missing translation for 'onlineSavingsMsg'
Learn More

PDI Polyclonal Antibody, Invitrogen™

Rabbit Polyclonal Antibody

Brand:  Invitrogen PA585950

Product Code. 16372855

This item is currently unavailable or has been discontinued.
View the product page for possible alternatives.
View alternative products »

This item is not returnable. View return policy

Description

Description

Rabbit Polyclonal Antibody

Protein disulfide isomerase (PDI) is a multifunctional protein that catalyzes the formation, breakage and rearrangement of disulfide bonds. At the cell surface, the protein seems to act as a reductase that cleaves disulfide bonds of proteins attached to the cell. It may therefore cause structural modifications of exofacial proteins. Inside the cell, PDI seems to form/rearrange disulfide bonds of nascent proteins. At high concentrations, it functions as a chaperone that inhibits aggregation of misfolded proteins. At low concentrations, it facilitates aggregation (anti-chaperone activity). PDI may be involved with other chaperones in the structural modification of the TG precursor in hormone biogenesis. It also acts a structural subunit of various enzymes such as prolyl 4-hydroxylase and microsomal triacylglycerol transfer protein MTTP. Receptor for LGALS9; the interaction retains P4HB at the cell surface of Th2 T helper cells, increasing disulfide reductase activity at the plasma membrane, altering the plasma membrane redox state and enhancing cell migration.
TRUSTED_SUSTAINABILITY
Specifications

Specifications

PDI
Polyclonal
Unconjugated
P4hb
1810041F13Rik; AI661267; CaO19.12595; cellular thyroid hormone binding protein; cellular thyroid hormone-binding protein; CLCRP1; collagen prolyl 4-hydroxylase beta; DSI; Endoplasmic reticulum resident protein 59; Eps1p; ER protein 59; ERBA2L; ERp59; GIT; glutathione-insulin transhydrogenase; I79_002399; LOW QUALITY PROTEIN: protein disulfide-isomerase A2; MFP1; P4HB; p4hb.L; P4Hbeta; p55; p58; Pancreas-specific protein disulfide isomerase; pancreatic protein disulfide isomerase; PDA2; PDI; PDI (E.C.5.3.4.1); PDI1; PDI1P; Pdia1; pdia2; pdia2.L; PDIP; Pdipl; PDIR; PHDB; PO4DB; PO4HB; procollagen-proline, 2-oxoglutarate 4-dioxygenase (proline 4-hydroxylase), beta polypeptide; PROHB; prolyl 4-hydroxylase beta polypeptide; Prolyl 4-hydroxylase subunit beta; prolyl 4-hydroxylase subunit beta L homeolog; prolyl 4-hydroxylase subunit beta L homeolog; prolyl 4-hydroxylase, beta polypeptide L homeolog; prolyl 4-hydroxylase, beta polypeptide; prolyl 4-hydroxylase, beta subunit; protein disulfide isomerase; protein disulfide isomerase (pancreas) like; Protein disulfide isomerase (Prolyl 4-hydroxylase, beta polypeptide); protein disulfide isomerase A2; protein disulfide isomerase associated 2; protein disulfide isomerase family A member 2; protein disulfide isomerase family A member 2 L homeolog; protein disulfide isomerase family A, member 1; protein disulfide isomerase family A, member 2; protein disulfide isomerase PDI1; protein disulfide isomerase, pancreatic; protein disulfide isomerase/oxidoreductase; protein disulfide isomerase-associated 1; protein disulfide isomerase-associated 2; protein disulfide-isomerase; Protein disulfide-isomerase A2; protocollagen hydroxylase; Rho GDP dissociation inhibitor gamma; testicular secretory protein Li 32; Thbp; Thioredoxin-related glycoprotein 1; thyroid hormone-binding protein p55; TRG1; XELAEV_18043753mg; XELAEV_18045582mg; XPDIp; YCL043C; YCL313; YCL43C
Rabbit
Antigen affinity chromatography
RUO
18453, 25506, 5034
Store at 4°C short term. For long term storage, store at -20°C, avoiding freeze/thaw cycles.
Liquid
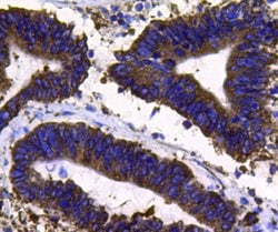
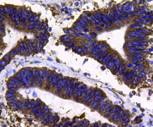
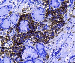
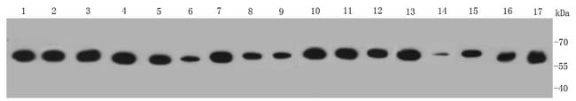
Immunocytochemistry, Immunohistochemistry, Western Blot
1 mg/mL
PBS with 0.2% BSA, 40% Glycerol and 0.05% sodium azide; pH 7.4
P04785, P07237, P09103
P4hb
Synthetic peptide within residues of PDI aa 476-525
100 μL
Primary
Human, Mouse, Rat
Antibody
IgG
Product Suggestions

Product Suggestions

Videos
SDS
Documents

Documents

Certificates
Promotions

Promotions

Product Content Correction

Your input is important to us. Please complete this form to provide feedback related to the content on this product.

Product Title

By clicking Submit, you acknowledge that you may be contacted by Fisher Scientific in regards to the feedback you have provided in this form. We will not share your information for any other purposes. All contact information provided shall also be maintained in accordance with our Privacy Policy.

Thank You! Your feedback has been submitted. Fisher Scientific is always working to improve our content for you. We appreciate your feedback.