missing translation for 'onlineSavingsMsg'
Få mere at vide

Invitrogen™ PDP1 Polyclonal Antibody

Rabbit Polyclonal Antibody

Brand:  Invitrogen™ PA553815

Artikelnummer. 15741751

  • £467.00 / 100µL

Please to purchase this item. Need a web account? Register with us today!

Denne vare kan ikke returneres. Se returpolicy

Beskrivelse

Beskrivelse

Immunogen sequence: YLTPPQVNSI LKANEYSFKV PEFDGKNVSS ILGFDSNQLP ANAPIEDRRS AATCLQTRGM LLGVFDGHAG CACSQ Highest antigen sequence identity to the following orthologs: Mouse - 100%, Rat - 100%.

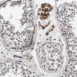
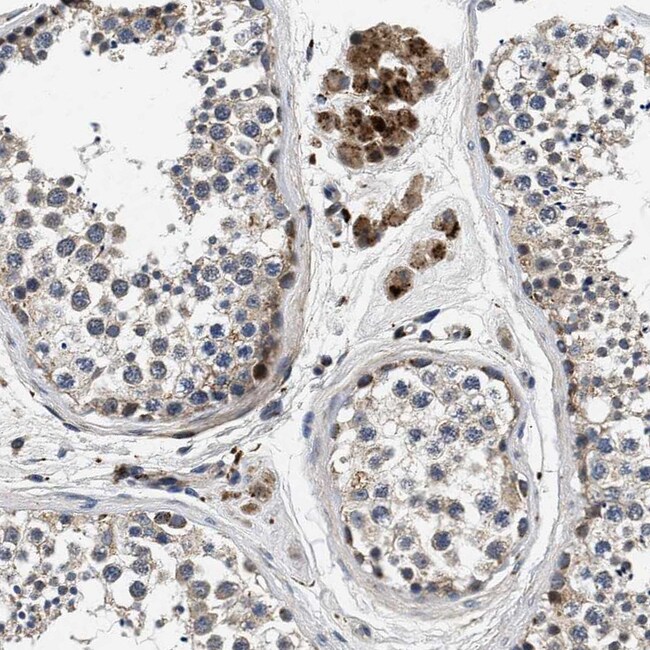
PDP1 is a Pyruvate dehydrogenase and helps catalyze phosphorylation of serine residues of E1 to inactivate the E1 component and inhibit the complex. Pyruvate dehydrogenase phosphatases catalyze the dephosphorylation and activation of the E1 component to reverse the effects of pyruvate dehydrogenase kinases. Pyruvate dehydrogenase phosphatase is a heterodimer consisting of catalytic and regulatory subunits.
TRUSTED_SUSTAINABILITY
Tekniske data

Tekniske data

PDP1
Polyclonal
Unconjugated
PDP1
[Pyruvate dehydrogenase [acetyl-transferring]]-phosphatase 1, mitochondrial; FLJ32517; FLJ56179; Gm1024; MGC119646; PDH; PDP; PDP 1; PDP1; PDPC; PDPC 1; PPM2A; Ppm2c; Protein phosphatase 2C; protein phosphatase 2C, magnesium dependent, catalytic subunit; protein phosphatase 2C, magnesium-dependent, catalytic subunit; protein phosphatase, Mg2+/Mn2+ dependent 2A; pyruvate dehydrogenase; pyruvate dehydrogenase (Lipoamide) phosphatase-phosphatase; pyruvate dehydrogenase phosphatase catalytic subunit 1; pyruvate dehydrogenase phosphatase isoenzyme 1; pyruvate dehydrogenase phosphatase isoenzyme 2; pyruvate dehydrogenase phosphatase, catalytic subunit 1; pyruvate dehyrogenase phosphatase catalytic subunit 1
Rabbit
Antigen affinity chromatography
RUO
54704
Store at 4°C short term. For long term storage, store at -20°C, avoiding freeze/thaw cycles.
Liquid
Immunohistochemistry (Paraffin), Western Blot
0.10 mg/mL
PBS with 40% glycerol and 0.02% sodium azide; pH 7.2
Q9P0J1
PDP1
Recombinant protein corresponding to Human PDP1. Recombinant protein control fragment (Product #RP-91576).
100 μL
Primary
Human
Antibody
IgG
Produktforslag

Produktforslag

Videoer
SDS
Dokumenter

Dokumenter

Produktcertifikater
Kampagner

Kampagner

Korrektion af produktindhold

Dit input er vigtigt for os. Udfyld denne formular for at give feedback relateret til indholdet på dette produkt.

Produkttitel

Ved at klikke på Send, anerkender du, at du kan blive kontaktet af Fisher Scientific med hensyn til den feedback, du har givet i denne formular. Vi deler ikke dine oplysninger til andre formål. Alle angivne kontaktoplysninger skal også vedligeholdes i overensstemmelse med vores Privatlivspolitik.

Mange tak! Din feedback er blevet sendt. Hos Fisher Scientific arbejder vi altid på at forbedre vores indhold for dig. Vi sætter pris på din feedback.