missing translation for 'onlineSavingsMsg'
Learn More

Invitrogen™ ARHGAP32 Polyclonal Antibody

Rabbit Polyclonal Antibody

Brand:  Invitrogen™ PA563970

Product Code. 15711742

  • £467.00 / 100µL

Please to purchase this item. Need a web account? Register with us today!

This item is not returnable. View return policy

Description

Description

Immunogen sequence: PNDHNVVSMP PAADVKHTYT SWDLEDMEKY RMQSIRRESR ARQKVKGPVM SQYDNMTPAV QDDLGGIYVI HLRSKSDPGK TGLLSVAEGK Highest antigen sequence identity to the following orthologs: Mouse - 93%, Rat - 94%.

GTPase-activating protein (GAP) promoting GTP hydrolysis on RHOA, CDC42 and RAC1 small GTPases. May be involved in the differentiation of neuronal cells during the formation of neurite extensions. Involved in NMDA receptor activity-dependent actin reorganization in dendritic spines. May mediate cross-talks between Ras- and Rho regulated signaling pathways in cell growth regulation. Isoform 2 has higher GAP activity.
TRUSTED_SUSTAINABILITY
Specifications

Specifications

ARHGAP32
Polyclonal
Unconjugated
ARHGAP32
3426406O18Rik; 6430596G11Rik; AI841135; ARHGAP32; Arhgap35; brain-specific Rho GTP-ase-activating protein; brain-specific Rho GTPase-activating protein; BRF2; butyrate response factor 2; EGF-response factor 2; ERF2; ERF-2; GAB-associated CDC42; GAB-associated Cdc42/Rac GTPase-activating protein; GAP-associated protein p190; Gc-gap; glucocorticoid receptor DNA binding factor 1; glucocorticoid receptor DNA-binding factor 1; Glucocorticoid receptor repression factor 1; GRF1; GRF-1; Grit; Grlf1; GTPase regulator interacting with TrkA; GTPase-activating protein for Cdc42 and Rac1; KIAA0712; KIAA1722; mKIAA0712; mKIAA1722; mRNA decay activator protein ZFP36L2; P190 RhoGAP; p190A; p190-A; p190ARHOGAP; p190RhoGAP; p200RhoGAP; p250Gap; PX-RICS; rac GTPase activating protein; rho GAP p190A; Rho GTPase activating protein 32; Rho GTPase activating protein 33 pseudogene; Rho GTPase activating protein 35; rho GTPase-activating protein 32; Rho GTPase-activating protein 35; Rho/Cdc42/Rac GTPase-activating protein RICS; rhoGAP involved in the beta-catenin-N-cadherin and NMDA receptor signaling; RhoGAP involved in the -catenin-N-cadherin and NMDA receptor signaling; rho-type GTPase-activating protein 32; RICS; RNF162C; TIS11D; TPA-induced sequence 11d; ZFP36 ring finger protein like 2; ZFP36 ring finger protein-like 2; Zfp36l2; ZFP36-like 2; zinc finger protein 36, C3H type-like 1; zinc finger protein 36, C3H type-like 2; zinc finger protein 36, C3H type-like 2-like; zinc finger protein 36, C3H1 type-like 2; zinc finger protein, C3H type, 36-like 2
Rabbit
Antigen affinity chromatography
RUO
9743
Store at 4°C short term. For long term storage, store at -20°C, avoiding freeze/thaw cycles.
Liquid
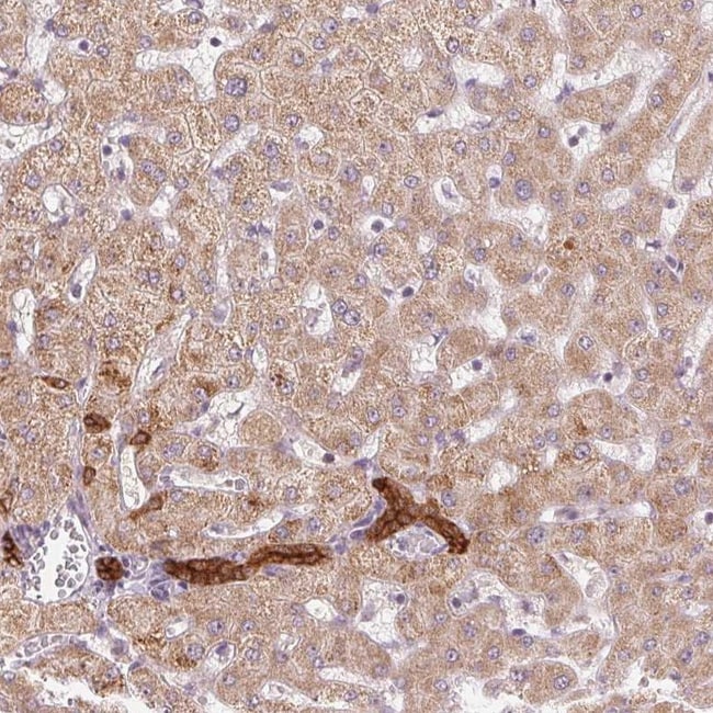
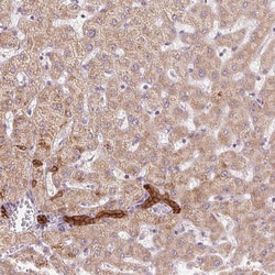
Immunohistochemistry (Paraffin)
0.05 mg/mL
PBS with 40% glycerol and 0.02% sodium azide; pH 7.2
A7KAX9
ARHGAP32
Recombinant protein corresponding to Human p190-A RhoGAP. Recombinant protein control fragment (Product #RP-103409).
100 μL
Primary
Human
Antibody
IgG
Product Suggestions

Product Suggestions

Videos
SDS
Documents

Documents

Certificates
Promotions

Promotions

Product Content Correction

Your input is important to us. Please complete this form to provide feedback related to the content on this product.

Product Title

By clicking Submit, you acknowledge that you may be contacted by Fisher Scientific in regards to the feedback you have provided in this form. We will not share your information for any other purposes. All contact information provided shall also be maintained in accordance with our Privacy Policy.

Thank You! Your feedback has been submitted. Fisher Scientific is always working to improve our content for you. We appreciate your feedback.