Learn More
Invitrogen™ PDHA1 Recombinant Rabbit Monoclonal Antibody (JF996-0)

Rabbit Recombinant Monoclonal Antibody
Brand: Invitrogen™ MA532545
Description
Recombinant rabbit monoclonal antibodies are produced using in vitro expression systems. The expression systems are developed by cloning in the specific antibody DNA sequences from immunoreactive rabbits. Then, individual clones are screened to select the best candidates for production. The advantages of using recombinant rabbit monoclonal antibodies include: better specificity and sensitivity, lot-to-lot consistency, animal origin-free formulations, and broader immunoreactivity to diverse targets due to larger rabbit immune repertoire.
The pyruvate dehydrogenase (PDH) complex is a nuclear-encoded mitochondrial multienzyme complex that catalyzes the overall conversion of pyruvate to acetyl-CoA and CO(2), and provides the primary link between glycolysis and the tricarboxylic acid (TCA) cycle. The PDH complex is composed of multiple copies of three enzymatic components: pyruvate dehydrogenase (E1), dihydrolipoamide acetyltransferase (E2) and lipoamide dehydrogenase (E3). The E1 enzyme is a heterotetramer of two alpha and two beta subunits. This gene encodes the E1 alpha 1 subunit containing the E1 active site, and plays a key role in the function of the PDH complex. Mutations in this gene are associated with pyruvate dehydrogenase E1-alpha deficiency and X-linked Leigh syndrome. Alternatively spliced transcript variants encoding different isoforms have been found for this gene.
Specifications
| PDHA1 | |
| Recombinant Monoclonal | |
| 1 mg/mL | |
| TBS with 0.05% BSA, 40% Glycerol and 0.05% sodium azide; pH 7.4 | |
| P08559, P26284, P35486 | |
| PDHA1 | |
| Synthetic peptide within Human PDHA1 aa 100-145. | |
| 100 μL | |
| Primary | |
| Human, Mouse, Rat | |
| Antibody | |
| IgG |
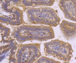
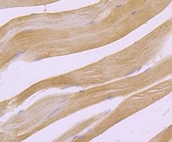
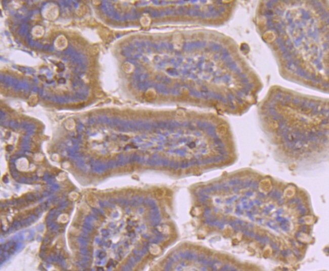
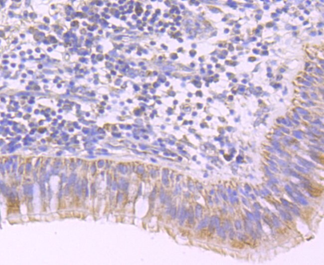
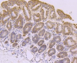
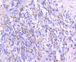
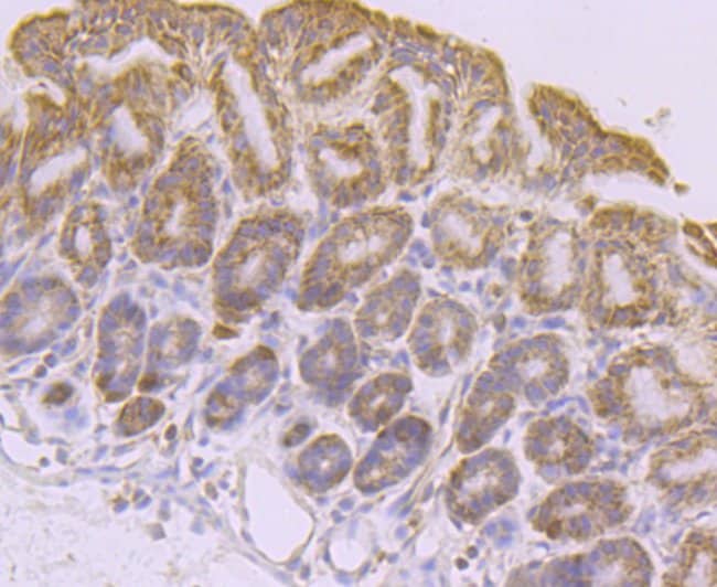
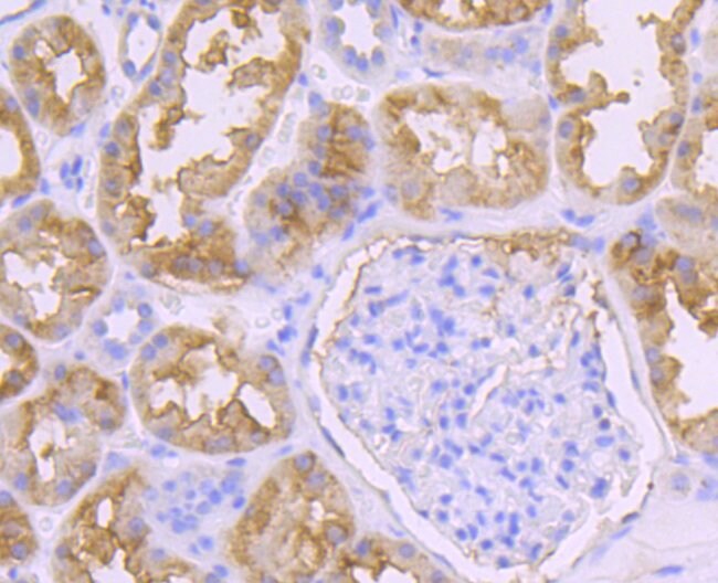
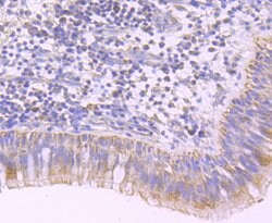
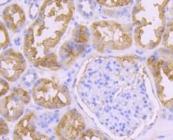
| Flow Cytometry, Immunohistochemistry (Paraffin), Western Blot, Immunocytochemistry, Western Blot | |
| JF996-0 | |
| Unconjugated | |
| PDHA1 | |
| PDHA; PDHA1; Pdha-1; PDHAD; PDHCE1A; PDHE1-A type I; PHE1A; pyruvate dehydrogenase; pyruvate dehydrogenase (lipoamide) alpha 1; pyruvate dehydrogenase alpha 1; pyruvate dehydrogenase complex, E1-alpha polypeptide 1; pyruvate dehydrogenase E1 alpha 1; pyruvate dehydrogenase E1 alpha 1 subunit; pyruvate dehydrogenase E1 component alpha subunit; pyruvate dehydrogenase E1 component alpha subunit precursor; pyruvate dehydrogenase E1 component subunit alpha, somatic form, mitochondrial; pyruvate dehydrogenase E1 subunit; pyruvate dehydrogenase E1 subunit alpha 1; pyruvate dehydrogenase E1alpha subunit | |
| Rabbit | |
| Protein A | |
| RUO | |
| 18597, 29554, 5160 | |
| Store at 4°C short term. For long term storage, store at -20°C, avoiding freeze/thaw cycles. | |
| Liquid |
Your input is important to us. Please complete this form to provide feedback related to the content on this product.