missing translation for 'onlineSavingsMsg'
Learn More

PA28 Activator beta Subunit/PSME2 Antibody (1G4), Novus Biologicals™

Product Code. 18326598 Shop All Bio Techne Products
Change view
Click to view available options
Quantity:
0.1 mg
Unit Size:
0.01mg
1 product options available for selection
Product selection table with 1 available options. Use arrow keys to navigate and Enter or Space to select.
Product Code. Quantity unitSize
18326598 0.1 mg 0.01mg
Use arrow keys to navigate between rows. Press Enter or Space to select a product option. 1 options available.
1 options
This item is not returnable. View return policy
Product Code. 18326598 Supplier Novus Biologicals Supplier No. H00005721M02

Please to purchase this item. Need a web account? Register with us today!

This item is not returnable. View return policy

Mouse Monoclonal Antibody

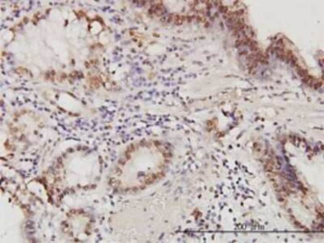
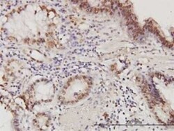
PA28 Activator beta Subunit/PSME2 Monoclonal antibody specifically detects PA28 Activator beta Subunit/PSME2 in Human samples. It is validated for Western Blot, ELISA, Immunohistochemistry, Immunoprecipitation, Immunohistochemistry (Paraffin)
TRUSTED_SUSTAINABILITY

Specifications

Antigen PA28 Activator beta Subunit/PSME2
Applications Western Blot, ELISA, Immunohistochemistry, Immunoprecipitation, Immunohistochemistry (Paraffin)
Classification Monoclonal
Clone 1G4
Conjugate Unconjugated
Dilution Western Blot 1:500, ELISA, Immunohistochemistry, Immunoprecipitation, Immunohistochemistry-Paraffin
Formulation In 1x PBS, pH 7.4
Gene Accession No. NP_002809
Gene Alias 11S regulator complex beta subunit, 11S regulator complex subunit beta, Activator of multicatalytic protease subunit 2, MCP activator, 31-kD subunit, PA28b, PA28betacell migration-inducing protein 22, proteasome (prosome, macropain) activator subunit 2 (PA28 beta), Proteasome activator 28 subunit beta, proteasome activator 28-beta, proteasome activator complex subunit 2, proteasome activator hPA28 subunit beta, REGbeta, REG-beta
Host Species Mouse
Immunogen PSME2 (NP_002809, 1 a.a. ~ 90 a.a) partial recombinant protein with GST tag. MW of the GST tag alone is 26 KDa. MAKPCGVRLSGEARKQVEVFRQNLFQEAEEFLYRFLPQKIIYLNQLLQEDSLNVADLTSLRAPLDIPIPDPPPKDDEMETDKQEKKEVHK
Purification Method IgG purified
Quantity 0.1 mg
Regulatory Status RUO
Research Discipline Neuroscience, Ubiquitin Proteasome Pathway
Primary or Secondary Primary
Gene ID (Entrez) 5721
Target Species Human
Content And Storage Aliquot and store at -20C or -80C. Avoid freeze-thaw cycles.
Form Purified
Isotype IgG2a κ
Show More Show Less
Product Title
Select an issue

By clicking Submit, you acknowledge that you may be contacted by Fisher Scientific in regards to the feedback you have provided in this form. We will not share your information for any other purposes. All contact information provided shall also be maintained in accordance with our Privacy Policy.