missing translation for 'onlineSavingsMsg'
Learn More

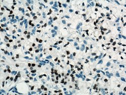
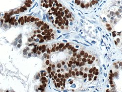
PAX8 Mouse anti-Human, Clone: 4H7B3, Proteintech

Mouse Monoclonal Antibody

Brand:  Proteintech 60145-4-IG-20UL

 View more versions of this product

Product Code. 16847115

  • £135.00 / 20µL

Please to purchase this item. Need a web account? Register with us today!

This item is not returnable. View return policy

Description

Description

This gene encodes a member of the paired box family of transcription factors. Members of this gene family typically encode proteins that contain a paired box domain, an octapeptide, and a paired-type homeodomain. This nuclear protein is involved in thyroid follicular cell development and expression of thyroid-specific genes. Mutations in this gene have been associated with thyroid dysgenesis, thyroid follicular carcinomas and atypical follicular thyroid adenomas. Alternatively spliced transcript variants encoding different isoforms have been described.
Specifications

Specifications

PAX8
Monoclonal
1 mg/mL
PBS with 50% glycerol and 0.1% sodium azide; pH 7.3
Q06710
PAX8
PAX8 Fusion Protein Ag0306
20 μL
Primary
Human
Antibody
IgG2b
Immunohistochemistry (Paraffin), Western Blot
4H7B3
Unconjugated
PAX8
paired box 8, Paired box protein Pax 8, PAX8
Mouse
Protein A
RUO
7849
-20°C
Liquid
Product Suggestions

Product Suggestions

Videos
SDS
Documents

Documents

Certificates
Promotions

Promotions

Product Content Correction

Your input is important to us. Please complete this form to provide feedback related to the content on this product.

Product Title

By clicking Submit, you acknowledge that you may be contacted by Fisher Scientific in regards to the feedback you have provided in this form. We will not share your information for any other purposes. All contact information provided shall also be maintained in accordance with our Privacy Policy.

Thank You! Your feedback has been submitted. Fisher Scientific is always working to improve our content for you. We appreciate your feedback.