitochondrial; enoyl-Coenzyme A delta isomerase 2; Hca88; Hepatocellular carcinoma-associated antigen 88; PECI; Peroxisomal 3,2-trans-enoyl-CoA isomerase; peroxisomal 3,2-trans-enoyl-CoA isomerase; enoyl-CoA delta isomerase 2, mitochondrial; peroxisomal D3,D2-enoyl-CoA isomerase; peroxisomal delta3, delta2-enoyl-Coenzyme A isomerase; renal carcinoma antigen NY-REN-1; testicular secretory protein Li 33
Rabbit
Antigen affinity chromatography
RUO
10455
Store at 4°C short term. For long term storage, store at -20°C, avoiding freeze/thaw cycles.
Liquid
Immunohistochemistry (Paraffin), Western Blot, Immunocytochemistry
0.2 mg/mL
PBS with 40% glycerol and 0.02% sodium azide; pH 7.2
O75521
ECI2
Recombinant protein corresponding to Human ECI2. Recombinant protein control fragment (Product #RP-88810).
100 μL
Primary
Human
Antibody
IgG
Product Suggestions

Product Suggestions

Videos
SDS
Documents

Documents

Certificates
Promotions

Promotions

Product Content Correction

Your input is important to us. Please complete this form to provide feedback related to the content on this product.

Product Title

By clicking Submit, you acknowledge that you may be contacted by Fisher Scientific in regards to the feedback you have provided in this form. We will not share your information for any other purposes. All contact information provided shall also be maintained in accordance with our Privacy Policy.

Thank You! Your feedback has been submitted. Fisher Scientific is always working to improve our content for you. We appreciate your feedback.