missing translation for 'onlineSavingsMsg'
Learn More
Learn More
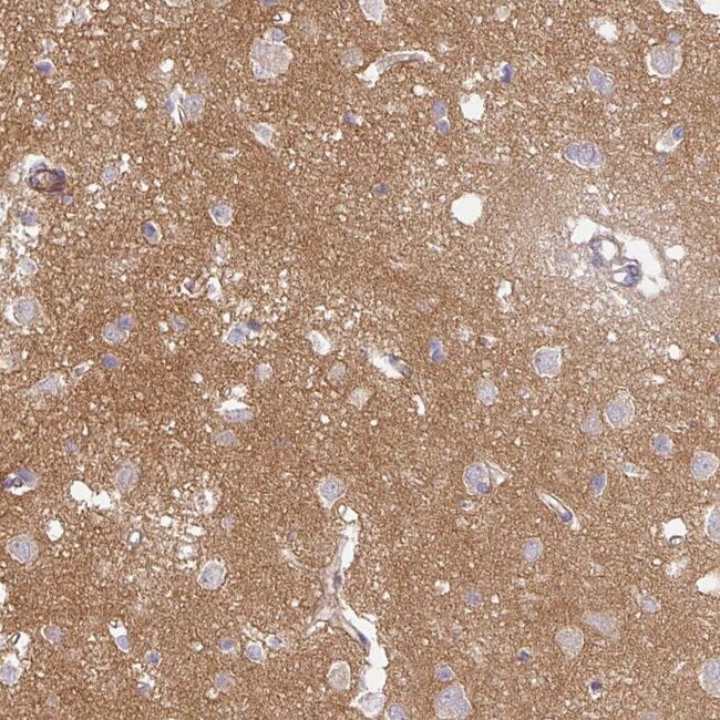
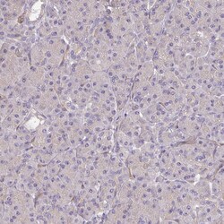
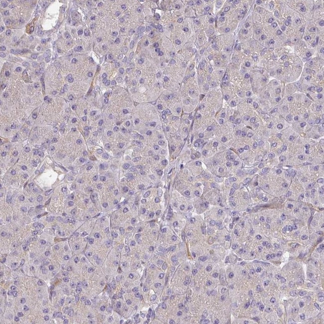
Invitrogen™ PCDH1 Polyclonal Antibody

Rabbit Polyclonal Antibody
Brand: Invitrogen™ PA584011
This item is not returnable.
View return policy
Description
Immunogen sequence: TRVVYKVPEE QPPNTLIGSL AADYGFPDVG HLYKLEVGAP YLRVDGKTGD IFTTETSIDR EGLRECQNQL PGDPCILEFE VSITDLVQN Highest antigen sequence indentity to the following orthologs: Mouse - 96%, Rat - 94%.
Protocadherin 1, also known as PCDH1 and cadherin-like protein 1, is a transmembrane protein involved in cell-cell adhesion. Protocadherin 1 belongs to a group of cadherin-like proteins termed delta1-protocadherins, which consists of protocadherin-1, -7, -9, and -11(X/Y). The delta1-protocadherins have seven extracellular cadherin-repeats, a transmembrane domain, and a cytoplasmic domain, and can be expressed in two isoforms, short or long. Expression of protocadherin 1 is regulated both temporally and spatially, and plays a role both in early development and mature tissues. In mice, it is expressed in a number of tissues and organs, including the brain, spinal cord, peripheral ganglia, inner ear, hair follicles, kidney, reproductive organs, prostate, and the seminal gland. Notably, protocadherin 1 is a susceptibility gene for Bronchial Hyperresponsiveness in humans. Expression of protocadherin 1 has also been identified on human pluripotent stem cells.
Specifications
| PCDH1 | |
| Polyclonal | |
| Unconjugated | |
| PCDH1 | |
| 2010005A06Rik; AI585920; cadherin-like 1; cadherin-like protein 1; PC42; PCDH1; PCDH42; protocadherin 1; protocadherin 1 (cadherin-like 1); protocadherin 42; protocadherin-1; Protocadherin-42 | |
| Rabbit | |
| Antigen affinity chromatography | |
| RUO | |
| 5097 | |
| Store at 4°C short term. For long term storage, store at -20°C, avoiding freeze/thaw cycles. | |
| Liquid |
| Immunohistochemistry (Paraffin) | |
| 0.05 mg/mL | |
| PBS with 40% glycerol and 0.02% sodium azide; pH 7.2 | |
| Q08174 | |
| PCDH1 | |
| Recombinant protein corresponding to Human PCDH1. Recombinant protein control fragment (Product #RP-98501). | |
| 100 μL | |
| Primary | |
| Human | |
| Antibody | |
| IgG |
Product Content Correction
Your input is important to us. Please complete this form to provide feedback related to the content on this product.
Product Title
Spot an opportunity for improvement?Share a Content Correction